Extraplaque Blood Withdrawal Stenting: A Miraculous Cure for Subintimal Hematoma
We report the Extraplaque Blood Withdrawal stenting technique to treat chronic total occlusion percutaneous coronary intervention (CTO PCI)-induced extraplaque hematoma.
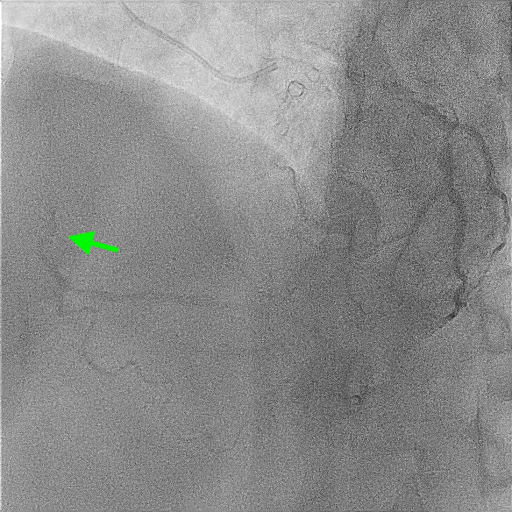
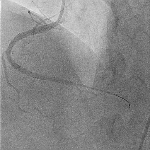
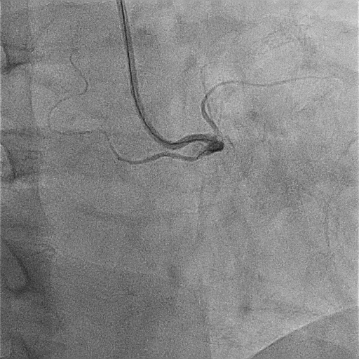
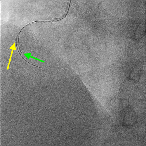
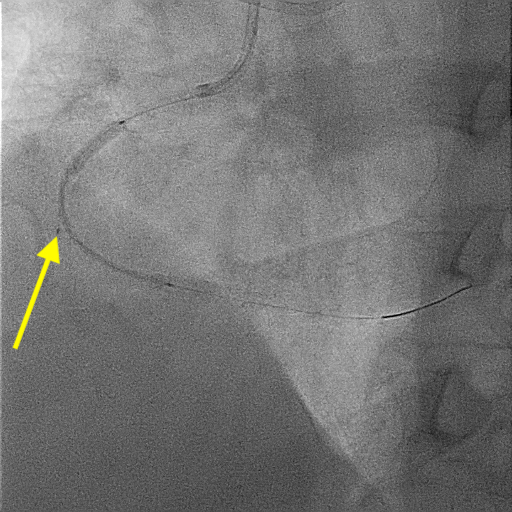
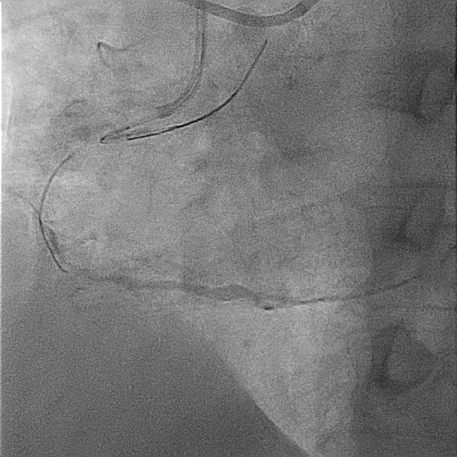
A 51-year-old man presented with stable angina and previously failed right coronary artery (RCA) CTO PCI. During RCA CTO PCI (Figure 1), the wire was inserted into the extraplaque space (Figure 2, Video 1). Intravascular ultrasound (IVUS) showed a hematoma (Figure 3A, Video 2). Live 3-dimensional tip detection IVUS wiring was successful (Figure 4, Video 3). A FineCross microcatheter (Terumo) was placed over the first wire into the extraplaque space and blood was withdrawn by connecting a negative indeflator to the microcatheter. Stents were deployed (Figure 5) and postdilated. Post-IVUS showed almost complete resolution of the hematoma (Figure 3B, C; Video 4) with good results (Figure 6, Video 5).
There is increasing use of subintimal techniques in CTO PCI with the use of the Stingray System (Boston Scientific), ReCross microcatheter (IMDS), antegrade fenestration techniques, and IVUS-guided wiring. Subintimal transcatheter withdrawal was used for the Stingray1 and rescuing spiral dissection after stenting.2 This is an excellent complimentary technique to IVUS-guided wiring and other subintimal tracking techniques in CTO PCI.
Affiliations and Disclosures
From the Prince of Wales Hospital, Chinese University Hong Kong, Hong Kong.
Disclosures: The authors report no financial relationships or conflicts of interest regarding the content herein.
Address for correspondence: Eugene B. Wu, Dept of Medicine and Therapeutics, Prince of Wales Hospital, Ngan Shing Street, Shatin, Hong Kong. Email: cto.demon@gmail.com
References
1. Smith EJ, Di Mario C, Spratt JC, et al. Subintimal TRAnscatheter Withdrawal (STRAW) of hematomas compressing the distal true lumen: a novel technique to facilitate distal reentry during recanalization of chronic total occlusion (CTO). J Invasive Cardiol. 2015;27(1):E1-4.
2. Sumiyoshi A, Okamura A, Iwamoto M, et al. Aspiration after sealing the entrance by stenting is a promising method to treat subintimal hematoma. JACC Case Rep. 2021;3(3):380-384. doi: 10.1016/j.jaccas.2021.01.004


