An Unusual Acute Coronary Syndrome Due to a Septic Embolism: A Case Presentation and Review of Revascularization Strategies
Systemic embolism is a feared complication of infective endocarditis, occurring in up to 20%-50% of patients.1 In 1856, Rudolf Virshow described the first observation of a cardiac embolism due to endocarditis. Coronary septic embolisms are a rare complication of endocarditis, occurring in about 1.9% of cases.2
The majority of acute coronary syndromes are caused by an atherothrombotic disease, and their management has been extensively evaluated and is the subject of numerous recommendations. However, only case reports and small studies have been published to date and specific guidelines regarding the revascularization strategy of acute coronary syndromes complicating endocarditis are missing.
Herein, we present the case of a patient with inferior-wall ST-segment elevation myocardial infarction due to a septic coronary embolism from an infected mitral bioprosthesis and its subsequent management.
Case Example
A 48-year-old man with a history of mitral bioprosthetic valve replacement in 2014 was admitted to our department for the occurrence of acute chest pain. Of note, the patient reported an episode of fever during the prior month; however, the patient was afebrile at admission. No heart murmur was audible. The first electrocardiogram showed an ST-segment elevation on the inferior leads with an anterior mirror (Figure 1).
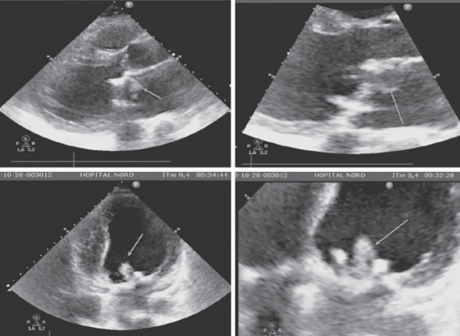
Given the episodic fever, we rapidly performed an echocardiography before cardiac catheterization that showed a 2 cm irregular mobile formation attached to the bioprosthetic mitral valve (Figure 2) and an impaired left ventricular ejection fraction of 35% with akinesis of the inferior and inferolateral walls.
Coronary angiography was performed through the right radial artery with a 6 Fr sheath. Following cannulation, the patient was given a bolus of 3000 IU unfractionated intravenous heparin. A selective right coronary artery injection with a Judkins right 4 Fr catheter revealed no significant stenosis. A 7 Fr Extra-Backup Launcher guide catheter (Medtronic) was used to assess the left coronary.
Angiographic study showed an occlusion of the circumflex artery on a bifurcation site with a marginal branch (Figure 3A). A 0.014˝ Balance Middleweight guidewire (Abbott Vascular) was used and coronary aspiration in both the marginal and circumflex branches with a 7 Fr Export aspiration catheter (Medtronic) was performed via the guiding catheter, which allowed embolic debris to be removed (Figure 3B). After repeated aspiration attempts, we observed TIMI 2 flow restoration in the marginal branch with a persistent occlusion of the circumflex artery. Kissing-balloon inflation with two 3.0 x 20 mm Ryujin Plus RX semicompliant balloons (Terumo) was use to restore complete revascularization of the circumflex coronary territory (Figures 3C and 3D). Histological examination of the debris (Figure 4) concluded that it was a part of the vegetation that had embolized.
The patient improved with a resolution of his chest pain and ST-segment elevation. After the procedure, he was referred to a surgical center.
At admission, troponin I was 0.06 µg/L (increasing to 245 µg/L 6 hours after the procedure), white blood cell count was 10.6 g/L with neutrophilia 8 g/L, and C-reactive protein was 107.1 mg/L. Serum electrolytes, urea, creatinine liver enzymes and clotting times were normal.
We started an empirical treatment before pathogen identification with intravenous amoxicillin (2 g/4 hours) combined with gentamycin (3 mg/kg/day). Three subsequent blood cultures all yielded streptococcus oralis, justifying the modification of antibiotics to ceftriaxone (2 g/day) combined with gentamycin.
Regarding the antithrombotic therapy, we introduced aspirin 75 mg because of the risk of bleeding complication in this clinical setting.
The patient was taken to the operating room for valve replacement 2 days later. The surgeon found a mobile vegetation on the mitral valve (Figure 4). After valve replacement, the patient was discharged from the hospital 3 weeks later. Repeat transthoracic echocardiogram showed no improvement of the systolic function, and a properly functioning mitral bioprosthesis. A dental examination concluded that the entry point of the infection was probably a tooth decay that has been removed.
Discussion
Acute coronary syndromes are a rare complication occurring in 1.9% of infective endocarditis.2 There is a lack of clear data available concerning the best treatment for patients with acute coronary septic embolism due to infective endocarditis. We therefore performed a review of previous cases and summarized their clinical features and management (Table 1). Several revascularization strategies have been reported in the literature, such as thromboaspiration,3-10 balloon angioplasty,11-13 bypass surgery or surgical embolectomy,14-18 stent implantation,19-23 and even thrombolysis,24-28 with inconsistent results.
