Pharmacomechanic Approach for Restoration of Flow in Occluded Ectatic Right Coronary Artery with Huge Thrombus Burden
ABSTRACT: Advancements in both pharmacological and mechanical approaches have taken place to deal with thrombus-containing lesions in the coronary tree. We describe a case wherein a totally occluded large ectatic right coronary artery with a large thrombus burden was successfully revascularized by a combined pharmacological-mechanical approach, resulting in complete disappearance of the thrombi without distal embolization.
J INVASIVE CARDIOL 2011;23:E205–E207
___________________________________
Percutaneous coronary intervention (PCI) of a thrombus-containing lesion carries a high risk of complications like abrupt closure, slow/no reflow, late reocclusion, periprocedural myocardial infarction, emergent coronary artery bypass graft surgery, and death.1,2
At present, different therapeutic strategies available for reducing thrombus burden in the coronary tree include dissolution of the thrombus by drugs (thrombolytic agents, glycoprotein IIb/IIIa inhibitors), ultrasonic energy,3 or mechanical removal of the thrombus using various thrombectomy devices (Angiojet, Percusurge, etc.).4
We describe a case wherein both pharmacological and unusual mechanical approach were successfully used to completely free a totally occluded ectatic right coronary artery (RCA) of its huge thrombus burden and establish TIMI-3 flow with good myocardial blush.
Case Report. A forty-year-old, male, chronic smoker, non-hypertensive, and non-diabetic patient presented to us with Canadian Cardiological Society class III angina of 1-month duration following an acute inferior wall myocardial infarction (MI) for which he was not thrombolyzed (having presented beyond the window period). Echocardiogram showed severe hypokinesia of the inferior wall with normal contractility of all the other myocardial segments and a global left ventricular ejection fraction of 50%. The patient was taken up electively for coronary angiogram and possible myocardial revascularization. Prior to angiogram, the patient was given a loading dose of clopidogrel and aspirin. Angiogram of the left system revealed an ectatic left anterior descending artery (LAD) with TIMI-3 flow, a normal left circumflex artery (LCX) and retrograde filling of the posterior descending artery (PDA) and posterior left ventricular (PLV) branches of the RCA from the left system. Angiogram of the right system showed total occlusion of the proximal RCA (Figure 1). After giving a bolus of abciximab (0.25 mg/kg body weight bolus
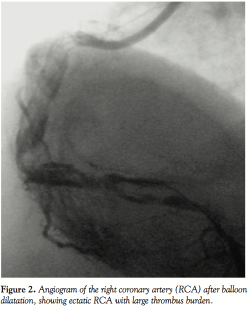
followed by infusion of 0.125 µg/min for 12 hours), the patient underwent percutaneous transluminal coronary angioplasty (PTCA) of the RCA. The RCA was engaged with a 7 Fr Judkins right guiding catheter (Boston Scientific, Natick, Massachusetts) and the lesion was profiled in various views. The lesion was crossed with a Balance Middle Weight (BMW) Universal™ guidewire (Guidant Corporation, Temecula California) and dilated with a 2.5 x 10 mm Amadeus balloon (Eurocor, Bonn, Germany). Postdilatation injection revealed a large ectatic RCA loaded with thrombus extending from the ostium to the distal vessel with no significant stenosis (except for nonvisualization of the PLV) and TIMI-1 flow (Figure 2). In view of the large thrombus burden, an X-sizer thrombectomy/thrombosuction device (Model No. XS-CS 1200-60; EndiCOR Medical Inc., San Clemente, California) with a cutting diameter of 2.0 mm was passed up to the distal RCA and thrombosuction was done from distal to proximal RCA. Post-thrombosuction angiogram, however, revealed no appreciable change in the thrombus burden. Therefore, a 3 Fr Tracker perfusion catheter with side holes (Target Therapeutics, Fremont, California) was passed over the guidewire up to the distal RCA, over which a 7 Fr right coronary guiding catheter was
maneuvered up to the distal RCA (Figure 3). Manual suction of thrombus was then tried by attaching it to an airtight, 20 ml luer-lock syringe and gradually withdrawing it from the distal to proximal RCA. Maintaining negative suction, the guiding catheter was slowly withdrawn from the RCA and the femoral sheath. Flushing the guiding catheter outside revealed small pieces of thrombi. Angiogram following this maneuver showed appreciable reduction of the thrombus burden in the proximal RCA, but the distal RCA was still loaded with thrombus (Figure 4). The same maneuver of advancing the guiding catheter over a guidewire and Tracker catheter into the distal RCA and aspiration of thrombus was repeated. However, external flushing of the guiding catheter did not reveal any thrombi and repeat angiogram was identical to that obtained after the first aspiration. As TIMI-2 flow was achieved, we thought of tackling the residual thrombus by pharmacological means. Infusion of abciximab was continued for 12 hours. Infusion of unfractionated heparin (1,000 U/hour) was continued for 24 hours. The patient was kept under invasive hemodynamic monitoring in the coronary care unit. A check angiogram at the end of 24 hours revealed TIMI-3 flow with marked reduction of the thrombus burden in the proximal RCA and persistent large thrombus in the distal portion (Figure 5).
