Coaxial Dual-Lumen Catheter Assisted Wiring to Facilitate Reaccess in Aorto-ostial Stenting
© 2024 HMP Global. All Rights Reserved.
Any views and opinions expressed are those of the author(s) and/or participants and do not necessarily reflect the views, policy, or position of the Journal of Invasive Cardiology or HMP Global, their employees, and affiliates.
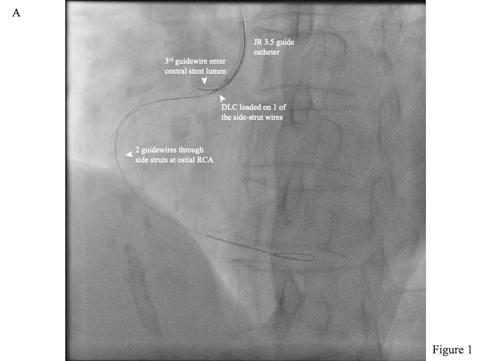
An 82-year-old woman underwent percutaneous transcatheter coronary angioplasty for severe proximal right coronary artery (RCA) stenosis. A 3.5 x 42-mm drug-eluting stent (DES) was inserted with protrusion into the aorta. The wire was lost prior to post-dilatation of the stent.
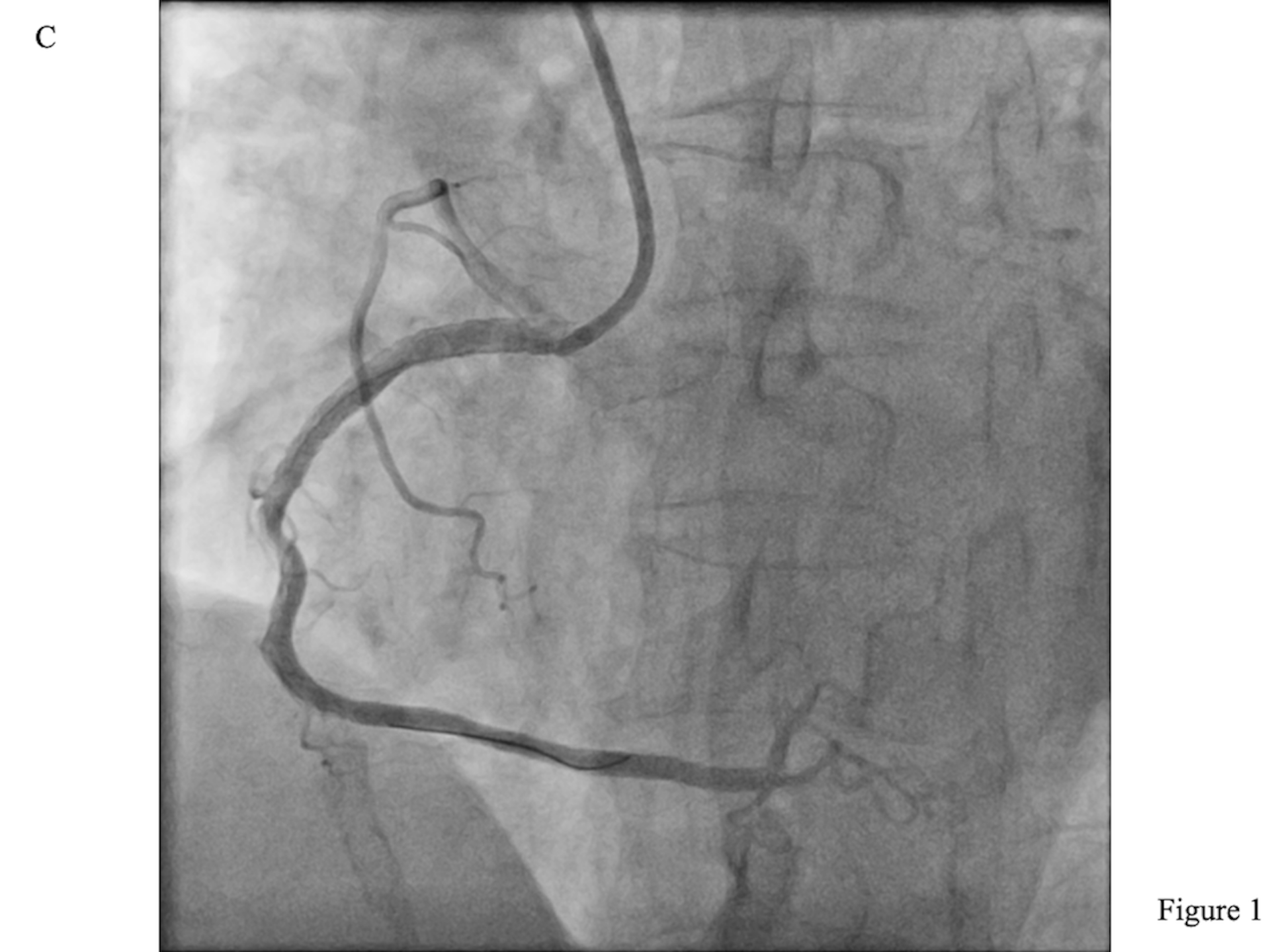
The initial rewiring entered a protruding side strut. A Sasuke dual-lumen catheter (DLC; Asahi Intecc) was inserted along the side-strut wire. The central stent lumen was then wired with another workhorse guidewire (Figure 1A, Video 1), as confirmed by intravascular ultrasound (Figure 1B, Videos 2 and 3). After post-dilatation with a 4.0-mm non-complaint balloon, the final angiographic result was good (Figure 1C, Video 4).
Wiring through the central lumen of a protruding and under-expanded aorto-ostial stent is challenging. A similar technique involving the use of a DLC has been reported,1 in which the monorail part of the DLC was inserted over a cusp wire. In comparison, the DLC in our case was loaded over a side-strut wire, which enhanced the stability and coaxiality of the DLC to facilitate wiring of the central stent lumen through the side hole of the DLC (Figure 2A). In case of a rewiring failure into the central lumen (Figure 2B), the monorail port of the DLC can be switched to a more proximal side-strut wire. This brings the DLC system closer to the proximal stent edge, allowing easier wiring of the central stent lumen through the side hole of the DLC (Figure 2C). The novel technique described is effective, easily reproducible, and prevents the risk of side-strut crossing and scaffold disruption.




Affiliations and Disclosures
Kei-Tung Wong, MBBS; Tak-Shun Chung, MBBS; Siu-Fung Wong, MBChB
From the Division of Cardiology, Department of Medicine & Geriatrics, United Christian Hospital, Hong Kong SAR, China.
Disclosures: The authors report no financial relationships or conflicts of interest regarding the content herein.
Consent statement: Informed consent was obtained from the patient.
Address for correspondence: Siu-Fung Wong, MBChB, Department of Medicine & Geriatrics, United Christian Hospital, Hong Kong SAR, China. Email: anthonywaaf1992@hotmail.com
Reference
1. Wong B, Wu EB. Dual-lumen catheter and floating-wire technique to access protruding aorto-ostial stent. J Invasive Cardiol. 2023;35(5):E275-E276. doi:10.25270/jic/22.00289