Fibrinolysis is associated with poor outcomes because of an increased risk of cerebral vascular hemorrhage due to bleeding from mycotic aneurysm (in all the cases reported). Moreover, this embolic event is not primarily related to clot formation, and thrombolysis may have a relatively small effect on reperfusion. Therefore, it must be considered as a contraindicated strategy in these patients.24
Stent implantation into an infected site can lead to the formation of a mycotic coronary aneurysm.19,29 These aneurysms can also form as the angioplasty balloon crushes the septic embolism against the vessel wall.12 The surgical option has the benefit of allowing tissue debridement, valve replacement, and a coronary artery bypass. Nevertheless, it is challenging to perform urgent surgical revascularization in the setting of ST-segment elevation myocardial infarction, and this option is not possible in a hospital without cardiac surgery. It must be favored when there is not a complete occlusion of the vessel. Thromboaspiration with a large catheter may be the optimal technique when it allows a complete blood flow restoration. Unfortunately, when a complete resolution of the stenosis is not possible with aspiration alone, balloon angioplasty and/or stent implantation must be discussed. However, manual thrombectomy technique presents its own complications, with an increased rate of stroke.30
Adjunctive therapy, such as heparin and antiplatelet agent, is also a major concern. There are no data concerning this strategy, but it may be chosen bearing in mind that a surgical valve replacement will be necessary in most cases. Also, several patients are at risk of hemorrhagic complications (especially in a cerebral location), making the choice even more difficult. However, the pharmacological therapy must take into account both bleeding risk and thrombotic risk, depending on the acute presentation.
Conclusion
Several options can be used in cases of acute coronary septic embolism. Surgical intervention may be the best approach when there is not a complete occlusion of the vessel. Thromboaspiration completed by balloon angioplasty when complete blood flow restoration is not possible with aspiration alone may be an alternative. The treatment strategy must be individualized based on the acute presentation, the angiographic features, and the availability of a cardiac surgery center.
References
1. Habib G, Lancellotti P, Antunes MJ, et al. 2015 ESC guidelines for the management of infective endocarditis: the Task Force for the Management of Infective Endocarditis of the European Society of Cardiology (ESC) endorsed by: European Association for Cardio-Thoracic Surgery (EACTS), the European Association of Nuclear Medicine (EANM). Eur Heart J. 2015;36:3075-3128.
2. Roux V, Salaun E, Tribouilloy C, , et al. Coronary events complicating infective endocarditis. Heart. 2017;103:1906-1910.
3. Maqsood K, Sarwar N, Eftekhari H, Lotfi A. Septic coronary artery embolism treated with aspiration thrombectomy: case report and review of literature. Tex Heart Inst J. 2014;41:437-439.
4. Motreff P, Roux A, Souteyrand G. Aspiration therapy in septic coronary embolism complicating infectious endocarditis. Heart. 2010;96:809.
5. Oestreich BA, Sommer P, Armstrong EJ. Coronary artery embolism from infectious endocarditis treated with catheter thrombectomy using a GuideLiner catheter. Catheter Cardiovasc Interv. 2016;87:E197-E201.
6. Taniike M, Nishino M, Egami Y, et al. Acute myocardial infarction caused by a septic coronary embolism diagnosed and treated with a thrombectomy catheter. Heart. 2005;91:e34.
7. Dekam MJ, Depta JP, Lincoff AM. A rare complication of infective endocarditis. Cleve Clin J Med. 2010;77:296-297.
8. Hibbert B, Kazmi M, Veinot JP, O’Brien ER, Glover C. Infective endocarditis presenting as ST-elevation myocardial infarction: an angiographic diagnosis. Can J Cardiol. 2012;28:515.e15-e17.
9. Seo G-W, Seol S-H, No T-H, et al. Acute myocardial infarction caused by coronary embolism from Aspergillus endocarditis. Intern Med. 2014;53:713-716.
10. García-Izquierdo E, Jiménez-Blanco M, Parra Esteban C, Ortega Marcos J. Coronary septic embolism: an unusual presentation of acute myocardial infarction. Kardiol Pol. 2017;75:616.
11. Ural E, Bildirici U, Kahraman G, Komsuoğlu B. Coronary embolism complicating aortic valve endocarditis: treatment with successful coronary angioplasty. Int J Cardiol. 2007;119:377-379.
12. Herzog CA, Henry TD, Zimmer SD. Bacterial endocarditis presenting as acute myocardial infarction: a cautionary note for the era of reperfusion. Am J Med. 1991;90:392-397.
