An Unusual Case of Bilateral Subclavian-Carotid Artery Graft Occlusion With Coronary Steal Syndrome Managed in the Cath Lab
Download a PDF of this article.
ABSTRACT. A 65-year-old man, s/p coronary bypass surgery (CABG) with left internal mammary artery (LIMA) to the left anterior descending (LAD) artery 12 years previously, presented to his local hospital with left upper extremity pain, dizziness, falls, and chest pain. At the outside hospital, a proximal total left subclavian occlusion was found and the patient underwent left subclavian artery to common carotid artery (SCA-CCA) bypass surgery. Shortly thereafter, the patient developed right subclavian thrombosis, and underwent right SCA-CCA bypass surgery. Twenty days later, coronary steal symptoms recurred; troponin levels were elevated and ultrasound exam revealed bilateral SCA-CCA graft occlusion. The patient was then transferred to a tertiary care facility with a diagnosis of non-ST elevation myocardial infarct (NSTEMI). A successful endovascular procedure was performed in the cardiac catheterization laboratory with the use of coronary chronic total occlusion (CTO) devices, to treat the coronary steal syndrome.
J INVASIVE CARDIOL
2013;25(1):E14-E16
Key words: carotid artery, chronic total occlusion
__________________________________________
The left internal mammary artery (LIMA) is typically the conduit of choice for coronary artery bypass grafting (CABG) involving the left anterior descending (LAD) artery, as the LIMA-LAD graft has documented excellent long-term patency rates.1 However, proximal stenosis of its parent artery, the left subclavian, can result in a constellation of symptoms termed “coronary steal syndrome.” With a proximal left subclavian artery (SCA) stenosis, flow is reduced or even reversed in the LIMA, resulting in angina and myocardial anterior ischemia. Retrograde flow in the vertebral artery through the Circle of Willis can result in neurologic symptoms, such dizziness and falling. Decreased perfusion in the left SCA can cause left arm coolness and pallor, and often pain with movement of the extremity. The incidence of left subclavian coronary steal syndrome is rare, ranging from 0.1%-0.2%, and it is standard practice to screen for left SCA stenosis prior to CABG.2 However, patients can develop left SCA stenosis many years post CABG, especially those with risk factors for peripheral artery disease.3 In this unique case, we present a patient who presented with coronary, neurologic, and upper extremity symptoms of a coronary steal syndrome who ultimately received treatment in the cardiac catheterization laboratory with the use of coronary devices for CTOs after a failed left SCA-CCA bypass graft.
Case report. A 65-year-old male with a history of hypertension, hyperlipidemia, and known coronary artery disease presented with signs and symptoms of coronary steal syndrome to his local hospital. The patient reported left upper extremity pain (LUE) triggered by exertion of his left arm and hand; these symptoms were followed by left-sided chest pain and dizziness if the exertion continued. All symptoms were relieved with rest. The patient recalled he had fallen several times as a result of dizziness while walking. Physical examination was remarkable for absent LUE pulses and weak 1+ right radial and brachial pulses.
Previously, the patient underwent quadruple-vessel CABG with LIMA-LAD, saphenous vein graft (SVG) to the right coronary artery (RCA), obtuse marginal (OM)-1 and diagonal (D)-1 grafts 12 years ago. One year prior to presentation, he was diagnosed with New York Heart Association class III congestive heart failure. Echocardiography at that time showed a left ventricular (LV) ejection fraction of 37%, an aneurysmal LV apex, and anterior wall hypokinesis. A stress myocardial nuclear perfusion imaging revealed a reversible anterior wall defect suggesting ischemia.

