Intravascular Lithotripsy as Bail-Out in an Acute Coronary Syndrome Patient With Severe Underexpansion of a Previously Implanted Stent
Kyriakos Dimitriadis, MD, PhD; Konstantinos Aznaouridis, MD, PhD;
Eleftherios Tsiamis, MD, PhD; Konstantinos Tsioufis, MD, PhD
Keywords: pulmonary baffle stenosis, transcatheter stent implantation
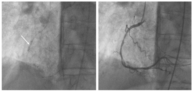
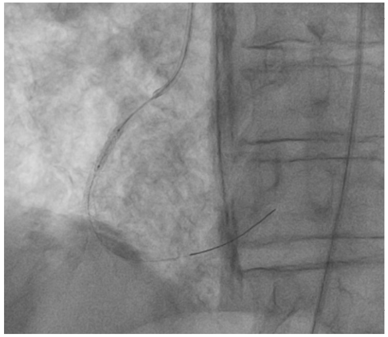
A 67-year-old male presented with non-ST-elevation myocardial infarction (STEMI). Angiography showed severe restenosis within the previously (before 2 years) implanted 2 stents (3 x 24 mm) in the right coronary artery (RCA). Severe calcification was evident angiographically (Figure 1) and after multiple dilations with noncompliant (NC) balloons, the focal underexpansion of the stent remained (Figure 2). This was confirmed by intravascular ultrasound with a minimum stent area (MSA) of 1.98 mm2 (Figure 3). A 3 x 12 mm intravascular lithotripsy (IVL) balloon was used and after the third series of 10 pulses, full expansion of the stent was observed (Figure 4). Postdilation of stenosis with NC and drug-eluting balloons was accompanied by excellent angiographical result with residual stenosis 0%, Thrombolysis in Myocardial Infarction 3 flow, and MSA of 6.4 mm2. The patient was discharged free of symptoms and remains uneventful with no complications. The case demonstrates the feasibility of IVL in acute coronary syndromes related to stent underexpansion due to severe calcification that is refractory to other conventional techniques.
Affiliations and Disclosures
From the First Cardiology Clinic, University of Athens, Hippokration Hospital, Athens, Greece.
Disclosure: The authors have completed and returned the ICMJE Form for Disclosure of Potential Conflicts of Interest. The authors report no conflicts of interest regarding the content herein.
The authors report that patient consent was provided for publication of the images used herein.
Manuscript accepted March 17, 2022.
Address for correspondence: Kyriakos Dimitriadis, MD, PhD, 146 Dardanellion Street, Nea Smyrni 17123, Athens, Greece. Email: dimitriadiskyr@yahoo.gr


