Left Ventricular Angiogram in Constrictive Pericarditis
Keywords: constrictive pericarditis, left ventricular angiogram
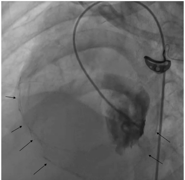
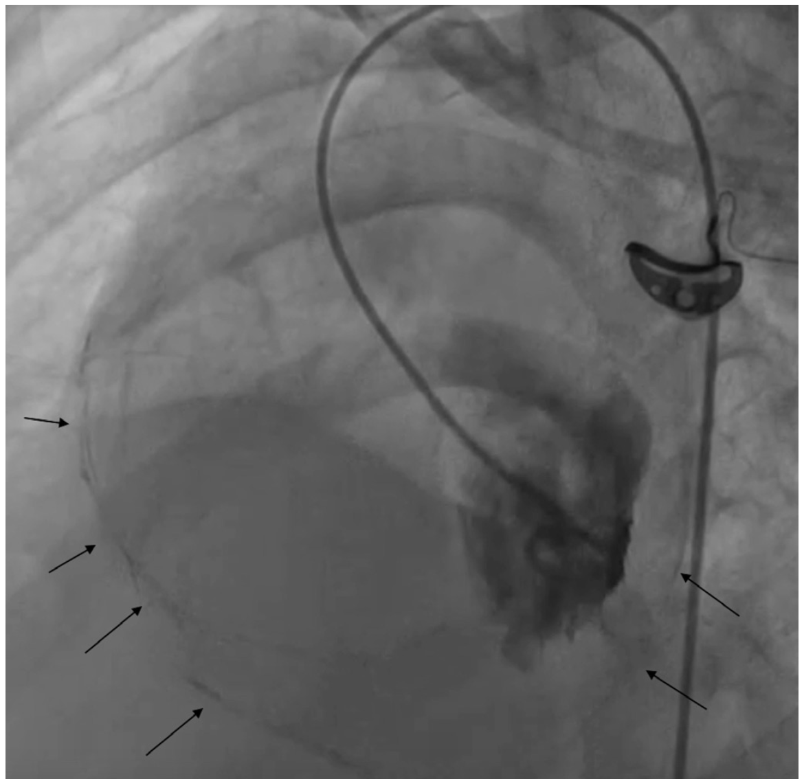
A 14-year-old boy presented with dyspnea on exertion and easy fatiguability for 1 year. He also had an episode of pedal edema 6 months prior, which resolved with diuretics. He had a history of tuberculosis treated with a 6-month course of antitubercular therapy. On examination, he had a loud pulmonary component of second heart sound and an added heart sound. Jugular venous pressure was elevated. After echocardiography, the patient was taken for cardiac catheterization. A left ventricular angiogram was performed during catheterization (Figure 1 and Video 1). The left ventricular angiography showed mild reduction in ventricular systolic function. On detailed analysis, it is evident that longitudinal contraction of the left ventricle is preserved, whereas the circumferential contraction is severely impaired. Pericardial calcification also can be seen encircling the left and right ventricles (Figure 2). Echocardiography showed that the patient had moderate pulmonary hypertension and features suggestive of constrictive pericarditis. In restrictive cardiomyopathy, the longitudinal contraction is impaired whereas the circumferential contraction is preserved. In dilated cardiomyopathy, the left ventricle is dilated. There is obliteration of the left ventricular cavity during systole in cases of hypertrophic cardiomyopathy. Pericardial calcification is evident in around 25% of cases of constrictive pericarditis and predominantly seen in those with tubercular and pyogenic etiology. The subepicardial myocardial fibers are responsible for radial shortening and subendocardial fibers are responsible for longitudinal shortening. In constrictive pericarditis, the involvement of the subepicardial fibers leads to reduction in the circumferential shortening. The patient was referred for pericardiectomy.
Affiliations and Disclosures
From the Department of Cardiology, Vardhman Mahavir Medical College and Safdarjung Hospital, New Delhi, India.
Disclosure: The authors have completed and returned the ICMJE Form for Disclosure of Potential Conflicts of Interest. The authors report no conflicts of interest regarding the content herein.
The authors report that patient consent was provided for publication of the images used herein.
Manuscript accepted April 8, 2022.
Address for correspondence: A. Shaheer Ahmed, MD, DM, DNB, Assistant Professor, Department of Cardiology, 7th Floor, Super Speciality Block, Vardhman Mahavir Medical College and Safdarjung Hospital, New Delhi, 110029 India. Email: ahmedshaheer53@gmail.com
Related Reading


