Endovascular eSheath Predilation to Facilitate Transfemoral Transcatheter Aortic Valve Delivery
J INVASIVE CARDIOL 2022;34(5):E418.
Key words: peripheral artery disease, transcatheter aortic value replacement, transfemoral
Peripheral artery disease (PAD) is common among patients undergoing transfemoral (TF) transcatheter aortic valve replacement (TAVR) and is associated with worse outcomes.1 Criteria for unfavorable TF anatomy include small-diameter vessels and circumferential calcification.2
A 93-year-old female with known coronary artery disease and hypertension presented for consideration of TF-TAVR for severe symptomatic aortic stenosis. Preprocedural contrasted computed tomography (CT) demonstrated severe near circumferential aorto-iliac calcifications with a minimal luminal diameter of the right common iliac of 4.7 mm. Right femoral artery access was planned with suprasternal backup if TF access was unsuccessful.
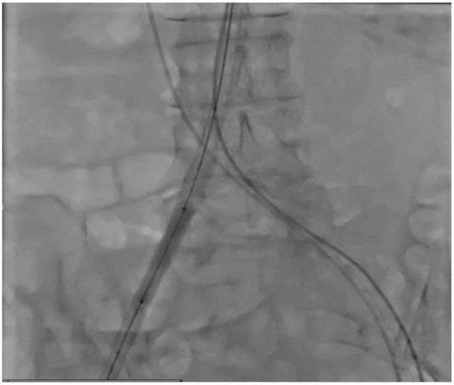
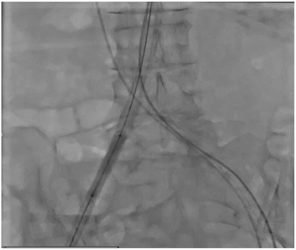
Following contralateral positioning of a crossover wire and preclosure with 2 Proglide sutures (Abbott Vascular), a 14-Fr Edwards eSheath (Edwards Lifesciences) was inserted into the descending aorta. A 7 x 40 mm Armada balloon (Abbott Vascular) was then used to further dilate the eSheath endovascularly (Figure 1). A 23-mm Sapien 3 valve (Edwards Lifesciences) was delivered through the sheath and deployed without difficulty (Video 1). Following valve deployment, the sheath was removed and hemostasis was achieved with the predeployed sutures. Final femoral angiography demonstrated hemostasis without vessel injury.
Iliofemoral anatomy plays an important role in determining TF-TAVR candidacy. Herein, we present the novelty of endovascular eSheath balloon dilation to facilitate valve delivery. This technique, in addition to or instead of intravascular lithotripsy, may facilitate TF valve delivery in patients who do not otherwise meet traditional criteria for TF access.
Affiliations and Disclosures
From the 1Division of Cardiology; 2Department of Surgery, Columbia University Irving Medical Center/New York Presbyterian Hospital, New York, New York.
Disclosure: The authors have completed and returned the ICMJE Form for Disclosure of Potential Conflicts of Interest. Dr Vahl reports institutional funding to Columbia University Irving Medical Center from Boston Scientific, Edwards Lifesciences, JenaValve, Medtronic, and Siemens Healthineers and he personally received consulting fees from Abbott Vascular, Boston Scientific, and Siemens Healthineers. Dr Kodali has received grant support, paid to his institution, from Medtronic, Edwards Lifesciences, Abbott Vascular, JenaValve and Boston Scientific; has received grant support, paid to his institution, and consulting fees from Admedus, Dura Biotech, TriCares, Philips, TriFlo; and holds equity options in Dura Biotech, MicroInterventional Devices, Thubrikar Aortic Valve Inc, Supira, Admedus, TriFlo, Adona, Tioga, and X-Dot. Dr George is a consultant to CardioMech, MitreMedical, DurVena, Foldax Medical, Vdyne, and Valcare Medical. Dr Nazif has received honoraria from Boston Scientific, Edwards LifeSciences, Medtronic, and Venus MedTech.
The authors report that patient consent was provided for publication of the image used herein.
Manuscript accepted January 15, 2022.
Address for correspondence: Nino Mihatov, MD, Columbia University Irving Medical Center/New York-Presbyterian Hospital, 177 Fort Washington Avenue, New York, NY 10032. Email: nino.mihatov@columbia.edu
References
1. Fanaroff AC, Manandhar P, Holmes DR, et al. Peripheral artery disease and transcatheter aortic valve replacement outcomes: a report from the Society of Thoracic Surgeons/American College of Cardiology Transcatheter Therapy Registry. Circ Cardiovasc Interv. 2017;10(10):e005456. doi:10.1161/CIRCINTERVENTIONS.117.005456
2. Kurra V, Schoenhagen P, Roselli EE, et al. Prevalence of significant peripheral artery disease in patients evaluated for percutaneous aortic valve insertion: preprocedural assessment with multidetector computed tomography. J Thorac Cardiovasc Surg. 2009;137(5):1258–1264. doi:10.1016/j.jtcvs.2008.12.013
Related Articles
- Development of the Minimalist Approach for Transcatheter Aortic Valve Replacement at a Veterans Affairs Medical Center
- Procedural Impact of a Kissing-Balloon Predilation (Pre-Kissing) Technique in Patients With Complex Bifurcations Undergoing Drug-Eluting Stenting
- Orbital Atherectomy of the Ilio-Femoral Arteries Facilitates Large-Bore Access prior to Transfemoral Transcatheter Aortic Valve Replacement
- Intravascular Lithotripsy for Optimal Angioplasty of Infrapopliteal Calcified Lesions
- ELCA-Tripsy: Combination of Laser and Lithotripsy for Severely Calcified Lesions