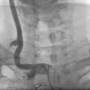
Figure 1. Angiography at the outside hospital reveals proximal left subclavian occlusion and a patent LIMA-LAD graft (click thumbnail to view larger image).
At the time of the present admission at the outside hospital, angiography revealed a proximal total left subclavian occlusion with a patent LIMA graft (Figure 1). A percutaneous approach to treat the lesion was attempted by a vascular surgeon attending. Unfortunately, the lesion could not be crossed with a retrograde or antegrade approach using a 0.035˝ stiff-angled Glidewire guide catheter (Terumo Medical Corporation). On the retrograde attempt via the left brachial artery, a subintimal dissection plane was created. With a failed percutaneous approach, the patient underwent a left SCA-CCA bypass surgery with an 8 mm ringed polytetrafluoroethylene (PTFE) graft.
Two days after the bypass surgery while the patient was being driven home from the hospital, he developed right upper extremity (RUE) pain and pallor. He promptly returned to the hospital and underwent right brachial thrombectomy twice 24 hours apart. The thrombectomy did not resolve his symptoms. A right subclavian artery thrombosis was diagnosed, and the patient underwent right SCA-CCA bypass surgery with an 8 mm ringed PTFE graft. The right SCA was ligated during this surgical procedure, for suspicion that an ulcerated plaque in the proximal vessel was responsible for thrombosis in the brachial artery.

Figure 2. Computerized tomography angiogram taken upon admission to our facility. Bilateral SCA-CCA graft occlusion can be noted (white arrows), along with the surgically ligated right SCA (black arrow) (click thumbnail to view larger image).
Twenty days post operation, the patient’s coronary steal symptoms recurred with dizziness, a cool RUE, and chest pain. He returned again to the outside hospital, where ultrasound revealed bilateral retrograde flow in the vertebral arteries, and bilateral SCA-CCA graft occlusion. Troponin I was elevated to 10.94 (normal <0.10 ng/mL). Due to the non-ST elevation myocardial infarction (NSTEMI) and recurrent coronary steal symptoms following failed endovascular and open approaches, the decision was made to transfer the patient to a tertiary care facility for further management.

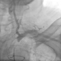
Figure 3. Right common carotid artery angiography: subclavian-carotid graft occlusion and surgical ligation of the right subclavian artery can be seen (click thumbnail to view larger image).
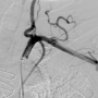
Upon transfer to our facility, a computed tomography angiogram (CTA) was performed, which revealed the bilaterally occluded bypass grafts and the ligated right SCA (Figure 2). Cardiac catheterization and angiography showed that both the proximal RCA and the left main were occluded. The SVG to RCA and OM1 were patent; SVG to D1 was occluded. The bilateral subclavian steals could be visualized with contrast injection into the bracheocephalic and left common carotid arteries (Figures 3 and 4). The LIMA was faintly visualized during the late filling phase of the left carotid angiogram (Figure 4); the left SCA and LIMA filled via collaterals from the left vertebral artery.

Figure 4A. Injecting into left common carotid artery, subclavian-carotid graft occlusion is seen (click thumbnail to view larger image).
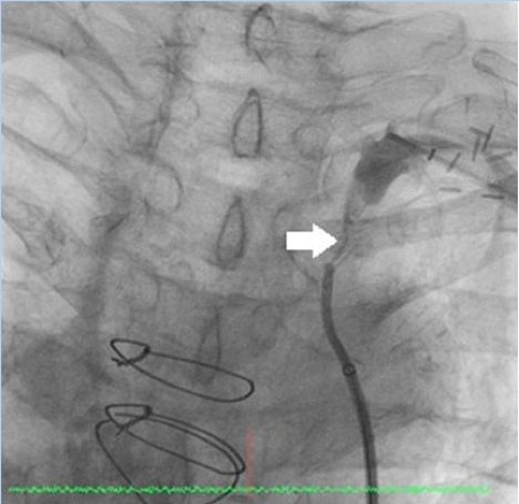
Given the NSTEMI, the decision was made to address the totally occluded left SCA in the cardiac catheterization laboratory using coronary CTO devices and techniques. Vascular access was obtained and long sheaths were placed in both the left radial and left femoral arteries in order to approach the lesion in a combined antegrade-retrograde fashion. Left SCA angiography revealed microchannels at the left SCA occlusion, which is a favorable indicator for successful CTO crossing with specialized guidewires (Figure 5).

