Cardiac Rupture Following Myocardial Infarction With Nonobstructive Coronary Artery Disease
© 2024 HMP Global. All Rights Reserved.
Any views and opinions expressed are those of the author(s) and/or participants and do not necessarily reflect the views, policy, or position of the Journal of Invasive Cardiology or HMP Global, their employees, and affiliates.
A 71-year-old man with a history of smoking presented to the emergency room of our hospital complaining of long-lasting angina symptoms. Upon physical examination, he was hypotensive.
An electrocardiogram showed ST-segment depression in leads V2 to V4 (Figure 1), and a high-sensitivity troponin test showed 9411 ng/L. A transthoracic echocardiogram revealed left ventricle anterolateral wall hypokinesia and pericardial effusion (Video 1); the ascending aorta was found to be normal. Coronary angiography showed only a systolic compression of the middle tract of the left anterior descending artery, as in the case of a myocardial bridge (Video 2).
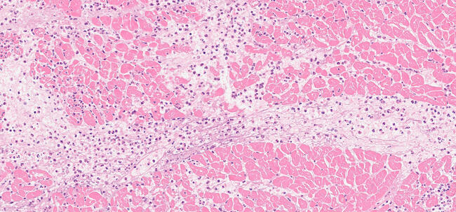
Due to a sudden deterioration of the patient’s hemodynamic parameters, an under-xiphoid pericardiocentesis was attempted with blood removal; however, the patient died immediately upon the attempt. The autopsy clearly demonstrated that an anterior left ventricle free-wall rupture was the cause of death (Figure 2). Long-axis cut of the heart revealed a cardiac laceration in the context of a necrotic-hemorrhagic infarction, as per transmural necrosis (Figures 3 and 4). Coronary inspection confirmed the vessels’ patency. Hematoxylin and eosin staining showed a massive transmural interstitial neutrophilic infiltrate (Figure 5); the neutrophils displaced the disarranged cardiomyocytes, exhibiting loss of the nucleus and hypereosinophilic cytoplasm with a lack of striations (Figure 6).
To our knowledge, only 3 cases of free-wall rupture after myocardial infarction with nonobstructive coronary artery disease (MINOCA) have been reported. The latter cases1-4 involved women presenting with ST-elevation. Our case is the first in which a mechanical complication was described in a man with non-ST-elevation myocardial infarction at hospital investigation. We assume that our case was caused by a prolonged coronary artery spasm/thromboembolism that was initially misdiagnosed as transmural necrosis, leading to late spontaneous resolution/lysis and the resulting MINOCA.
Affiliations and Disclosures
Alessio Arrivi, MD, PhD, FESC1; Martina Sordi, MD1; Francesca Coppa, MD2; Tiziana Macciò, MD2; Serenella Conti, MD3
From the 1Divison of Cardiology, Santa Maria Hospital, Terni, Italy; 2Divison of Pathology, Santa Maria Hospital, Terni, Italy; 3Division of Cardiology, San Matteo degli Infermi Hospital, Spoleto, Italy.
Disclosures: The authors report no financial relationships or conflicts of interest regarding the content herein.
Consent statement: Informed consent for the publication is not available as the patient is deceased; nevertheless, all sensitive data has been anonymized.
Address for correspondence: Alessio Arrivi, MD, PhD, FESC, Santa Maria University Hospital, Via Tristano di Joannuccio 1, 05100, Terni, Italy. Email: alessio.arrivi@libero.it
References
1. Bil J, Buller P, Gil RJ, et al. Acute complications in patients with myocardial infarction with non-obstructive coronary arteries: a systematic review with special focus on mechanical complications. Rev Cardiovasc Med. 2022;23(12):393. doi:10.31083/j.rcm2312393
2. Giavarini A, Ippolito S, Tagliasacchi MI, Gelpi G. A rescued left ventricle free wall rupture in MINOCA. Eur Heart J. 2021;42(14):1446. doi:10.1093/eurheartj/ehaa1048
3. Aimo A, Di Paolo M, Castiglione V, et al. Scared to death: emotional stress causing fatal myocardial infarction with nonobstructed coronary arteries in women. JACC Case Rep. 2020;2(15):2400-2403. doi:10.1016/j.jaccas.2020.08.010
4. Roth CP, Qarmali M, Litovsky SH, Brott BC. Myocardial rupture after small acute myocardial infarction in the absence of coronary artery disease. Cardiovasc Pathol. 2018;37:26-29. doi:10.1016/j.carpath.2018.08.004


