Single Coronary Artery Anomaly: Branching of Left Coronary Artery from Right Coronary Artery with 2 Distinct Patterns
ABSTRACT: Normal coronary vasculature has a left coronary artery arising from the left coronary cusp and a right coronary artery arising from the right coronary cusp. In about 0.024% of cases in the general population, there is no left main coronary artery. In fact, there is a single coronary artery, which arises from the right coronary cusp.
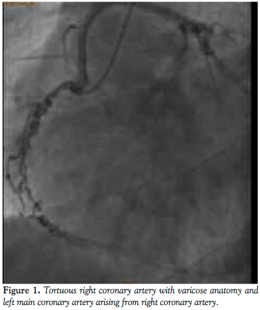
We encountered 2 such cases with distinct patterns. The first case was a patient with angina who had an abnormal stress test for which he underwent coronary angiography. This revealed a single coronary artery arising from the right coronary cusp. This vessel gave rise to the right coronary artery, which had a varicose anatomy, with a critical lesion in the posterior descending artery. The left coronary artery passed anteriorly to the pulmonary artery with a critical lesion in the circumflex artery.
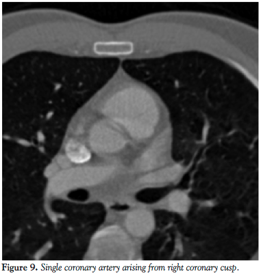
In the second case, the patient also had angina with a normal noninvasive work-up but due to his persistent symptoms, coronary angiography was performed. This revealed a single coronary artery arising from the right coronary cusp. Subsequent CT angiography revealed that the left coronary artery coursed in between the aorta and pulmonary artery without critical lesions.
In both cases, the patients underwent coronary artery bypass grafting.
J INVASIVE CARDIOL 2012;24(4):E67-E71
____________________________________________________
Background. Malformation during the formation of cardiac sinusoids, coronary budding on aortopulmonary trunk, and connection between the 2 systems may lead to development of coronary artery anomalies. We present 2 cases that illustrate a very rare phenomenon of isolated congenital coronary anomaly with the left coronary artery arising from a branch from the right coronary artery (RCA) without associated organ system malformations. Given the rarity of this anomaly it is not encountered by many cardiologists and as such its complications are not universally anticipated. We bring forth these cases in an attempt to highlight their significance. This anomaly is considered to be an independent risk factor for adverse cardiovascular events including sudden cardiac death and dealing with their lesions is a challenge to cardiologists.
Case report 1. A 42-year-old African American male with a history of angina, arteriosclerotic heart disease, dilated cardiomyopathy, hypertension, hyperlipidemia, diabetes mellitus, and cerebrovascular accident presented with symptoms of intermittent typical chest pain. His physical examination was unrevealing. Cardiolite stress test revealed moderate to large area of reversible anteroapical and inferoapical ischemia. 2-D echocardiogram revealed an ejection fraction 40%-45% with global hypokinesia and no valvular heart disease.
He was admitted for elective cardiac catheterization. Cineangiographic evaluation revealed a single vessel coronary artery arising from the right coronary cusp supplying the entire left system and also the right coronary artery. The right coronary artery was abnormal with significant tortuosity in the proximal and mid segments more consistent with varicose anatomy. Distally the RCA was normal. It gave rise to a posterior descending artery, which had an ostial 60% stenosis. The posterior lateral branch was a small caliber vessel and was normal. The left anterior descending artery (LAD) was a moderate caliber vessel and had no obstructive disease. The first diagonal branch divided into bifurcating branches of which the lower branch had a 70% stenosis. The circumflex artery was a very large caliber vessel that had a proximal 90%-95% stenosis. Left to right collaterals were noted.
The left ventriculogram was performed in the right anterior oblique projection, which revealed an ejection fraction of 40% with global hypokinesia and 1+ mitral regurgitation. Impression of congenital abnormality of the coronary anatomy with a single coronary artery supplying the entire myocardium arising from the right coronary cusp with significant triple vessel disease was made along with moderate left ventricular dysfunction. Cardiothoracic surgery was consulted for possible bypass surgery.
CT angiography showed that coronary artery calcium score was 966. All vessels originated in the common origin at the right coronary cusp. The left main was long and normal as it coursed anteriorly to the pulmonary artery before bifurcating. The LAD had diffuse scattered calcifications in the proximal portion, but no critical lesions. The circumflex had diffuse severe calcifications proximally. There was a proximal 90% stenosis, which was mixed plaque. The RCA was dominant. The midportion of the vessel had a corkscrew configuration. Proximal to this was 50% stenosis of soft plaque.
Patient underwent coronary artery bypass graft (CABG) with saphenous grafts to the obtuse marginal and posterior descending artery; the LAD was too small for grafting. During the operation it was noted that a large left coronary artery arose from the RCA and traversed over the pulmonary artery with a small LAD and diagonal branch. The postoperative period was uncomplicated.
Case report 2. A 46-year-old male had a history of hyperlipidemia, diabetes mellitus, mitral regurgitation, hypertension, and chest pains. His physical examination was unrevealing. Cardiolite stress test revealed apical scar and 2-D echocardiogram revealed an ejection fraction 55% with mild mitral regurgitation. A cardiac catheterization was performed due to persistent chest pains and revealed an anomalous coronary artery where the entire left coronary artery and RCA arose from one origin at the right coronary cusp. No obstructive lesions were noted.
A subsequent CT angiography was obtained to delineate the course of this vessel. A 64-slice CT scan revealed that the left coronary artery coursed in between the aorta and pulmonary artery. In view of his ongoing chest pains, with a high risk of myocardial infarctions (MI), fatal arrhythmias, and sudden death, CABG was recommended.
