Sinus Tachycardia as a First Sign of Aortic Dissection
ABSTRACT: Aortic dissection is an uncommon and often life-threatening condition. It usually presents with classic symptoms, such as severe tearing chest pain radiating to the back associated with acute hemodynamic compromise. Painless aortic dissection is often an under-recognized entity. Its incidence is low, but represents an important clinical dilemma that requires physician vigilance and awareness to diagnose and quickly treat patients to decrease the mortality rate. We present the case of a patient with prostate cancer on chemotherapy, who was referred to the emergency room from the oncology clinic because he was found to be tachycardiac without any other major complaints on routine clinical visit. Electrocardiogram showed sinus tachycardia. Computed tomography was performed to rule out pulmonary embolus, and revealed acute aortic rupture into the pericardial space and manifesting as pericardial tamponade.
J INVASIVE CARDIOL 2011;23:E168–E169
________________________________________
Aortic dissection is usually suspected clinically based on history and physical examination. Patients usually present with anterior chest or back pain depending on the location of the dissection. However, some patient present differently, with myocardial infarction, heart failure symptoms, or new stroke. We describe a case of painless aortic dissection in a patient who presented with sinus tachycardia and was incidentally found to have aortic dissection on computed tomography.
Case Report. A 60-year-old African-American male with past medical history of hypertension and prostate cancer with multiple metastases to the spine, skull and pelvis was referred from the medical oncology clinic to our hospital for hormonal therapy. In the emergency room, the patient’s heart rate was 130–140 s; the patient was therefore kept in the emergency room while he had tachycardia. Upon interviewing, the patient looked comfortable and had no distress. He denied any chest pain, dizziness, syncope or loss of consciousness. On further questioning, he admitted to mild shortness of breath that was clearly exercise-related. He denied any orthopnea, paroxysmal nocturnal dyspnea, or palpitations. The patient also referred to chronic back pain for the past few months that prompted him to seek medical attention; he was seen in an outside hospital, where investigations led to the diagnosis of multiple metastases due to prostate adenocarcinoma. He denied smoking, alcohol drinking, and illicit drugs.
On physical examination, the vital signs showed blood pressure of 115/60 mmHg, tachycardia with heart rate of 140 s, temperature of 98.3 °F, respiratory rate of 23/minute, and saturation of 97% on 2 L nasal cannula. He was alert and oriented without apparent distress. Neck exam was remarkable for engorged external and internal jugular veins; heart sounds were distant, without murmurs; lungs were clear; abdomen was soft, non-distended, and mildly tender at the epigastric area without rebound or guarding; lower extremity exam showed +2 edema up to the knees. Electrocardiogram was performed and showed sinus tachycardia with heart rate of 140 s.
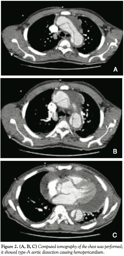
Laboratory work-up showed white cell counts of 7,800 cells/ml with normal differentials, platelets of 234,000/ml and hemoglobin of 9.4 mg/dl. Basic metabolic panel was unremarkable. Chest x-ray was done and showed enlarged heart size with obscured left lower lobe with superimposed density effusion (Figure 1). Computed tomography of the chest was performed and showed type-A aortic dissection causing hemopericardium (Figure 2). The cardiothoracic surgery team was consulted and the patient was immediately taken for emergency operation. The patient underwent surgery and experienced a successful outcome.
Discussion. Aortic dissection is a relatively uncommon and often life-threatening condition. The classic presenting symptoms include severe chest pain radiating to the back and acute hemodynamic compromise.1 The pain could be severe, sharp, or tearing chest or back pain depending on the site of the dissection. Sometimes, it can manifest with other signs or symptoms, such as myocardial infarction, stroke,7 heart failure,8 or syncope.2–6
The pathophysiology of the aortic dissection is tearing in the aortic intima, cystic medial necrosis, or degeneration of the aortic media.3,4 Painless dissection has been reported before, but it’s relatively uncommon. A large study by the Mayo Clinic (the IRAD review) found that painless dissection accounts for 6.4% (63 out of 977 total patients). Compared to painful acute aortic dissection (AAD), patients who have painless AAD have higher mortality, especially when AAD was type-B.5
Two different systems — Debakey and Stanford — are used to classify aortic dissection.9,10 The Stanford system is more widely used, and it classifies dissections that involve the ascending aorta as type-A, and dissections of the descending aorta as type-B. The diagnosis of AAD can be made based on history and physical exam; however, it is not always the case, especially with unusual presentations as in this case. Most of the time, imaging will be indicated, starting with a chest x-ray which might show widening of the aorta especially in the case of an ascending aortic dissection.1 Other modalities include computed tomography scan, magnetic resonance imaging, transthoracic, and transesophageal echocardiogram.
