Use of a Novel Adjunctive Kissing-Balloon Technique with the Trellis Device to Successfully Prevent Embolization Across Juxtaposed Kissing Aortoiliac Stents
Abstract: The Trellis thrombectomy system (Covidien) has been used successfully to perform isolated pharmacomechanical thrombectomy of both venous and arterial thrombi. The device is designed to provide localized treatment while preventing both systemic spread of the thrombolytic agent and also distal embolization. However, when this device is utilized to remove thrombi at bifurcation lesions, embolization into the contralateral vessel can potentially occur. We describe a novel and simple technique of adjunctive kissing balloon inflation while using the Trellis device for the management of an aortoiliac occlusion that occurred in one of two juxtaposed stents previously placed in the distal aorta into the bilateral iliac arteries. This technique prevented distal embolization into the contralateral iliac artery.
J INVASIVE CARDIOL 2012;24(1):32-35
Key words: Trellis thrombectomy system, kissing aortoiliac stents
______________________________________
The Trellis thrombectomy system (Covidien) is a novel device that has been described in the treatment of both arterial and venous thrombi.1,2 While data are available mainly for the treatment of deep venous thrombi (DVT), it is being used more often for acute limb ischemia with favorable success.3 The device requires the inflation of balloons at the proximal and distal ends, which serves to isolate the treatment zone, thereby preventing distal embolization and also systemic spread of the thrombolytic agent being used. When there is a thrombus at a bifurcation of a vessel, such as the abdominal aorta, inflation of the proximal and distal balloons will still leave the contralateral common iliac artery open to embolization of thrombi, which can lead to disastrous consequences. We describe a novel and simple technique of adjunctive kissing balloon inflation while using the Trellis device for the management of an aortoiliac occlusion that occurred in one of two juxtaposed stents previously placed in the distal aorta into the bilateral iliac arteries.
Case Presentation
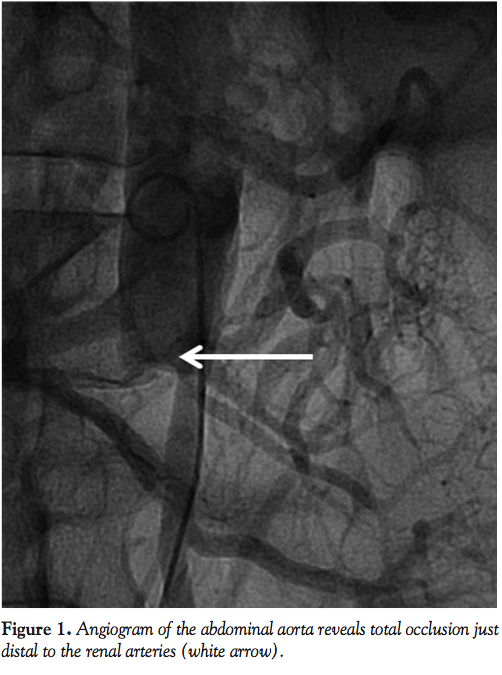
A 69-year-old male presented to our facility 1 year after progressive weakness and pain to his lower extremities that acutely worsened 3 weeks prior to hospitalization. Over this period, the patient had developed significant functional limitations and become bed bound. He had developed multiple ulcers and infected wounds on his buttocks and lower extremities. He had also developed atrophy to his legs with significant loss of motor and sensory function. A computed tomography scan with contrast was of low quality, though suggested occlusion of the infrarenal aorta (Figure 1). As surgical treatment is preferred for this condition, he was evaluated by the vascular surgery department, but he was turned down for surgical intervention due to severe comorbid conditions, including a complicated and prolonged hospital course with urinary tract infections, clostridium dificile colitis, and hospital-acquired pneumonia. The patient was then evaluated by the interventional cardiology department for endovascular treatment of his aortic occlusion. This was thought to help facilitate wound healing and decrease pain. After being informed of the potential risks and benefits, the patient was brought to our cardiac catheterization laboratory for revascularization.
Access was obtained in the right brachial artery and a 6 Fr, 90 cm Destination Sheath (Terumo Medical Corporation) was advanced into the descending aorta. A Quick Cross catheter (Spectranetics) was advanced into the right superficial femoral artery (SFA) over a soft-angled glide wire with some difficulty. A second arterial access was obtained with ultrasound guidance into the left common femoral artery and we were able to cross the lesion on the left with a Quick Cross and multiple wires. A Rosen wire (Cook Medical Inc.) was then placed across lesions on both sides and balloons were advanced and inflated in a kissing fashion in the distal aorta and down into the common and external iliac arteries. This was followed by kissing-balloon expandable Express stents (Boston Scientific) in the infrarenal aorta into the common iliac arteries, followed by self-expanding stents from the distal edge of the Express stents to the common femoral arteries on both sides (Figure 2). The stents were then postdilated. The final results revealed excellent flow to the lower extremities bilaterally. Heparin was used for anticoagulation during the procedure and he was maintained on aspirin and clopidogrel daily.