Figure 4B. Later in the left common carotid artery angiogram, filling of left subclavian from the vertebral artery is evident (click thumbnail to view larger image).
An initial attempt was made to cross the lesion retrograde via a radial approach using a 4 Fr JR4 guide catheter, but the guidewire favored the subintimal dissection plane created from the first failed percutaneous attempt. Thus, an antegrade approach was taken and a 6 Fr JR4 guide catheter was used via the femoral sheath. The ASAHI FielderXT (Abbott Vascular) wire was chosen, as its polymer jacket and tapered tip are favorable for traversing microchannels in coronary CTOs.

Figure 5. Microchannels (white arrow) can be visualized with the guide catheter positioned at the ostium of the left subclavian artery occlusion (click thumbnail to view larger image).
The Corsair Microcatheter was chosen as a support catheter as it possesses capabilities for dilating CTO microchannels. A 0.014˝ ASAHI FielderXT guidewire, loaded through a Corsair Microcatheter (Abbott Vascular), successfully crossed the occlusion and was advanced into the LIMA. Following, the Corsair was advanced through the lesion and the FielderXT wire was then exchanged for an Iron Man extra-support wire (Abbott Vascular). The Iron Man was externalized through the left radial sheath, and the Corsair was removed. Angioplasty was performed with a 4.0 x 20 mm Trek balloon (Abbott Vascular), followed by placement of a balloon-expandable 7 x 27 mm Ev3 stent (Covidien). Post-stenting dilation was performed with an 8.0 x 20 mm Evercross balloon (Covidien). Figure 6 shows the left subclavian angiogram after the EV3 stent implant.

