Leadless Pacemaker Implantation in a Patient With Diminutive Subclavian Veins
Abstract
Background. Conventional pacemakers have a longstanding history of preventing morbidity and mortality in patients with bradyarrhythmia and conduction disorders. While decades of advancements have improved pacemaker technology and implantation technique, insertion of transvenous leads and formation of a pectoral pocket can lead to complications, including pocket hematoma, pneumothorax, or infection.Leadless pacemakers were introduced in 2012 to address these complications; however, early leadless systems only provided single-chamber ventricular pacing. In 2020, an accelerometer-based atrial sensing feature was developed to allow for atrioventricular (AV) synchrony with these devices. Early evidence suggests that patients with sinus rhythm and AV block can benefit from single-chamber leadless pacing systems with an AV synchrony algorithm. As availability of these devices continues to broaden, identification of appropriate recipients has become increasingly relevant.
J INVASIVE CARDIOL 2022;34(2):E114-E116. Epub 2022 January 6.
Key words: atrioventricular synchrony, AV block, leadless pacemaker
Introduction
Conventional pacemakers have a longstanding history of preventing morbidity and mortality in patients with bradyarrhythmia and conduction disorders.1,2 While decades of advancements have improved pacemaker technology and implantation technique, insertion of transvenous leads and formation of a pectoral pocket can lead to complications, including pocket hematoma, pneumothorax, or infection.3-5 Leadless pacemakers were introduced in 2012 to address these complications.6,7 These devices are implanted using a percutaneous femoral, catheter-based approach to advance the device to the right ventricle (RV) and fix it to the myocardium with nitinol tines. A number of prospective trials have since been used to compare conventional and leadless pacemakers and have found that they have comparable short-term safety and efficacy.8-10 Unsurprisingly, implantation of leadless pacemakers is not associated with pneumothorax, pocket hematoma, or pocket/lead infection, but is associated with femoral vascular complications and a moderate risk of cardiac perforation.11 Overall, conventional pacemakers have a slightly better short-term complication rate than leadless pacemakers (4.0% vs 4.8%, respectively), which may be attributed to procedural learning curve.12 Comparison of 12-month outcomes reveal that leadless pacemakers have a 71% reduction in complications compared with conventional transvenous systems.11 Early leadless systems only provided single-chamber ventricular pacing. On January 21, 2020, an accelerometer-based atrial sensing feature has been developed to allow for atrioventricular (AV) synchrony with these devices. Early evidence suggests that patients with sinus rhythm and AV block can benefit from single-chamber leadless pacing systems with an AV synchrony algorithm.13 The estimated battery life for the Micra AV device (Medtronic) is 8-13 years depending on the pacing mode, often exceeding that of conventional pacemakers, which last about 7-10 years.14,15 As availability of these devices continues to broaden, identification of appropriate recipients has become increasingly relevant.
Case Presentation
A 71-year-old man presented with second degree AV block with 2:1 conduction at a heart rate of 36 beats/min. He was admitted for suspected right lower-extremity (RLE) deep vein thrombosis (DVT). RLE duplex revealed a superficial venous thrombus within the distal right greater saphenous vein, but no DVT. He had a past medical history of intermittent AV block, coronary artery disease with stenting in December of 2020, hypertension, and DVT in 2019. The patient was on apixaban prior to admission, which was switched to rivaroxaban on discharge. Telemetry showed that the patient was bradycardic with heart rates in the 40 beats/min range. Left-sided dual-chamber conventional pacemaker insertion was attempted. The plan was for the RV lead to be placed in a septal location to capture the patient’s conduction system and prevent worsening left ventricular (LV) function. However, intraoperative left-sided venogram showed diminished venous flow along the left subclavian vein.
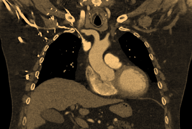
The procedure was aborted due to diminutive subclavian veins impeding access and lead placement. A chest computed tomography (CT) with contrast revealed both left and right subclavian vein narrowing, posing a barrier to conventional pacemaker implantation (Figure 1).
