Takayasu Arteritis: Use of Drug-Eluting Stent and Balloon to Treat Recurring Carotid Restenosis
ABSTRACT: Takayasu arteritis (TA) is an inflammatory disease affecting large and medium-sized arteries and causing occlusive, aneurysmal, or stenotic lesions. It is also known that with chronic course, the disease has a tendency to recur at either the same site or different. We report a patient with TA whose carotid stenosis was initially treated with bare metal stents but the patient suffered from recurring localized restenosis. Eventually, the patient was treated with (off-label) coronary drug-eluting stent and drug-eluting balloon with favorable long-term outcome. Therefore, we suggest that drug-eluting interventions might have a place in treatment of TA patients with recurring restenosis.
J INVASIVE CARDIOL 2012;24(9):E190-E192
Key words: Takayasu arteritis, restenosis, drug-eluting stent, drug-eluting balloon
___________________________________________________
Takayasu arteritis (TA) is a chronic inflammatory disease affecting the aorta and its major branches. Its exact cause is unknown and the triggers of altered immune response still remain speculative.1,2 The most frequently involved vessels are subclavian arteries, carotid arteries, descending thoracic or abdominal aorta, and renal arteries. The lesions can become stenotic, occlusive, or aneurysmal leading to the main complications including hypertension and target vessel ischemia.3 TA primarily affects young women of childbearing age and usually presents with absent radial pulse (hence pulseless disease) and signs of cerebral ischemia.
We present a case of a patient who was diagnosed with TA and treated with multiple percutaneous transluminal interventions in the left common carotid artery, including drug-eluting stent and balloon.
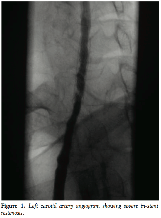
Case Report. A 58-year-old woman with a known TA was first referred to our institution in June 2007 because of signs of in-stent restenosis within the left common carotid artery stent.
Complete evaluation of the patient’s history revealed that she was diagnosed TA at the age of 51 while complaining of visual problems and dizziness in addition to the finding of pulseless left radial artery and bruit over the left carotid artery. Severe stenosis of the left common carotid artery was treated with percutaneous transluminal stent implantation (bare-metal stent), which led to long-term cessation of her symptoms. Since the stent implantation, clinical and ultrasound follow-up was performed twice yearly. Despite being asymptomatic, ultrasound studies showed gradual increase of in-stent velocities suggestive of disease progression. Therefore, the patient was referred for a complete evaluation.
At the time of first visit in our institution, the patient was on aspirin and low-dose corticosteroids. Her laboratory results were unremarkable (including CRP and erythrocyte sedimentation rate) as well as her physical examination except for pulseless left radial artery. Angiography showed calcification of the aorta without significant aortic disease and patent right innominate artery as well as its branches. The left common carotid artery was found to have severe eccentric in-stent restenosis (Figure 1). The left internal carotid artery examination was without significant abnormalities while left external carotid artery was occluded. The left subclavian artery was occluded distal to the otherwise normal left vertebral artery. The left axillary artery was fed through dense collaterals from the proximal subclavian artery. Finally, her renal and coronary arteries were without significant signs of disease. Carotid stenting was performed with 2 bare metal carotid stents (Xact, Abbott Vascular) implanted into the left common carotid artery and covering the in-stent restenosis with residual stenosis of less than 20%. Since that time, she has been regularly followed-up by our experienced carotid ultrasound specialist (PZ).
In December 2008, based on the ultrasound follow-up study in our institution, she was suspected to have significant in-stent restenosis in the distal part of the stented segment. Carotid angiography revealed severe restenosis in the distal Xact stent implanted in 2007 (Figure 2). The stent was well expanded and the stenosis was formed by progression of neointimal hyperplasia. According to this finding, a 4 mm x 28 mm drug-eluting coronary stent (Taxus, Boston Scientific) was deployed at the stenotic segment and post-dilated with a 5.5 mm balloon (Falcon Grande, Invatec) with residual narrowing of less than 10%.
Six months later, the patient was diagnosed with significant restenosis at a different location within the original Xact stent (Figure 3). The ultrasound finding was confirmed with carotid angiography. This time, the stenosis was within proximal Xact stent apart from the Taxus stent, which showed no signs of restenosis. The stenosis was formed partly by neointimal hyperplasia, but mainly by surrounding calcification externally compressing the stent. Dilation of the stenotic segment with a 5.5 mm x 20 mm drug-eluting balloon (Elutax, Aachen Resonance) was done with a residual stenosis of less than 20%. Since then, the patient has been followed-up for another 30 months without any signs of increase of the flow velocities.
Discussion. To date, there are only anecdotal notes concerning the use of drug-eluting stents or balloons in patients with TA, most commonly reporting interventions within coronary vasculature.4,5 To the best of our knowledge, a case of TA presenting with a severe left common carotid artery stenosis and treated with repeated interventions (including bare metal stents, drug-eluting stent, and drug-eluting balloon) has not yet been reported.
TA is an inflammatory disease of unknown origin that affects large and medium-sized arteries, usually the aorta and its large branches. Advanced lesions present as panarteritis with granulomatous changes in the media and adventitia followed by intimal hyperplasia, medial degeneration, and adventitial fibrosis.1,2,6 Worldwide incidence is estimated at 2.6 cases per million per year, primarily affecting women of childbearing age, most commonly in Southeast Asia and Indian continent.
