Emergency Repair of Stent Misplacement in a False Lumen
© 2024 HMP Global. All Rights Reserved.
Any views and opinions expressed are those of the author(s) and/or participants and do not necessarily reflect the views, policy, or position of the Journal of Invasive Cardiology or HMP Global, their employees, and affiliates.
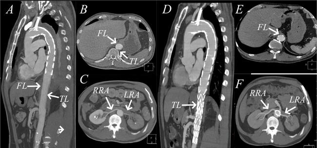
A 55-year-old man with Stanford type B aortic dissection underwent thoracic aortic and left common carotid artery mulched stent implantation. He was admitted to our hospital after surgery with low urine output, and it was suspected that the distal true lumen (TL) of the stent was closed. The glomerular filtration rate was 27 mL/min.
Emergency computed tomography angiography (CTA) showed that the distal segment of the stent graft had been deployed into the false lumen (FL), leading to complete collapse of the TL and the left renal artery (Figure A-C). Angiography confirmed the CT findings (Video 1).
The patient underwent immediate thoracic endovascular aortic repair. The balloon dilated the true cavity at the end of the stent to rupture the intima and enable communication between the true and false cavities; the bare and covered stents were respectively introduced through the rupture (Video 2). The operation was successful, and the patient recovered well and was discharged 4 days later. Two months postoperative, CTA reexamination showed complete absorption of the FL (Figure D-F). The glomerular filtration rate was 53 mL/min.
Covered stent misplacement into the FL is a rare and potentially severe complication in patients with Stanford type B aortic dissection. Second-stage surgery is usually performed in emergency cases. In this case, we were able to successfully treat our patient because of the early diagnosis of the incorrect deployment via CTA scan.
Affiliations and Disclosures
Jingjing Chen, MD; Li Zhu, MD
From the Department of Radiology, Wuhan Asia Heart Hospital Affiliated to Wuhan University of Science and Technology, Wuhan, China.
Disclosures: The authors report no financial relationships or conflicts of interest regarding the content herein.
Consent statement: The authors confirm that informed consent was obtained from the patient for the procedures described in this manuscript.
Address for correspondence: Li Zhu, MD, Department of Radiology, Wuhan Asia Heart Hospital Affiliated to Wuhan University of Science and Technology, No. 753 Jinghan Road, Hankou District, Wuhan 430022, China. Email: 476695029@qq.com