The patient continued to have symptomatic bradycardia and progressed to intermittent complete heart block (CHB) during his hospitalization. Because standard pacemaker implantation was limited by narrow subclavian veins, leadless dual-chamber pacemaker implantation was attempted through the right femoral vein. A Micra AV device was selected because of its ability to provide AV synchrony. The device was deployed on the patient’s RV septum, capturing the conduction system without complications. The patient was subsequently observed to have an appropriately functioning device, with atrial-sensed and ventricular-paced rhythm during inpatient follow-up.
Discussion
Ideal candidates for leadless pacemaker implantation include adult patients at high risk of lead-related complications and whose veins are being used for hemodialysis or chemotherapy. Others include those at high risk of infection from transvenous pacemakers, such as individuals with a history of endocarditis, septicemia, or lead extraction.16,17 Here we identify a patient with intermittent CHB in whom traditional pacemaker implantation through subclavian venous access was limited due to vessel size.
Because the original Micra leadless device could only provide single-chamber ventricular pacing, its use was limited to <15% of pacemaker patients. Patients receiving ventricular single-lead pacemakers are primarily those with chronic atrial fibrillation and a slow ventricular response.18 With an algorithm that allows for detecting atrial contractions and ventricular synchrony, the Micra AV device represents a remarkable advancement over the original leadless pacemakers by providing AV synchronous pacing and expanding the patient pool to include those with AV block.13,19 Enhancements have been made to the original algorithm to improve mode switching and to accommodate changes in patient rhythm and activity.20 The patient described here, with CHB and poor subclavian access, represents an ideal candidate for these devices.
By preventing the complications associated with traditional pacemakers, leadless devices have become increasingly popular, especially with the advent of the Micra AV system. Recent analysis of the FDA database of major adverse clinical events associated with Micra implantation revealed that implantation of leadless Micra devices can be complicated by myocardial perforations that may lead to cardiac tamponade and death. While this risk is estimated to be <1%, leadless pacemaker implantation should involve informing patients of this risk and be performed in the setting of a hospital capable of performing emergency cardiothoracic surgery if complications arise.21
Conclusion
Vascular abnormalities may impede subclavian vein access for traditional pacemaker implantation. With the advent of the Micra AV leadless device, patients with second- and third-degree AV block and limited subclavian venous access can be effectively paced through a percutaneous femoral approach.
Affiliations and Disclosures
From the 1Univeristy of Illinois College of Medicine at Urbana-Champaign, Urbana, Illinois; 2OSF HealthCare Cardiovascular Institute, Urbana, Illinois; and 3Carle Illinois College of Medicine, Urbana, Illinois.
Disclosure: The authors have completed and returned the ICMJE Form for Disclosure of Potential Conflicts of Interest. The authors report no conflicts of interest regarding the content herein.
Manuscript accepted May 21, 2021.
The authors report patient consent for the images used herein.
Address for correspondence: Abraham Kocheril, MD, OSF HealthCare Cardiovascular Institute, 1400 West Park St, Ste 201, Urbana, IL 61801. Email: abraham.g.kocheril@osfhealthcare.org
Related Articles
- Electrophysiology Lab Efficiency During the Treatment of Patients With Persistent Atrial Fibrillation: A Subanalysis of the STOP Persistent AF Study
- Transbasilic Approach for Percutaneous Closure of an Atrial Septal Defect
- Venovo Venous Stent in Treating Iliac Vein Compression: A Single-Center Experience
- Mechanisms of Lead Failure by Recall Status and Manufacturer: Results From the Pacemaker and Implantable Defibrillator Leads Survival Study (“PAIDLESS”)
References
1. Harmer D, Gilbert M, Borman R, Clark KL. Quantitative mRNA expression profiling of ACE 2, a novel homologue of angiotensin converting enzyme. FEBS Lett. 2002;532:107-110.
2. Toff WD, Camm AJ, Skehan JD. Single-chamber versus dual-chamber pacing for high-grade atrioventricular block. N Engl J Med. 2005;353:145-155.