The patient did quite well following his revascularization, which helped facilitate wound healing. However, about 3 weeks later, he developed acute limb ischemia of the right lower extremity so he was brought back to the cardiac catheterization lab. Access was obtained in the right brachial artery using a 6 Fr Destination sheath. Bivalirudin was used for anticoagulation. Angiogram revealed thrombotic occlusion of the right common and external iliac artery stents (Figure 3). As we were not able to cross the lesion with multiple attempts, we decided to
try a retrograde approach using a 6 Fr sheath in the right common femoral artery. The difficulty was due to the fact that our wires kept going into the left iliac through the juxtaposed stents in the distal aorta. It was then decided to use a 10 cm Trellis device for pharmacomechanical thrombectomy. During this, an 8.0 x 120 balloon was inflated in the distal aorta to the left common iliac artery juxtaposed stent to prevent the embolization of thrombus and to keep this isolated to the left lower extremity (Figure 4). A total of 20 mg of tissue plasminogen activator was used with good results, after which kissing-balloon inflation was performed in the distal aorta to the bilateral common iliacs. Final angiogram (Figure 5) showed good flow in bilateral iliac arteries with 3-vessel runoff to both feet.
Following this procedure, the patient continued to do well with continued flow to his lower extremities. This was consistent at a 1-month follow-up exam. He was kept on low-dose aspirin, clopidogrel, and warfarin with target INR of 2-2.5. He was discharged to the local Veterans Center for ongoing wound care, physical therapy, and nutritional care.
Discussion
For patients with abdominal aorto-occlusive disease who are not suitable candidates for endovascular therapy, aorto-bifemoral bypass is considered to be beneficial.4 Because of the extensive nature of the vascular disease in our patient, it was our opinion that he would have a better outcome with surgery. However, as he was deemed not a surgical candidate by our surgeons, he was treated percutaneously, albeit considered high-risk for complications. As an alternative to surgery, percutaneous treatment of occlusive diseases of the abdominal aorta has been established at least since 1980.5,6 Technical fine tuning has helped reduce complications and improved effectiveness over the years.7 Emerging technologies continue to impact the role of endovascular therapy in the treatment of aorto-occlusive disease. A newer device that is being use more commonly, especially at our center, is the Trellis thrombectomy system. This device was initially found to be an effective treatment for symptomatic DVTs.8 Since then, the device has also been used in the treatment of localized thrombi of native arteries,9 aorto-femoral bypass graft occlusion,1 and in a bifurcated aortic endograft occlusion.10
The Trellis device is a 6 Fr multilumen dispersion catheter. The external portion of the device has 5 separate entry ports. Two of the ports are used to inflate compliant balloons located at either end of the infusion and dispersion segment. The balloons, which can be inflated, isolate the treatment zone, maintain concentration of the thrombolytic agent (infused through a third port), localize thrombolytic delivery, and prevent distal embolization. However, this is usually true only when the device is used in an isolated treatment zone that is not associated with a branch vessel. When using the device to treat lesions that are in vessels that involve a bifurcation, there is a potential for embolization into the contralateral vessel. To prevent this, we used an adjunctive kissing-balloon technique; this helped to prevent systemic spread of the thrombolytic agent and prevent distal embolization into the unintended vessel. This technique can be compared to the “kissing-balloon” technique when performing angioplasty at the vicinity of the bifurcation of the abdominal aorta and/or involving the common iliac arteries. The technique is often performed to protect embolization or plaque shift into the ostium of the contralateral common iliac artery.11,12 A case that reported the use of the Trellis device in an aortic endograft limb occlusion is similar to our case in terms of location of therapy.10 However, the endograft is a covered stent and ideally, embolization into the contralateral limb should not occur unless the treatment zone involves the abdominal aorta. Our case involved acute thrombosis of one of two bare metal stents that were recently deployed in a juxtaposed fashion for revascularization of chronic total occlusion of the distal abdominal aorta. Embolization into the left limb would have easily occurred with use of the Trellis device into the right common iliac artery if we did not protect the left side by utilizing the kissing-balloon technique. At the 30-day clinical follow-up, the bilateral lower extremities had excellent pulses and ankle-brachial indexes. This technique is simple and should be considered in cases like this that involve the use of the Trellis device at a bifurcation of a vessel to help prevent embolization into the contralateral limb.
