Coronary Stent and Balloon Entrapment Following Delivery Device Perforation
© 2024 HMP Global. All Rights Reserved.
Any views and opinions expressed are those of the author(s) and/or participants and do not necessarily reflect the views, policy, or position of the Journal of Invasive Cardiology or HMP Global, their employees, and affiliates.
Summary
Complex angioplasty increases the risk of complications such as entrapment and stent loss, a situation that still occurs despite improvements in device assembly. We present the first reported case of stent and balloon entrapment treated by placing a new stent using the crush technique with intracoronary optical coherence tomography.
Main Text
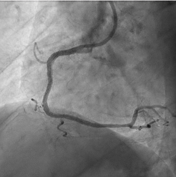
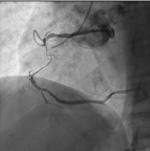
A 73-year-old man was hospitalized due to acute coronary syndrome. Right coronary artery angiography revealed a severely tortuous vessel with long critical stenosis (Figure 1).
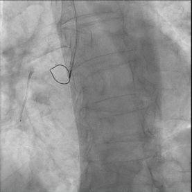
Coronary angioplasty was performed by first advancing a Sion guidewire (Asahi), followed by a Launcher Amplatz right 6F guide catheter (Medtronic) with a 2.5 x 15-mm semicompliant balloon. Next, a 3 x 48-mm everolimus-eluting stent was advanced with a GuideLiner 6F extension catheter (Teleflex). After inflation, the stent failed to expand as a result of perforation of the drug-eluting balloon (Figure 2); only partial opening of the ends of the stent was observed, with consequent entrapment of the stent and balloon. Traction proved unsuccessful for retrieval of the device and the balloon hypotube shaft was torn; consequently, the device was lost in the right coronary artery.
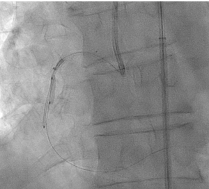
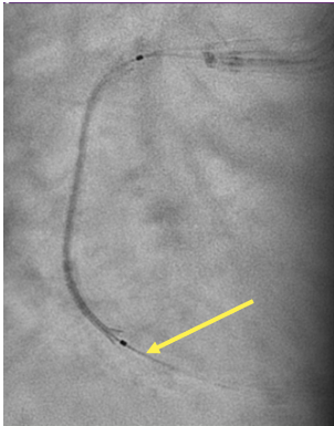
In view of this complication and the clinical instability of the patient, extraction of the device with a coronary snare was attempted but was unsuccessful (Figure 3). The access route was then changed to the femoral artery using an Amplatz left 6F catheter, and a Sion guidewire was advanced to the distal segment of the right coronary artery with the support of a 135-cm FineCross microcatheter (Terumo). This was followed by dilatation using a Sapphire II PRO balloon (OrbusNeich) (Figure 4) with catheter extension and anchoring of the balloon until 2 new everolimus-eluting stents (2.5 x 40 mm and 3.0 x 15 mm) could be advanced (Figure 5). Upon post-dilation of the noncompliant balloon, the previous stent and ballon were successfully crushed, obtaining a good final angiographic result (Figure 6). The procedure was completed with intracoronary optical coherence tomography, which confirmed adequate stent expansion and apposition, as well as the crushing of both the stent and the previous balloon (Figures 7-11).
The patient has required no further admissions during follow-up and has experienced no new complications secondary to the loss of the devices.
Affiliations and Disclosures
Oscar Lagos, MD; Frank Coras, MD; Ana Blanca Paloma, MD; Santiago Camacho Freire, PhD; Jessica Roa, MD; Antonio Gomez Menchero, MD
From the Juan Ramón Jiménez University Hospital, Huelva, Spain.
Disclosures: The authors report no financial relationships or conflicts of interest regarding the content herein.
Consent statement: The authors confirm that informed consent was obtained from the patient for the intervention(s) described in the manuscript and to the publication of their data.
Address for correspondence: Oscar Lagos, MD, Calle Opera Carmen 42, ZD 41007, Seville, Spain. Email: oldeg2450@gmail.com


