The Great Masquerader: Coronary Occlusion From Thrombus in Ascending Aortic Aneurysm Causing Anterior-Wall STEMI With Cardiogenic Shock
Keywords: aortic aneurysm, acute coronary syndrome, thrombus, percutaneous coronary intervention
A 55-year-old Thai man with history of chronic alcoholism presented to our hospital complaining of sudden onset of severe substernal chest pain and profuse sweating for 4 hours. Upon arrival, he was barely conscious. His initial blood pressure was 50/42 mm Hg. He became unresponsive and an electrocardiogram (ECG) showed wide complex tachycardia with the rate of 160 bpm. After successful cardiopulmonary resuscitation, the next ECG revealed sinus tachycardia with ST-segment elevation in lateral and anterior chest leads (Figure 1).
He was transferred to the cardiac catheterization lab with presumptive diagnosis of acute anterior wall ST-segment elevation myocardial infarction (STEMI). Emergency coronary angiography was performed via right femoral artery while an intra-aortic balloon pump was initiated via the left femoral artery. During percutaneous coronary intervention, we had difficulty engaging a 6-Fr JL 4.0 guiding catheter into the left coronary ostia initially, but eventually managed to engage. Coronary angiogram revealed intraluminal filling defect at the mid left anterior descending artery (LAD) and 40% stenosis at the distal LAD with Thrombolysis in Myocardial Infarction 2 flow (Figure 2). Thrombus aspiration was performed at the mid LAD lesion and the distal LAD lesion was stented with a 3.0-mm x 33-mm everolimus-eluting stent. After stenting, there was slow coronary flow in the LAD and multiple attempts of thrombus aspiration were performed. Slow-reflow phenomenon was treated with intracoronary norepinephrine and sodium nitroprusside, including nitroglycerin, with no improvement of slow-flow in the mid to distal LAD. At this time, we noticed a filling defect near the left coronary cusp with suspicion of ascending aortic dissection.
The aortogram was performed and surprisingly, it revealed a large mobile thrombus occupying the left coronary cusp with extension into the ascending aorta as depicted in the Video Series. The patient’s hemodynamics remained unstable. We decided to abort the procedure and intra-aortic thrombolysis was administered. High doses of inotropic and vasopressor agents were given. After 6 hours of resuscitation, his hemodynamics could not be maintained and eventually, he expired.
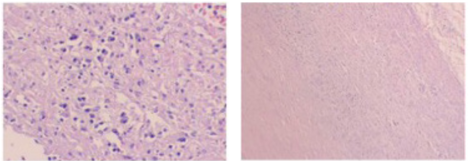
The autopsy result revealed an ascending aortic aneurysm, 5.0 cm in diameter with atheromatous plaques and focal ulceration (Figure 3) without thrombus in the aneurysm. The pathological report of the heart showed acute anterior myocardial infarction. The histopathological results of the ascending aorta showed aneurysm with endarteritis and plasma cell infiltration, as well as atherosclerosis with ulcerative plaque with organizing inflammation and calcification. These findings were compatible with syphilitic aortitis (Figure 4).
Tertiary syphilis is rarely encountered in current medical practice. Thrombus in the ascending aorta occluding the left coronary artery ostia and resulting in coronary embolus into the LAD is a rare cause of acute anterior STEMI. The combination of these rare causes raises special attention to early recognition of thrombus forming from the syphilitic aortic aneurysm in the ascending aorta propagating to the coronary artery as a cause of myocardial infarction. Unfortunately, the patient died before the histopathological result, therefore, we could not obtain serologic confirmation for tertiary syphilis.
Affiliations and Disclosures
From the 1Department of Internal Medicine, Phrapokklao Hospital, Chanthaburi, Thailand; and 2Department of Forensic Medicine, Phrapokklao Hospital, Chanthaburi, Thailand.
Disclosure: The authors have completed and returned the ICMJE Form for Disclosure of Potential Conflicts of Interest. The authors report no conflicts of interest regarding the content herein.
Manuscript accepted March 25, 2022.
Address for correspondence: Wiwat Kanjanarutjawiwat, MD, Cardiology Unit, Department of Internal Medicine, Phrapokklao Hospital Chanthaburi, 38 Leabnean Road, Chanthaburi, Thailand 22000. Email: mdwiwat@gmail.com
Related Reading
- Association of Iso-Osmolar vs. Low-Osmolar Contrast with Major Adverse Renal or Cardiovascular Events in High Risk Patients Undergoing Endovascular Abdominal Aortic Aneurysm Repair
- Endovascular Stent-Graft Repair of a Large Renal Artery Pseudoaneurysm With Impending Rupture, Arising From a Solitary Kidney
- Impella in Acute Myocardial Infarction Complicated by Cardiogenic Shock: History and Current Controversies
- Cardiogenic Shock and Respiratory Failure Complicating Takotsubo Syndrome