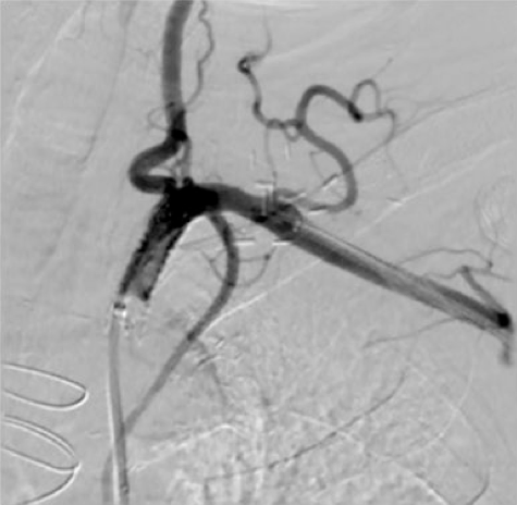
Figure 6. The final outcome: left subclavian angiogram showing normal perfusion restored after stenting with 7 x 27 mm EV3 (click thumbnail to view larger image).
Elimination of the left SCA occlusion yielded excellent clinical results. The patient had a full recovery, and a 2+ left radial pulse was restored. Symptoms of chest pain, upper extremity pain, and dizziness, were immediately resolved. He was also able to use his right arm without symptoms.
Discussion
This report describes a patient who presented with the triad of symptoms — coronary, neurologic, and upper extremity — associated with the coronary steal syndrome. Successful application of coronary CTO devices and techniques led to successful treatment following a failed conventional approach. Careful angiographic analysis of a CTO is vital for successful treatment. Multiple factors may guide how the intervention shall proceed, which include but are not limited to: microchannels, proximal cap anatomy, occlusion length, quality of the targets, and useable collaterals.4 In this case, microchannels were visualized by vigorous antegrade contrast injection at the ostium of the left SCA occlusion.
Histopathologic assessments of angiographic CTOs suggest that a majority of angiographic CTOs possess microchannels even if not seen angiographically, and that mean microchannel diameter is approximately 200 μm or 0.008˝.5,6 Specialized guidewires, such as the Fielder XT, have polymer-jacketed tapered tips combined with hydrophilic coatings which can facilitate the traversing of microchannels to access the distal true lumen.
It is noteworthy that treatment of the left SCA total occlusion improved symptoms in both right and left upper extremities. After opening the occlusion of the proximal left SCA, the collateral source, which was retrograde flow from the Circle of Willis, was adequate to perfuse the right SCA despite the right SCA ligation. The patient did not report any symptoms during routine tasks performed with his right arm, as the two other perfusion recipients from that collateral source (ie, left upper extremity and heart) were no longer drawing upon it.
The SCA-CCA graft is widely acknowledged to be a successful graft with excellent long-term patency rates. In studies, the patency rate of this graft is greater than 90% at 5-year follow-up.7,8 It is troublesome that bilateral SCA-CCA graft occlusion would occur so rapidly after the surgery. Given the information available to us about this patient, we lack a solid explanation. The presence of pre-existing right SCA disease undetectable on CTA or an iatrogenic complication of the initial endovascular antegrade attempt cannot be excluded. Hematology work-up for hypercoagulability at the outside hospital and our facility was unrevealing.
Conclusion
We have presented a highly unusual case of a left subclavian coronary steal that was successfully managed in the cardiac catheterization laboratory. This case has demonstrated that coronary CTO devices and techniques have broader applications outside of a strictly coronary theater. Finally, it was greatly rewarding that this case yielded an excellent clinical outcome with a markedly improved quality of life for the patient.
References
- Westerband A, Rodriguez JC, Ramaiah VG, Diethrich EB. Endovascular therapy in prevention and management of coronary-subclavian steal. J Vasc Surg. 2003;38(4):699-704.
- Zebele C, Ozdemir HI, Soliman-Hamad MA. Coronary ischemia due to subclavian stenosis after arterial revascularization. Asian Cardiovasc Thorac Ann. 2011;19(2):169-171.
- Shadman R, Criqui MH, Bundens WP, et al. Subclavian artery stenosis: prevalence, risk factors, and association with cardiovascular disease. J Am Coll Cardiol. 2004;44(3):618-623.
- Grantham JA. CTO decision making: how to assess the coronary angiogram. New York, NY: Cardiovascular Research Foundation, Inc, 2011.
- Srtivatsa SS, Edwards WD, Boos CM, et al. Histologic correlates of angiographic chronic total coronary artery occlusions: influence of occlusion duration on neovascular channel patterns and intimal plaque composition. J Am Coll Cardiol. 1997;29(5):955-963.
- Tsuchikane E. Most advanced strategy for coronary CTOs. Toyohashi, Japan: Transcatheter Cardiovascular Therapeutics Angioplasty Summit, 2009.
- AbuRahma AF, Robinson PA, Jennings TG. Carotid-subclavian bypass grafting with polytetrafluoroethylene grafts for symptomatic subclavian artery stenosis or occlusion: a 20-year experience. J Vasc Surg. 2000;32(3):411-418.
- Cina CS, Safar HA, Lagana A, et al. Subclavian carotid transposition and bypass grafting: consecutive cohort study and systematic review. J Vasc Surg. 2002;35(3):422-429.
__________________________________________
From the Department of Cardiology, University of California San Francisco (UCSF) Medical Center and San Francisco Veterans Affairs Medical Center (SFVAMC), San Francisco, California.
Disclosure: The authors have completed and returned the ICMJE Form for Disclosure of Potential Conflicts of Interest. Dr Shunk holds grants from Gilead, InfraredX, Abbott Vascular, and Siemens Medical Systems, and discloses stock ownership (divested) in Revascular Therapeutics, Inc.
Manuscript submitted June 4, 2012, provisional acceptance given July 13, 2012, final version accepted July 26, 2012.
Address for correspondence: Kendrick A. Shunk, MD, PhD, San Francisco Veterans Affairs Medical Center, Department of Cardiology, 111C, 4150 Clement Street, San Francisco, CA, 94121. Email: Kendrick.Shunk@va.gov


