Major Aortopulmonary Collaterals From Coronary Arteries and Dual Left Anterior Descending Artery in an Adult With Tetralogy of Fallot
J INVASIVE CARDIOL 2023;35(5):E273-E274
Key words: coronary anomalies, dual left anterior descending artery, major aortopulmonary collaterals, tetralogy of Fallot
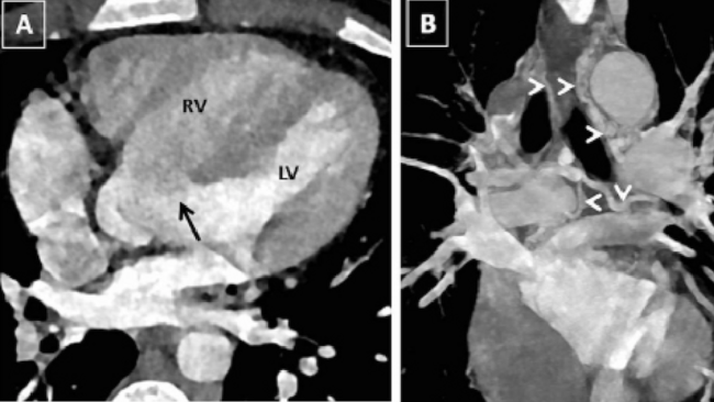
A 19-year-old male presented with history of cyanosis noted since early childhood, dyspnea, and angina on exertion New York Heart Association class II for the past 3 years. Physical examination revealed central cyanosis, pan digital grade 3 clubbing, saturation of 74%, and a grade 3 ejection systolic murmur in the left 3rd intercostal area. Echocardiography showed a large non restrictive ventricular septal defect with severe pulmonary stenosis and aortic override, suggestive of tetralogy of Fallot (TOF). Computed tomography (CT) angiography confirmed the diagnosis of TOF and showed the presence of multiple aortopulmonary collaterals (APCs) arising from bilateral subclavian arteries, coronaries, and aorta with presence of dual left anterior descending artery (LAD) with dominant LAD from the right coronary artery (RCA) (Figure 1). CT angiography nicely depicted the type 3 APCs arising from both the coronaries supplying bilateral lungs with delineation of dual LAD (Figure 2 and Video 1). Pulmonary arteries were well developed. The patient is planned for intracardiac repair of TOF along with surgical ligation of the APCs.
Major APCs are more common with TOF with pulmonary atresia. Collateral arteries, when present, arise most commonly from the descending thoracic aorta, less commonly from the subclavian arteries, and rarely from the abdominal aorta or its branches or from the coronary arteries. Collaterals arising from the coronary arteries can cause myocardial ischemia due to coronary steal phenomenon. They can be addressed either by endovascular interventions such as coiling or surgical ligation during the intracardiac repair. Coronary anomalies are seen in 5%-7% of TOF patients. In approximately 4% of TOF patients, the left anterior descending artery (LAD), or an accessory LAD, takes its origin from the right coronary artery (RCA) or right coronary sinus and crosses the right ventricular outflow tract in its course toward the left ventricle. The presence of such anomalous coronary anatomy poses certain challenges during intracardiac repair of TOF.
Affiliations and Disclosures
From the 1Department of Cardiology and 2the Department of Radiodiagnosis and Imaging, Postgraduate Institute of Medical Education and Research, Chandigarh, India.
Disclosure: The authors have completed and returned the ICMJE Form for Disclosure of Potential Conflicts of Interest. The authors report no conflicts of interest regarding the content herein.
The authors report that patient consent was provided for publication of the images used herein.
Manuscript accepted September 15, 2022.
Address for correspondence: Neelam Dahiya, MD, DM, Associate Professor, Department of Cardiology, Advanced Cardiac Center, PGIMER Chandigarh, 160012 India. Email: drneelamdahiya@gmail.com