3. Udo EO, Zuithoff NPA, Van Hemel NM, et al. Incidence and predictors of short- and long-term complications in pacemaker therapy: the FOLLOWPACE study. Heart Rhythm. 2012;9:728-735.
4. Kirkfeldt RE, Johansen JB, Nohr EA, Moller M, Arnsbo P, Nielsen JC. Pneumothorax in cardiac pacing: a population-based cohort study of 28 860 Danish patients. Europace. 2012;14:1132-1138.
5. Kirkfeldt RE, Johansen JB, Nohr EA, Jorgensen OD, Nielsen JC. Complications after cardiac implantable electronic device implantations: an analysis of a complete, nationwide cohort in Denmark. Eur Heart J. 2014;35:1186-1194.
6. Reddy VY, Knops RE, Sperzel J, et al. Permanent leadless cardiac pacing. Circulation. 2014;129:1466-1471.
7. Reddy VY, Exner DV, Cantillon DJ, et al. Percutaneous implantation of an entirely intracardiac leadless pacemaker. N Engl J Med. 2015;373:1125-1135.
8. Reynolds D, Duray GZ, Omar R, et al. A leadless intracardiac transcatheter pacing system. N Engl J Med. 2016;374:533-541.
9. Knops RE, Tjong FVY, Neuzil P, et al. Chronic performance of a leadless cardiac pacemaker. J Am Coll Cardiol. 2015;65:1497-1504.
10. Kowal R, Soejima K, Ritter P, et al. Relationship between operator experience and procedure outcomes with the Micra transcatheter leadless pacing system. Heart Rhythm. 2016;13:S169.
11. Cantillon DJ, Dukkipati SR, Ip JH, et al. Comparative study of acute and mid-term complications with leadless and transvenous cardiac pacemakers. Heart Rhythm. 2018;15:1023-1030.
12. Tjong FVY, Reddy VY. Permanent leadless cardiac pacemaker therapy. Circulation. 2017;135:1458-1470.
13. Garweg C, Splett V, Sheldon TJ, et al. Behavior of leadless AV synchronous pacing during atrial arrhythmias and stability of the atrial signals over time-results of the MARVEL Evolve subanalysis. Pacing Clin Electrophysiol. 2019;42:381-387.
14. Khan K, Kim JA, Gurgu A, Khawaja M, Cozma D, Chelu MG. Innovations in cardiac implantable electronic devices. Cardiovasc Drugs Ther. 2021 Mar 2 (Epub ahead of print).
15. Noor SM, John E, Panday M. Design and implementation of an ultralow-energy FFT ASIC for processing ECG in cardiac pacemakers. IEEE Trans Very Large Scale Integr Syst. 2019;27:983-987.
16. Defaye P, Klug D, Anselme F, et al. Recommendations for the implantation of leadless pacemakers from the French Working Group on Cardiac Pacing and Electrophysiology of the French Society of Cardiology. Arch Cardiovasc Dis. 2018;111:53-58.
17. Beurskens NEG, Tjong FVY, Dasselaar KJ, Kuijt WJ, Wilde AAM, Knops RE. Leadless pacemaker implantation after explantation of infected conventional pacemaker systems: a viable solution? Heart Rhythm. 2019;16:66-71.
18. Greenspon AJ, Patel JD, Lau E, et al. Trends in permanent pacemaker implantation in the United States from 1993 to 2009. J Am Coll Cardiol. 2012;60:1540-1545.
19. Chinitz L, Ritter P, Khelae SK, et al. Accelerometer-based atrioventricular synchronous pacing with a ventricular leadless pacemaker: results from the Micra atrioventricular feasibility studies. Heart Rhythm. 2018;15:1363-1371.
20. Steinwender C, Khelae SK, Garweg C, et al. Atrioventricular synchronous pacing using a leadless ventricular pacemaker. JACC Clin Electrophysiol. 2020;6:94-106.
21. Hauser RG, Gornick CC, Abdelhadi RH, Tang CY, Casey SA, Sengupta JD. Major adverse clinical events associated with implantation of a leadless intracardiac pacemaker. Heart Rhythm. 2021;18:1132-1139.


