Quadricuspid Aortic Valve Stenosis: Expanding Our Experience in Transcatheter Aortic Valve Implantation
J INVASIVE CARDIOL 2018;30(3):E27.
Key words: transcatheter aortic valve implantation, cardiac imaging
An 82-year-old woman with a history of coronary artery disease, hypertension, and peripheral arterial disease was referred for progressive dyspnea. Her transthoracic echocardiography (TTE) revealed severe aortic valve (AV) stenosis (peak velocity, 4.7 m/s; mean gradient, 49 mm Hg; AV area, 0.6 cm2), moderate aortic regurgitation, and moderate mitral stenosis. AV leaflet morphology was not well visualized on initial TTE.
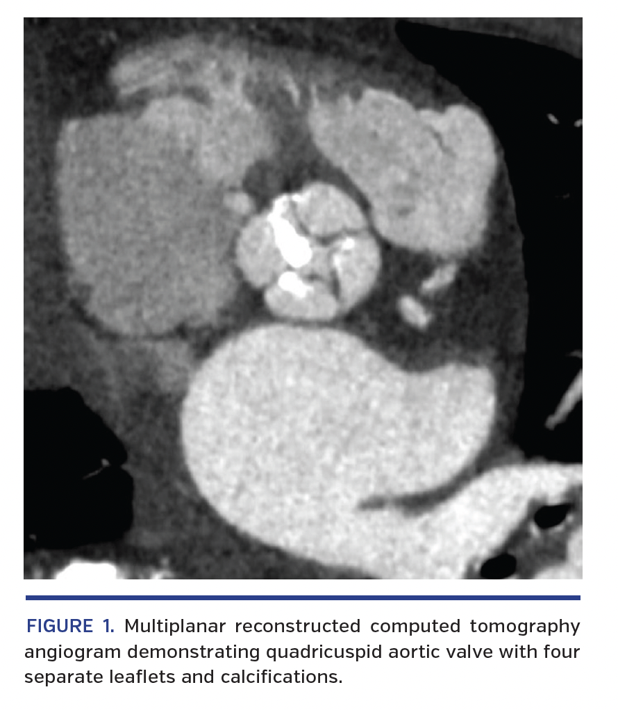
A heart team evaluation recommended minimalist approach transfemoral transcatheter aortic valve implantation (MA-TF TAVI). Preprocedural computed tomography angiography revealed a quadricuspid aortic valve (QAV) with four separate leaflets (Figure 1).

The patient underwent successful implantation of a 23 mm Edwards Sapien 3 transcatheter valve (Edwards Lifesciences) via transfemoral access. Balloon valvuloplasty preceded valve deployment. Valve positioning across the aortic annulus was fluoroscopically challenging due to difficulty visualizing all four cusps. Therefore, transesophageal echocardiography (TEE) guidance was combined with fluoroscopy to appropriately position the valve (Videos 1-3). Intraprocedural TEE confirmed QAV morphology (Video 4).
No complications occurred post implantation and the postprocedure TTE confirmed a well-seated, normally functioning prosthesis without significant paravalvular regurgitation (Video 5). The patient was discharged home 72 hours post procedure.
QAV is a rare congenital defect with estimated frequency of <0.05%.1 Aortic regurgitation is usually the predominant hemodynamic abnormality, whereas aortic stenosis is less common. There are few cases reporting successful TAVI for stenotic QAV. To our knowledge, this is the first documented case of successful TAVI for severe QAV stenosis performed in the United States and the first documented case of implanting the Sapien 3 valve in a severely stenotic QAV.
In QAV, visualizing all four cusps to appropriately position the transcatheter valve can be challenging; multimodality imaging with TEE to guide valve positioning may be required. TEE remains an important modality in the new era of MA-TF TAVI for managing anatomically challenging cases like QAV.
Watch the associated Video Series here.
Reference
1. Tsang M, Abudiab M, Ammash N, et al. Quadricuspid aortic valve: characteristics, associated structural cardiovascular abnormalities, and clinical outcomes. Circulation. 2016;133:312-319.
From the Division of Cardiology, University of Illinois College of Medicine at Peoria/OSF Saint Francis Medical Center, Peoria, Illinois.
Disclosure: The authors have completed and returned the ICMJE Form for Disclosure of Potential Conflicts of Interest. Dr Mungee reports speakers bureau income from Edwards Lifesciences. The remaining authors report no conflicts of interest regarding the content herein.
Manuscript accepted June 26, 2017.
Address for correspondence: Majd Ibrahim, MD, OSF Saint Francis Medical Center, 530 NE Glen Oak Ave, Peoria, IL 61637. Email: ibrahim_majd@yahoo.com