The management of aortic dissection slightly differs based on the type of dissection. Patients with uncomplicated aortic dissections (Stanford type-B or Debakey type-III) can be treated with medical therapy;11,12 surgical intervention is usually preserved for patients who have a complicated course, such as aortic rupture, involvement of major aortic branches, or patients with Marfan’s syndrome.13 On the other hand, the treatment for ascending aortic dissection (Stanford type-A) is usually surgical intervention, because these patients are at high risk for life-threatening complications, such as acute aortic valve regurgitation or cardiac tamponade. It is considered a class-I indication because of the mortality rate, which can reach 1–2% for each hour after the symptoms begin.3
In the present case, the patient denied any chest pain or back pain except for the chronic back pain that had been there for many months and had been attributed to the spine metastasis. The few pearls that led to the diagnosis were new unexplained tachycardia, shortness of breath, and physical exam findings, which included engorged neck veins, distant heart sounds, and new peripheral edema.
In conclusion, aortic dissection can be painless and present unusually. Physicians must correlate between history, physical exam, and radiological findings. Therefore, the diagnosis can be made early and the appropriate interventions can be planned ahead.
References
- Hagan PG, Nienaber CA, Isselbacher EM, et al. The International Registry of Acute Aortic Dissection (IRAD): New insights into an old disease. JAMA 2000;283:897–903.
- Spittell PC, Spittell JA Jr., Joyce JW, et al. Clinical features and differential diagnosis of aortic dissection: Experience with 236 cases (1980 through 1990). Mayo Clin Proc 1993;68:642–651.
- Nienaber CA, Eagle KA. Aortic dissection: New frontiers in diagnosis and management. Part I: From etiology to diagnostic strategies. Circulation 2003;108:628–635.
- Larson EW, Edwards WD. Risk factors for aortic dissection: A necropsy study of 161 cases. Am J Cardiol 1984;53:849–855.
- Park SW, Hutchison S, Mehta RH, et al. Association of painless acute aortic dissection with increased mortality. Mayo Clin Proc 2004;79:1252–1257.
- Scaglione M, Salvolini L, Casciani E, et al. The many faces of aortic dissections: Beware of unusual presentations. Eur J Radiol 2008;65:359–364.
- Morita S, Shibata M, Nakagawa Y, et al. Painless acute aortic dissection with a left hemiparesis: A case report. J Stroke Cerebrovasc Dis 2005;14:36–38.
- Liu JF, Ge QM, Chen M, et al. Painless type-B aortic dissection presenting as acute congestive heart failure. Am J Emerg Med 2010;28:646.E5–E7. Epub 2010 Mar 25.
- DeBakey ME, Henly WS, Cooley DA, et al. Surgical management of dissecting aneurysms of the aorta. J Thorac Cardiovasc Surg 1965;49:130–149.
- Tsai TT, Nienaber CA, Eagle KA. Acute aortic syndromes. Circulation 2005;112:3802–3813.
- Erbel R, Alfonso F, Boileau C, et al. Diagnosis and management of aortic dissection. Eur Heart J 2001;22:1642–1681.
- Crawford ES. The diagnosis and management of aortic dissection. JAMA 1990;264:2537–2541.
- DeSanctis RW, Doroghazi RM, Austen WG, Buckley MJ. Aortic dissection. N Engl J Med 1987;317:1060–1067.
________________________________________
From the Department of Internal Medicine, John Stroger Hospital of Cook County, Chicago, Illinois.
The authors report no conflicts of interest regarding the content herein.
Manuscript submitted November 1, 2010, provisional acceptance given November 9, 2010, final version accepted November 11, 2010.
Address for correspondence: Mohammad Alhaji , MD, Department of Internal Medicine, John Stroger Hospital of Cook County, 1900 W. Polk St., Chicago, IL, 60612. Email: mohammadalhaji@gmail.com