The reasons why the patient developed thrombosis of the right-sided stents after the initial intervention are unclear. The possibilities include a hypercoagulable state that led to chronic infrarenal aortic occlusion in the first place. Antiplatelet agents alone may have been insufficient and with the addition of warfarin, there was maintenance of patency. The use and duration of anticoagulation is anecdotal and it is determined on an individual basis rather than on set guidelines. Our plan upon discharge was to continue therapy with warfarin and 81 mg of aspirin, and then discontinue clopidogrel.
Conclusion
The Trellis device has been described as an effective tool in the management of both arterial and venous thrombi. However, it is imperative to use the adjunctive kissing-balloon technique when necessary to prevent distal embolization into a branch that is not part of the intended treatment zone when utilizing the Trellis device.
References
- Hanna EB, Gupta R, Hennebry TA. Use of Trellis thrombectomy system in acute aortofemoral graft occlusion. Catheter Cardiovasc Interv. 2010;75(6):838-842.
- Pappy R, Hanna EB, Abu-Fadel MS, Hennebry TA. Isolated pharmacomechanical thrombectomy for the management of chronic DVT. J Interv Cardiol. 2011;24(1):99-104.
- Gupta R, Hennebry TA. Use of percutaneous isolated pharmaco-mechanical thrombolysis-thrombectomy system for acute arterial limb ischemia. J Am Coll Cardiol. 2011;57(14 Suppl S):E1963.
- Hirsch AT, Haskal ZJ, Hertzer NR, et al. ACC/AHA 2005 guidelines for the management of patients with peripheral arterial disease (lower extremity, renal, mesenteric, and abdominal aortic): executive summary a collaborative report from the American Association for Vascular Surgery/Society for Vascular Surgery, Society for Cardiovascular Angiography and Interventions, Society for Vascular Medicine and Biology, Society of Interventional Radiology, and the ACC/AHA Task Force on Practice Guidelines (Writing Committee to Develop Guidelines for the Management of Patients With Peripheral Arterial Disease) endorsed by the American Association of Cardiovascular and Pulmonary Rehabilitation; National Heart, Lung, and Blood Institute; Society for Vascular Nursing; TransAtlantic Inter-Society Consensus; and Vascular Disease Foundation. J Am College Cardiol. 2006;47(6):1239-1312.
- Velasquez G, Castaneda-Zuniga W, Formanek A, et al. Nonsurgical aortoplasty in Leriche syndrome. Radiology. 1980;134(2):359-360.
- Grollman JH Jr, Del Vicario M, Mittal AK. Percutaneous transluminal abdominal aortic angioplasty. AJR Am J Roentgenology. 1980;134(5):1053-1054.
- Uberoi R, Tsetis D. Standards for the endovascular management of aortic occlusive disease. Cardiovasc Intervent Radiol. 2007;30(5):814-819.
- Vedantham S. Interventional approaches to acute venous thromboembolism. Semin Respir Crit Care Med. 2008;29(1):56-65.
- Sarac TP, Hilleman D, Arko FR, Zarins CK, Ouriel K. Clinical and economic evaluation of the trellis thrombectomy device for arterial occlusions: preliminary analysis. J Vasc Surg. 2004;39(3):556-559.
- Pappy R, Hanna EB, Hennebry TA. Bifurcated aortic endograft limb occlusion managed with a novel method of isolated pharmacomechanical thrombectomy. Catheter Cardiovasc Interv. 2010;76(6):895-900.
- Tegtmeyer CJ, Kellum CD, Kron IL, Mentzer RM Jr. Percutaneous transluminal angioplasty in the region of the aortic bifurcation. The two-balloon technique with results and long-term follow-up study. Radiology. 1985;157(3):661-665.
- Sagic D, Grujicic S, Peric M, Popovic Z, Radevic B, Bojic M. “Kissing-balloon” technique for abdominal aorta angioplasty. Initial results and long term outcome. Int Angiol. 1995;14(4):364-367.
______________________________________
From the University of Oklahoma Health Sciences Center, Oklahoma City, Oklahoma.
Disclosure: The authors have completed and returned the ICMJE Form for Disclosure of Potential Conflicts of Interest. The authors report no conflicts of interest regarding the content herein.
Manuscript submitted September 7, 2011 and accepted September 13, 2011.
Address for correspondence: Mazen Abu-Fadel, MD, Section of Cardiovascular Diseases, Department of Internal Medicine, 920 Stanton L. Young Boulevard, WP 3010, Oklahoma City, OK 73104. Email: Mazen-Abufadel@ouhsc.edu


