Challenges in Primary PCI: How to Treat a Large Intracoronary Thrombus With TIMI 3 Flow?
Abstract
J INVASIVE CARDIOL 2022;34(2):E154-E155.
Key words: intracoronary thrombus, plaque erosion, primary PCI
Case Presentation
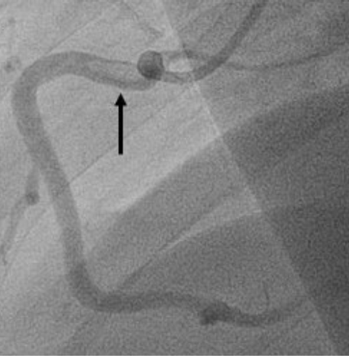
A 52-year-old man presented acutely with inferior ST-segment elevation myocardial infarction (STEMI). The left coronary system was unobstructed. The right coronary artery had Thrombolysis in Myocardial Infarction (TIMI) grade 3 flow throughout; however, angiography demonstrated a hazy oval filling defect proximally consistent with a large intracoronary thrombus (Figures 1A-1C). Given that the ST elevation was resolving and acknowledging the risk of distal coronary and/or systemic embolism, we deferred further intervention. The patient was transferred to the Coronary Care Unit on quadruple antithrombotic regime (aspirin, ticagrelor, tirofiban infusion for 48 hours, and enoxaparin). Transthoracic echocardiography demonstrated preserved systolic function.
Repeat coronary angiogram 5 days later showed resolution of the thrombus and TIMI 3 flow (Figure 1D). Optical coherence tomography (OCT) demonstrated at the site of recent thrombus a plaque erosion with an attached thrombus strand, but the lumen area was around 10 mm2 (Figure 1E). A conservative strategy was adopted and 1 year later the patient has remained well.
This case highlights 2 important issues: the immediate management of large intracoronary thrombus in the STEMI setting with TIMI 3 flow, and the risks/benefits associated with sealing a plaque in an unobstructed artery by stenting. Potent antithrombotic therapy with a view to subsequent intracoronary imaging to define etiology and plaque morphology appears to be a reasonable initial strategy in this specific population. Furthermore, for patients with acute coronary syndromes diagnosed with plaque erosion by OCT and residual diameter stenosis <70%, deferred stenting appears a viable option.
Affiliations and Disclosures
From the Cardiology Department, Liverpool Heart and Chest Hospital NHS Foundation Trust, Liverpool, Merseyside, United Kingdom.
Disclosure: The authors have completed and returned the ICMJE Form for Disclosure of Potential Conflicts of Interest. The authors report no conflicts of interest regarding the content herein.
Manuscript accepted October 14, 2021.
The authors report that patient consent was provided for publication of the images used herein.
Address for correspondence: Dr Konstantinos C. Theodoropoulos, Cardiology Department, Liverpool Heart and Chest Hospital, Thomas Drive, L14 3PE, Liverpool, United Kingdom. Email: ktheod2005@hotmail.com
Related Articles
- Impact of Large Thrombus Burden on Very Long-Term Clinical Outcomes in Patients Presenting With ST-Segment Elevation Myocardial Infarction
- A Ping Pong Thrombus in the Left Atrium
- Low Incidence of Ischemic Stroke Associated With Thrombus Aspiration in STEMI Patients Undergoing Primary PCI
- Vacuum to the Rescue: Aspiration of a Large Mobile Aortic Arch Thrombus With the AngioVac System Utilizing Transcaval Access