CABG was performed utilizing the left internal mammary artery bypass to the LAD, and saphenous vein graft to the obtuse marginal branch. The postoperative course was uncomplicated.
Discussion. Isolated coronary artery anomalies are a very rare entity. They imply coronary artery malformations in the absence of any disruptions in the development of other organ systems during embryogenesis. By definition, these abnormalities occur in less than 1% of the general population.1 Their occurrence is estimated to be 0.3%-1.3% of the patients undergoing angiography.2 The incidence of a single coronary artery supplying the whole myocardium would therefore be much rarer, estimated to be around 0.024% in general population.3
We described 2 cases of a single coronary anomaly with 2 distinct anatomical patterns. One case had a single coronary artery arising from the right coronary cusp giving off the left main coronary artery, which passed anteriorly to the pulmonary artery and branched into the LAD and circumflex artery. In the other case, the left main coronary artery arose from the right coronary cusp and passed in between the aorta and pulmonary arteries.
In the first case the branching of the left main coronary circuit from the single coronary artery arising from the right coronary cusp illustrates the type IIB1 distribution of coronary arteries.5 The diagnosis was made with coronary angiography and subsequent CT angiography. In this anatomy, the risk of MI, fatal arrhythmias, syncope, and sudden death is no greater than the normal population. In this particular case, the patient required CABG not due to his coronary anomaly but because he had significant coronary artery disease not amenable to a catheter-based intervention. In most instances, this type of coronary anomaly is only diagnosed incidentally when coronary artery angiography is performed. Most of the time, patients have no significant cardiac events related to these types of anomalies.
The second case illustrates the left main coronary artery arising from the RCA and passing in between the aorta and main pulmonary trunk. This anatomy corresponds to the IIB2 classification of the isolated coronary artery anomalies.5 In this case, the risk of MI, fatal arrhythmias, syncope, and sudden death is significantly increased and it is postulated that this may occur as a result of an expansive effect of the aorta during exercise. This leads to the compression of the left coronary artery, which results in chest pains, angina, arrhythmias, and even sudden death. Our patient was found to have had a negative noninvasive work-up for coronary artery disease but in spite of this, had persistent recurrent chest pains for which coronary artery angiography was recommended.
The classification system used above is taken from “Solitary coronary ostium in the aorta in the absence of other major congenital cardiovascular anomalies” in the Journal of American College of Cardiology by Shirani and Roberts. This system is illustrated in figure 1 and described in table 4 of that article.5
Sudden death in patients with coronary anomalies may be due to coronary spasm, typically of a proximal trunk, in the absence of collateral flow, with secondary collapse and/or ventricular fibrillation.10 A single coronary artery provides a unique challenge to cardiologists when dealing with critical lesions of coronary vasculature, which would otherwise have been easily amenable to angioplasty. Presence of coronary artery anomalies create challenges during coronary angiography, percutaneous coronary interventions, and coronary artery surgery.6-9
References
- Angelini P. Normal and anomalous coronary arteries: definitions and classification. Am Heart J. 1989;117(2):418-434.
- Yamanaka O, Hobbs RE. Coronary artery anomalies in 126,595 patients undergoing coronary arteriography. Cathet Cardiovasc Diagn. 1990;21(1):28-40.
- Desmet W, Vanhaecke J, Vrolix M, et al. Isolated single coronary artery: a review of 50,000 consecutive coronary angiographies. Eur Heart J. 1992;13(12):1637-1640.
- Ogden JA, Goodyear AV. Patterns of distribution of the single coronary artery. Yale J Biol Med. 1970;43(1):11-21.
- Shirani J, Roberts WC. Solitary coronary ostium in the aorta in the absence of other major congenital cardiovascular anomalies. J Am Coll Cardiol. 1993;21(1):137-143.
- Lipton MJ, Barry WH, Obrez I, Silverman JF, Wexler L. Isolated single coronary artery: diagnosis, angiographic classification, and clinical significance. Radiology. 1979;130(1):39-47.
- Angelini P. Coronary artery anomalies--current clinical issues: definitions, classification, incidence, clinical relevance, and treatment guidelines. Tex Heart Inst J. 2002;29(4):271-278.
- Basso C, Maron BJ, Corrado D, Thiene G. Clinical profile of congenital coronary artery anomalies with origin from the wrong aortic sinus leading to sudden death in young competitive athletes. J Am Coll Cardiol. 2000;35(6):1493-1501.
- Becker AE. Congenital coronary arterial anomalies of clinical relevance. Coron Artery Dis. 1995;6(3):187-193.
- Cieslinski G, Rapprich B, Kober G. Coronary anomalies: incidence and importance. Clin Cardiol. 1993;16(10):711-715.
- Angelini P, Velasco JA, Flamm S. Coronary anomalies: incidence, pathophysiology, and clinical relevance. Circulation. 2002;105(20):2449-2454.
- Diez JD, Angelini P, Lee VV. Does the anomalous congenital origin of a coronary artery predispose to the development of stenotic atherosclerotic lesions in its proximal segment? Circulation. 1997;96(Suppl):1-154.
____________________________________________________
From 1St. Francis Medical Center, Trenton, New Jersey, 2Hamilton Cardiology Associates, Hamilton Township, New Jersey, and 3Robert Wood Johnson University Hospital at Hamilton, Hamilton, New Jersey.
Disclosure: The authors have completed and returned the ICMJE Form for Disclosure of Potential Conflicts of Interest. The authors report no conflicts of interest regarding the content herein.
Manuscript submitted July 19, 2011, 2011, provisional acceptance given August 15, 2011, final version accepted December 20, 2011.
Address for correspondence: Saad Tariq, MD, 210 Nottinghill Lane, Hamilton, NJ, 08619. Email: tariqsaad_83@hotmail.com


