Fluctuating Cutaneous Varices as a Diagnostic Clue for a Huge Right Atrial Mass in a Dialysis Patient
Keywords: cutaneous varices, right atrial mass
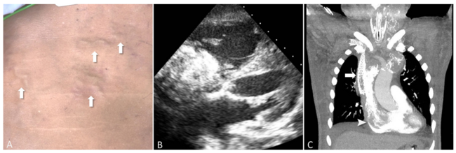
A 72-year-old man presented with altered consciousness. His past medical history included left renal cell carcinoma status post nephrectomy 3 years earlier, end-stage renal disease with regular hemodialysis, and central venous obstruction with stenting at the right subclavian vein and superior vena cava 8 months earlier. He was intubated and placed on a mechanical ventilator and inotropes for managing respiratory failure and shock. Physical examination revealed jugular vein enlargement and cutaneous varices over the chest wall (Figure 1A, arrow). The varices were engorged and then vanished during the respiratory cycle (Video Series). Transthoracic echocardiography revealed a 4.5- × 5.7-cm2 heterozygous mass in the right atrium (Figure 1B and Video Series). Computed tomography showed a large, calcified thrombus from the central veins to the right atrium (Figure 1C). During the inspiratory phase, the mechanical ventilator inflated the lung, resulting in positive pressure in the right ventricle that limited ventricular dilation during diastole. The right atrial mass also hindered blood flow into the right ventricle and caused blood to flow back into the peripheral venous system. This could cause obstructive cardiogenic shock and fluctuating cutaneous varices (Video Series). The patient refused further intervention and died from multiple organ failure. The unusual phenomenon provided a clue for a huge right atrial mass in dialysis patients.
Affiliations and Disclosures
From the 1Department of Internal Medicine, MacKay Memorial Hospital, Taipei, Taiwan; 2Cardiovascular Center, MacKay Memorial Hospital, Taipei, Taiwan; 3Division of Nephrology, Department of Internal Medicine, Mackay Memorial Hospital, Taipei, Taiwan; and 4Department of Critical Care Medicine, MacKay Memorial Hospital, Taipei City, Taiwan.
Disclosure: The authors have completed and returned the ICMJE Form for Disclosure of Potential Conflicts of Interest. The authors report no conflicts of interest regarding the content herein.
Manuscript accepted April 8, 2022.
Address for correspondence: Yen-Yu Liu, MD, Department of Critical Care Medicine, MacKay Memorial Hospital, 92, Sec 2, Zhongshan North Road, Taipei 10449, Taiwan. Email: yenyu1012@gmail.com
Related Reading
- Impella in Acute Myocardial Infarction Complicated by Cardiogenic Shock: History and Current Controversies
- Cardiogenic Shock and Respiratory Failure Complicating Takotsubo Syndrome
- Transcatheter Mitral Valve Repair Using Mitraclip in Patients with Renal Transplantatio
- Association of Iso-Osmolar vs. Low-Osmolar Contrast with Major Adverse Renal or Cardiovascular Events in High Risk Patients Undergoing Endovascular Abdominal Aortic Aneurysm Repair
- Acute Renal Infarction Treated With Local Intra-arterial Thrombolysis
- Percutaneous Renal Artery Stenting With Optical Coherence Tomography Imaging in a Young Boy With Recanalized-Thrombus Associated Renal Artery Stenosis