Based on Ishikawa’s clinical criteria,7 the disease may present with mid-subclavian artery lesion causing stenosis or occlusion (hence pulseless disease), high erythrocyte sedimentation rate, carotid artery tenderness, hypertension, aortic regurgitation, pulmonary artery lesion, left mid-common carotid artery lesion, distal brachiocephalic trunk lesion, descending thoracic, or abdominal aorta lesion with signs of target vessel ischemia.
The lesions tend to be stenotic or occlusive, although aneurysms have also been described. The disease may involve a long segment of a vessel or be more localized. With chronic course, the disease has a tendency to recur at either the same site or different while there are usually extensive collaterals bypassing the stenosis.
The disease is treated medically with corticosteroids, antihypertensive drugs, and anti-platelet agents. For patients who do not achieve remission on corticosteroids, cytotoxic agents (such as cyclophosphamide, methotrexate, azathioprine, mycophenolate mofetil, or tacrolimus) present an option. Bypass surgery was usually performed on patients with critical target vessel ischemia. Although the issue of ideal timing of interventions in relation to disease activity has not been resolved, the procedures were preferably performed on patients without signs of active disease. However, graft re-occlusion, aneurysm of the anastomotic site, or recurrence of the disease at a new site make the operational treatment questionable.
In the last two decades, percutaneous transluminal interventions have become a treatment of choice for stenotic lesions. The major advantages of percutaneous treatment are safety, ease of performance, possibility of treatment of multiple lesions at the same time or in consecutive stages, and the ability to repeat the procedure. Regarding frequent suboptimal results and high rate of restenosis, stent placement is thought to be a better option in achieving larger luminal diameters and longer patency of treated vessel than simple balloon angioplasty. Nevertheless, it is known that with progression the disease tends to involve the media and adventitia of the vessel with possible progression to fibrosis and atherosclerotic changes, leading to external compression of the stent. On the other hand, the intimal hyperplasia may cause severe in-stent restenosis. Therefore, drug-eluting stents or balloons seem to be a better choice in prevention of severe intimal hyperplasia. To the best of our knowledge, no such intervention in a TA patient is yet described within carotid territory.
Our patient with TA first presented with severe carotid stenosis. While initially treated with bare-metal stents, she was suffering from recurring restenosis. Therefore, we preferred the use of a drug-eluting stent for the treatment of severe in-stent restenosis as well as a drug-eluting balloon for the treatment of stenosing external compression. Due to the absence of dedicated carotid drug-eluting stent we opted for the off-label use of 4 mm x 28 mm Taxus drug-eluting coronary stent and post-dilated it with oversized 5.5 mm balloon with inflation pressure up to 14 atm (estimated diameter of the stent post-dilated with 14 atm was 4.34 mm).
Conclusion
With regard to favorable long-term follow-up, we suggest that drug-eluting interventions might have its place in treating TA patients with recurring localized restenosis. However, a need of prolonged dual anti-platelet therapy must be kept in mind in order to decrease the risk of late thrombosis.
References
- Hotchi M. Pathological studies on Takayasu arteritis. Heart Vessels Suppl. 1992;7:11-17.
- Chugh KS, Sakhuja V. Takayasu’s arteritis as a cause of renovascular hypertension in Asian countries. Am J Nephrol. 1992;12(1-2):1-8.
- Matsumura K, Hirano T, Takeda K, et al. Incidence of aneurysms in Takayasu’s arteritis. Angiology. 1991;42(4):308-315.
- Lee K, Kang WC, Ahn T, et al. Long-term outcome of drug-eluting stent for coronary artery stenosis in Takayasu’s arteritis. Int J Cardiol. 2010;145(3):532-535.
- Kang WC, Han SH, Oh KJ, Ahn TH, Shin EK. Image in cardiovascular medicine. Implantation of a drug-eluting stent for the coronary artery stenosis of Takayasu arteritis: de novo and in-stent restenosis. Circulation. 2006;113(17):e735-e737.
- Bali HK, Jain AK. Takayasu’s arteritis: current status of angioplasty and stenting. Asian Cardiovasc Thorac Ann. 1999;7:339-344.
- Ishikawa K. Diagnostic approach and proposed criteria for the clinical diagnosis of Takayasu’s arteriopathy. J Am Coll Cardiol. 1988;12(4):964-972.
___________________________________________________
From the Department of Cardiology – CardioVascular Center, University Hospital Motol, 2nd Medical School, Charles University, Prague, Czech Republic.
Disclosure: The authors have completed and returned the ICMJE Form for Disclosure of Potential Conflicts of Interest. The authors report no conflicts of interest regarding the content herein.
Manuscript submitted February 27, 2012, provisional acceptance given March 23, 2012, final version accepted April 3, 2012.
Address for correspondence: Prof Josef Veselka, CSc., FESC, FSCAI, FICA, Department of Cardiology – CardioVascular Center, Motol University Hospital, 2nd Medical School, Charles University, V Uvalu 84, 150 06, Prague 5, Czech Republic. Email: veselka.josef@seznam.cz


