Early LAAO Device Migration After Combined Atrial Fibrillation Ablation and Left Atrial Appendage Occlusion
© 2024 HMP Global. All Rights Reserved.
Any views and opinions expressed are those of the author(s) and/or participants and do not necessarily reflect the views, policy, or position of the Journal of Invasive Cardiology or HMP Global, their employees, and affiliates.
The combined procedure of catheter ablation and percutaneous left atrial appendage occlusion (LAAO) for patients with atrial fibrillation (AF) has been shown to be safe and feasible using radiofrequency energy or cryoballoon.1 Pulmonary ridge edema after ablation with conventional techniques may potentially result in significant peri-device leak (PDL) after LAAO after edema subsides. Pulsed-field ablation (PFA) is a novel technology that has been proven to be safe and effective to treat AF through the mechanism of tissue-selective non-thermal irreversible electroporation. We report a case of early LAAO device migration following the combined procedure of PFA and LAAO.
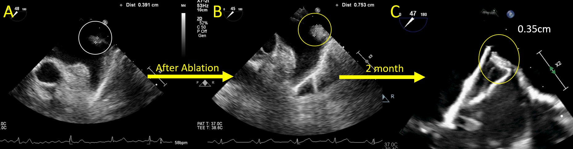
The patient presented is a 73-year-old woman with a 6-month history of persistent AF and a CHA2DS2-VASc score of 4. Pulmonary vein antral isolation (PVAI) was first achieved using the 31-mm FARAPULSE PFA catheter (Boston Scientific). Significant pulmonary ridge edema was observed immediately after ablation (Figure 1A and B). The diameter of the LAA landing zone was 24 x 21 mm on the 3-dimensional trans-esophageal echocardiography (TEE), measured at a mean left atrial pressure of 14 mm Hg. A 28-mm Amplatzer Amulet device (Abbott) was deployed at an optimal position in the LAA under TEE and fluoroscopy guidance (Video 1). The device was stable on a tug test with satisfactory compression and no residual flow (Figure 2A, B, and E; Video 2). However, follow-up TEE performed 2 months after the procedure showed proximal migration of the LAAO device (Figure 2C and D, Video 3) with resolution of pulmonary ridge edema (Figure 1C). Another TEE repeated 1 month later showed a stable device position. In view of the device migration with a potential sealing issue and uncertain device endothelialization, the patient was advised to continue oral anticoagulant therapy for stroke prophylaxis.
Our case showed that PVAI with PFA resulted in significant pulmonary ridge edema. We speculate that the proximal migration of the device was attributed to the resolution of significant ridge edema after PFA. Pulmonary ridge edema has been postulated to be associated with the LAAO device shouldering with PDL following the combined procedure of cryoballoon ablation and LAAO using a Watchman device (Boston Scientific).2 While upsizing the LAAO device may help compensate for the edematous changes, serious complications such as device dislodgement, pressure necrosis, and perforation should be considered. Deep device implant has been suggested in the hope of avoiding the edematous ridge, but it has recently been shown to be associated with a higher risk of device-related thrombus due to larger uncovered LAA areas.3 Both lobe-disc and plug devices have been used in combined procedures. Lobe-disc devices may be more likely to impact nearby structures including the ridge when compared to plug devices, but data comparing the procedural success and clinical outcomes of 2 types of devices in combined procedures remains limited.
Affiliations and Disclosures
From the Division of Cardiology, Department of Medicine and Therapeutics, Prince of Wales Hospital, Chinese University of Hong Kong, Hong Kong SAR, China.
Disclosures: Dr. Lee is a speaker and consultant for Abbott Structural and Philips Healthcare. Dr. So is a clinical proctor for Abbott and Boston Scientific. The remaining authors report no financial relationships or conflicts of interest regarding the content herein.
Address for correspondence: Dr. Chak-yu So, Division of Cardiology, Department of Medicine and Therapeutics, Prince of Wales Hospital, New Territories, Hong Kong SAR, China. Email: kentso987@gmail.com; X: @kentso987
References
- Wintgens L, Romanov A, Phillips K, et al. Combined atrial fibrillation ablation and left atrial appendage closure: long-term follow-up from a large multicentre registry. Europace. 2018;20(11):1783-1789. doi: 10.1093/europace/euy025
- van Rijn D, Hendriks AA, Noten AME, van Heerebeek L, Khan M. Practical applications of concomitant pulmonary vein isolation and left atrial appendix closure device implantation. JACC Case Rep. 2021;3(12):1409-1412. doi: 10.1016/j.jaccas.2021.06.016
- Cepas-Guillén P, Flores-Umanzor E, Leduc N, et al. Impact of device implant depth after left atrial appendage occlusion. JACC Cardiovasc Interv. 2023;16(17):2139-2149. doi: 10.1016/j.jcin.2023.05.045:2139-2149.


