Acute Iatrogenic Aortic Coarctation After Balloon-Expandable Prosthesis Pop-out During Transcatheter Aortic Valve Implantation Intervention
Alessio Arrivi, MD, PhD; Riccardo Rosati, MD; Amalia Morgantini, MD; Marcello Dominici, MD
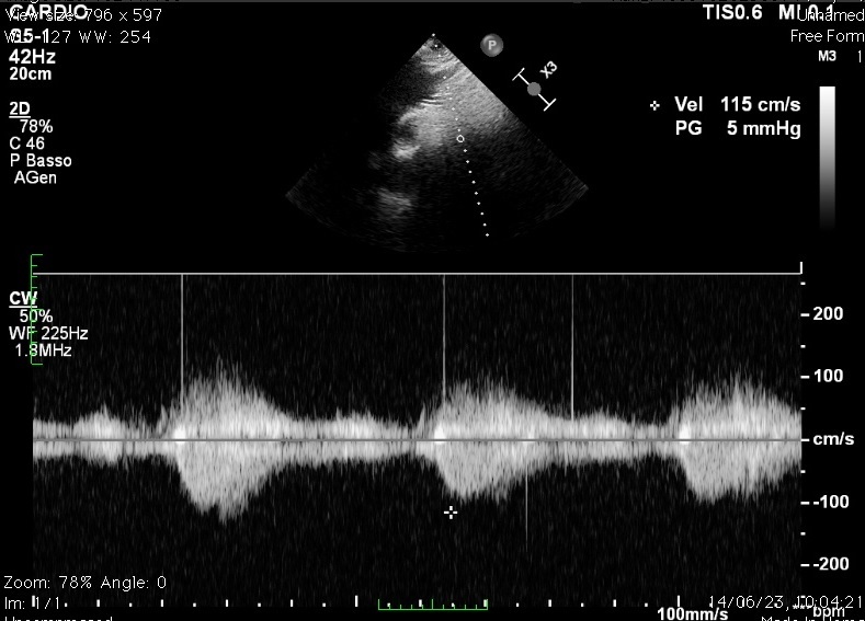
An 80-year-old man was referred to our cath-lab for transcatheter aortic valve implantation (TAVI) due to symptomatic severe aortic valve stenosis. The intervention utilized a balloon-expandable prosthesis (Sapien 3 Ultra n°26, Edwards Lifesciences). An unexpected pop-out with device dislodgement in the ascending aorta occurred during implantation (Video 1). The prosthesis was repositioned distally in the aortic arch using an Amplatz Goose Neck snare catheter (Medtronic), maintaining supra-aortic vessel patency (Video 2). Stability was ensured by inflating a 28 mm balloon (Video 3), followed by the introduction of a second Sapien 3 Ultra n°26 prosthesis through the first (Video 4). The latter was successfully implanted with favorable angiographic results (Video 5). Subsequently, marked differential blood pressure values between the upper and lower limbs were observed, accompanied by acute kidney injury. Computed tomography (CT) multi-projection reconstruction images revealed reversed prosthesis leaflets (Figure 1) and a high transaortic gradient on transjugular Doppler-ultrasound (Figure 2), indicating acute iatrogenic aortic coarctation. Aortic stenting-in-valve using a 26 mm Numed Mounted CP Stent was performed (Video 6), promptly normalizing the transaortic gradient (Figure 3) and leading to clinical improvement. To the best of our knowledge, this is the first reported case of acute iatrogenic aortic coarctation following prosthesis pop-out during TAVI, suggesting that prosthesis rotation and subsequent leaflets reversion were responsible for the intraluminal obstruction.
Affiliations and Disclosures
From the Interventional Cardiology Unit, “Santa Maria” University Hospital, Terni, Italy
Disclosures: The authors report no financial relationships or conflicts of interest regarding the content herein.
Address for correspondence: Dr Alessio Arrivi, Santa Maria University Hospital, Via Tristano di Joannuccio 1, 05100, Terni, Italy. Email: alessio.arrivi@libero.it