As there was normal antegrade flow with a residual thrombus burden in the ectatic distal RCA, the patient was put on oral anticoagulants maintaining an INR of around 2.5 (to prevent further thrombus formation), which was overlapped with intravenous heparin infusion (keeping the activated partial thromboplastin time > 50 seconds) with the hope that the endogenous fibrinolytic system would eventually dissolve the residual thrombus. The patient was kept under close clinical follow up. Though the patient was clinically asymptomatic, an angiogram at the end of the 9 months revealed the ectatic RCA with TIMI-3 flow and no evidence of thrombus (Figure 6).
Discussion. Treatment strategies that have been used to treat thrombus in native coronary arteries and vein grafts have included chemical agents (thrombolytic, anticoagulant, and antiplatelet agents), ultrasound frequency,3 and mechanical devices (transmural extraction atherectomy, rheolytic thrombectomy).4
In the present case, we had two different anatomical factors that complicated the situation. First, the RCA was diffusely ectatic. Second, the thrombus burden was huge, extending from proximal to distal. To date, no definite data are available concerning the optimal strategy to be adopted when the thrombus burden is so large. In such conditions, because of the risk of no reflow associated with PTCA, antithrombotic medical modalities have a significant adjunctive role to PTCA.5 In this case, since the artery was totally occluded and the patient was having CCS class III angina, we decided to open up the artery by balloon angioplasty. Following angioplasty with a 2.5 mm balloon, angiogram revealed a large ectatic RCA with TIMI-1 flow and a large thrombus burden; therefore, we thought of reducing the thrombus burden mechanically. As the X-sizer device was not successful in debulking, aspiration of the thrombus by a 7 Fr guiding catheter was contemplated. Though guiding catheter aspiration of thrombus from native coronary arteries and venous grafts has previously been reported,6–8 the technique involves the risk of inducing dissection and systemic thrombo embolism. To minimize this risk, we adopted a novel strategy of passing the catheter over a 3 Fr Tracker catheter. Deep intubation of the guiding catheter over wire alone is often difficult. Even this required careful manipulation of the guiding catheter over the wire and the tracker catheter. Though only a portion of thrombus could be removed mechanically, stopping further debulking judiciously once TIMI-2 flow was achieved, switching over to pharmacological means (infusion of abciximab for 12 hours and heparin for 24 hours) for further reduction of the thrombus burden led TIMI-3 flow.
In the presence of suitable anatomy and a large thrombus burden, an approach of cautious aggression involving the use of an appropriate mechanical device or rarely guide catheter (in presence of ectatic vessel with huge thrombus burden), followed by rational use of pharmacological therapy (glycoprotein IIb/IIIa inhibitors and anticoagulants) led to the successful endovascular management of a totally occluded, unusually ectatic RCA with a large thrombus burden. Use of guide catheter suction is definitely not a standard way of managing thrombus in the artery, but may be the only option in the presence of such a huge thrombus load. This technique may be kept in mind when thrombosuction with the use of currently available devices is ineffective.
References
- White CJ, Ramee SR, Collins TJ, et al. Coronary thrombi increase PTCA risk. Angioscopy as a clinical tool. Circulation 1996;93:253–258.
- Waxman S, Sassower MA, Mittleman MA, et al. Angioscopic predictors of early adverse outcome after coronary angioplasty in patients with unstable angina and non-Q myocardial infarction. Circulaltion 1996;93:2106–2113.
- Rosenhschein U, Gaul G, Erbel R, et al. Percutaneous transluminal therapy of occluded saphenous vein grafts: Can the challenge be met with ultrasound thrombolysis? Circulation 1999;99:26–29.
- Kuntz RE, Baim DS, Cohen DJ, et al., for the VeGAS-2 Investigators. A trial comparing rheolytic thrombectomy with intracoronary urokinase for coronary and vein graft thrombus. The Vein Graft Anjiojet Study (VeGAS-2). Am J Cardiol 2002;89:326–330.
- Burzotta F, Hamon M, Sabatier R, et al. Large intracoronary thrombi with good TIMI flow during myocardial infarction: Four cases of successful aggressive medical management in patients without angiographically detectable coronary atherosclerosis. Heart 2002;88:E6.
- Moscucci M, Punamiya K, Ricciardi MJ. Guiding catheter thrombectomy during percutaneous coronary interventions for acute coronary syndromes. Catheter Cardiovasc Interv 2000;49:192–196.
- Feldman RC. Transcatheter aspiration of a thrombus in an aortocoronary saphenous vein graft. Am J Cardiol 1987;60:379–380.
- Denardo SJ, Morris NB, Rocha Sinbh KJ, et al. Safety and efficacy of extended urokinase infusion plus stent deployment for treatment of obstructed, older saphenous vein grafts. Am J Cardiol 1995;76:776–780.
Editor’s Comments: This case illustrates the drug and device synergy in treatment of large thrombus burden; particularly use of long-term anticoagulants and aspiration catheter. Guide catheter suction for thrombus removal (as done in this case) is not recommended because of concerns of dissection and thrombo-embolization. – Samin K. Sharma, MD, Mount Sinai Medical Center, New York, New York.
___________________________________
From the Department of Cardiology, G.B. Pant Hospital and Associated Maulana Azad Medical College, New Delhi, India.
The authors report no conflicts of interest regarding the content herein.
Manuscript submitted January 4, 2011 and accepted January 10, 2011.
Address for correspondence: Dr. Mohit D. Gupta, MD DM, Assistant Professor of Cardiology, Room 125, Academic Block, First Floor Dept of Cardiology, G.B. Pant Hospital, New Delhi-110002, India. Email: drmohitgupta@yahoo.com