13. Urmeneta Ulloa J, Molina Borao I, Sánchez-Insa E, Aured Guallar C, López Perales C, Sánchez-Rubio J. Acute coronary syndrome due to septic embolism secondary to infective endocarditis in a prosthetic mitral valve. Rev Esp Cardiol (Engl Ed). 2017;70:502-504.
14. Baek M-J, Kim HK, Yu CW, Na C-Y. Mitral valve surgery with surgical embolectomy for mitral valve endocarditis complicated by septic coronary embolism. Eur J Cardiothorac Surg. 2008;33:116-118.
15. Virk HUH, Inayat F, Farooq S, Ghani AR, Mirrani GA, Athar MW. Prosthetic aortic valve endocarditis with left main coronary artery embolism: a case report and review of the literature. N Am J Med Sci. 2016;8:259-262.
16. Pavani M, Conrotto F, D’Ascenzo F, D’Amico M, Centofanti P, Gaita F. Left main occlusion secondary to infective endocarditis vegetation: “the unusual suspect.” Cardiovasc Revasc Med. 2017;18:367-368.
17. Açar G, Ozkok A, Dönmez C, Avcı A, Alizade E, Yanartaş M. Myocardial infarction due to septic coronary artery embolism in the course of Brucella endocarditis. Herz. 2015;40:335-337.
18. Kessavane A, Marticho P, Zogheib E, et al. Septic coronary embolism in aortic valvular endocarditis. J Heart Valve Dis. 2009;18:572-574.
19. Singh M, Mishra A, Kaluski E. Acute ST-elevation myocardial infarction due to septic embolism: a case report and review of management options. Catheter Cardiovasc Interv. 2015;85:E166-E171.
20. Beldner S, Bajwa A, Kaplan B, Rosen S, Steinberg B, Cacciabaudo J. Septic coronary embolism. J Interv Cardiol. 2002;15:301-304.
21. Glazier JJ, Mcginnity JG, Spears JR. Coronary embolism complicating aortic valve endocarditis: treatment with placement of an intracoronary stent. Clin Cardiol. 1997;20:885-888.
22. Sugi K, Nakano S, Fukasawa Y, et al. Percutaneous coronary intervention for septic emboli in the left main trunk as a complication of infective endocarditis. Heart Lung Circ. 2015;24:e176-e179.
23. Rivera-Juárez A, Sarnago-Cebada F, Díez-Delhoyo F, Cuerpo G, Hortal J, Fernandez-Avilés F. Cardiogenic shock due to septic coronary embolism: treatment options for a rare entity. Clin Res Cardiol. 2017;106:660-662.
24. Di Salvo TG, Tatter SB, O’Gara PT, Nielsen GP, DeSanctis RW. Fatal intracerebral hemorrhage following thrombolytic therapy of embolic myocardial infarction in unsuspected infective endocarditis. Clin Cardiol. 1994;17:340-344.
25. Hunter AJ, Girard DE. Thrombolytics in infectious endocarditis associated myocardial infarction. J Emerg Med. 2001;21:401-406.
26. Overend L, Rose E. Uncertainties in managing myocardial infarction associated with infective endocarditis. Exp Clin Cardiol. 2012;17:144-145.
27. Perera R, Noack S, Dong W. Acute myocardial infarction due to septic coronary embolism. N Engl J Med. 2000;342:977-978.
28. Roxas CJ, Weekes AJ. Acute myocardial infarction caused by coronary embolism from infective endocarditis. J Emerg Med. 2011;40:509-514.
29. Buono A, Maloberti A, Bossi IM, et al. Mycotic coronary aneurysms. J Cardiovasc Med (Hagerstown). 2019;20:10-15.
30. Jolly SS, Cairns JA, Yusuf S, et al. Randomized trial of primary PCI with or without routine manual thrombectomy. N Engl J Med. 2015;372:1389-1398.
From the Aix-Marseille Université, Intensive Care Unit, Department of Cardiology, Assistance Publique-Hôpitaux de Marseille, Hôpital Nord; Mediterranean Association for Research and Studies in Cardiology (MARS Cardio); and the Centre for CardioVascular and Nutrition Research (C2VN), Marseille, France.
Disclosure: The authors have completed and returned the ICMJE Form for Disclosure of Potential Conflicts of Interest. The authors report no conflicts of interest regarding the content herein.
The authors report that patient consent was provided for publication of the images used herein.
Manuscript submitted January 24, 2019, provisional acceptance given February 11, 2019, final version accepted February 19, 2019.
Address for correspondence: Vassili Panagides, Hôpital Universitaire Nord, Chemin des Bourrely, 13015 Marseille France. Email: vassili.panagides@gmail.com


