Delayed Onset of Retinal Embolism After Coronary Angioplasty
J INVASIVE CARDIOL 2021;33(6):E483. Epub 2021 May 6. doi:10.25270/jic/20.00292
Key words: cardiac imaging, complications, Hollenhorst plaques, transradial approach
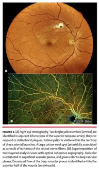
A 52-year-old man presented to the emergency room of our hospital due to sudden onset of an inferior scotoma on his right eye 2 days after coronary angioplasty with a single drug-eluting stent insertion in the left circumflex coronary artery using the left distal radial approach. The ophthalmological examination demonstrated a preserved best-corrected visual acuity on his right eye and inferior hemianopia by confrontational campimetry. In the funduscopy (Figure 1A), 2 bright yellow emboli could be identified in adjacent bifurcations of the superior temporal artery, associated with retinal pallor with edema and a large cotton wool spot as a result of retinal nerve fiber damage and accumulations of axoplasmic material within the retinal nerve fiber layer. In the optical coherence tomography angiography (Figure 1B), a decreased flow of the retinal microvascular plex within the territory of the affected arterial branches could be identified, compromising the superior half of the macula.
Albeit rare, retinal artery cholesterol emboli (Hollenhorst plaques) post angioplasty can be a severe event that can cause irreversible visual disturbances, usually taking place during or following the procedure. However, as the number of procedures continues to increase, interventional radiologists or cardiologists who perform coronary catheterization should be cognizant of its possible delayed occurrence.

From the Hospital Universitario Clínico San Carlos, Madrid, Spain.
Disclosure: The authors have completed and returned the ICMJE Form for Disclosure of Potential Conflicts of Interest. The authors report no conflicts of interest regarding the content herein.
Manuscript accepted June 3, 2020.
The authors report that patient consent was provided for publication of the images used herein.
Address for correspondence: Carlos Llorente-La Orden, MD, Servicio de Oftalmología, Hospital Clínico San Carlos, Calle profesor Martín Lagos s/n, Madrid, 28040, Spain. Email: llorentecar@gmail.com


