Ascites and Edema After Bicaval Orthotopic Heart Transplant
Case Report
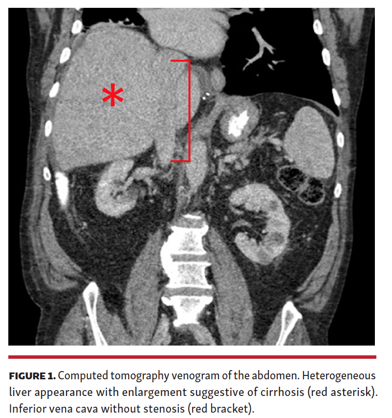
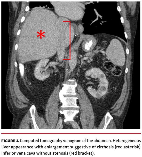
A 67-year-old man presented with new-onset abdominal pain, fullness, and lower-extremity edema approximately 2.5 years after bicaval orthotopic heart transplant from an appropriately sized donor. Cardiac allograft biventricular systolic function was normal and there was no histologic evidence of allograft rejection. Abdominal imaging revealed new findings of a nodular liver suggestive of cirrhosis, in addition to splenomegaly and ascites (Figure 1). There was no evidence of hepatic or portal vein thrombosis, nor stenosis or stricture of the inferior vena cava (IVC). Laboratory testing was notable for an elevation in bilirubin and alkaline phosphatase with negative viral hepatitis serologies.
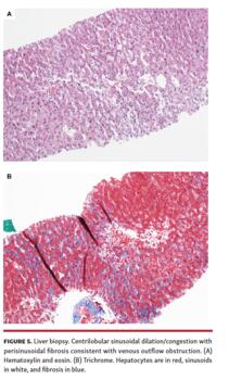
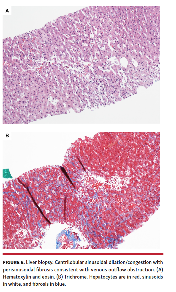
A transjugular liver biopsy and portal pressure measurements were recommended. Mean right atrial (RA) pressure was 16 mm Hg, and mean IVC and free hepatic vein pressures were 21 mm Hg, while mean hepatic vein wedge pressure was 24 mm Hg (Figure 2 and Figure 3). Because no significant gradient should be present across either the superior or inferior cavoatrial junction, we performed IVC angiography. This showed severe narrowing of the cavoatrial junction (Figure 4). Histologic examination of the liver biopsy tissue showed centrilobular sinusoidal dilation and perisinusoidal fibrosis, consistent with venous outflow obstruction (Figure 5). The patient subsequently underwent IVC balloon angioplasty with resolution of the RA-IVC gradient (Figure 6) and without caval or atrial injury.
IVC stenosis is a rare complication of bicaval orthotopic heart transplant. IVC stenosis can occur at either the cavoatrial anastomosis or the caval cannulation site, with presentations ranging from acute shock early post transplant to a more indolent course. Causes include extensive hemostatic suturing, fibrous contraction, and donor-recipient size mismatch. Treatment strategies include percutaneous balloon angioplasty (Figure 7), stenting (Figure 8), and surgical revision. Evaluating for IVC stenosis is recommended for unexplained lower extremity edema, new-onset ascites, or liver abnormalities after bicaval heart transplant.
Affiliations and Disclosures
From the 1Division of Cardiology, Department of Internal Medicine, University of Texas Southwestern Medical Center; Dallas, Texas; and 2the Department of Pathology, University of Texas Southwestern Medical Center, Dallas, Texas.
Disclosure: The authors have completed and returned the ICMJE Form for Disclosure of Potential Conflicts of Interest. The authors report no conflicts of interest regarding the content herein.
Manuscript accepted March 28, 2021.
The authors report that patient consent was provided for publication of the images used herein.
Address for correspondence: Faris G. Araj, MD, Professional Office Bldg. 2, Suite 600, 5939 Harry Hines Blvd, Dallas, TX 75390-9252. Email: faris.araj@utsouthwestern.edu


