Peri-Aortic Hematoma Complicated With Aortic Regurgitation Following Transcatheter Aortic Valve Implantation: Description of a Novel Mechanism of Paravalvular Leak
Abstract: The recent development of transcatheter aortic valve implantation (TAVI) for patients with severe aortic stenosis (AS) offers a feasible option for high-risk surgical patients. However, several complications are specifically related to this technique. The present case describes a novel complication associated with TAVI, a severe paravalvular leak related to “stretch-induced” peri-aortic hematoma. The possible mechanisms of this complication, as well as its potential solutions, are discussed.
J INVASIVE CARDIOL 2012;24(9):463-464
Key words: transcatheter aortic valve implantation, aortic hematoma, paravalvular aortic regurgitation
__________________________________________________
Transcatheter aortic valve implantation (TAVI) has recently developed as the best therapy for inoperable patients with severe aortic stenosis (AS) and as an alternative to surgical aortic valve replacement (AVR) in high-risk patients.1 However, TAVI is an emerging technique, with possible and unexpected complications still coming up and different to those encountered in conventional AVR. The Edwards SAPIEN and SAPIEN XT valves are crimped in a balloon to stretch the stent prosthesis against the aortic annulus, with the potential to damage the aortic wall in cases of over-sizing. However, in case of under-sizing or, more likely, in the presence of severely calcified native leaflets, an incomplete sealing of the paravalvular space may occur, leading to paravalvular aortic regurgitation (PAR). We report a new mechanism of PAR secondary to the development, and subsequent reabsorption, of an intraprocedural peri-aortic hematoma. We discuss the mechanisms and implications of this unreported complication.
Case Report
A 90-year-old woman with a first episode of heart failure and severe AS was admitted to our center. She had a history of hypertension, dyslipidemia, and severe AS diagnosed 12 months prior to hospitalization. Transthoracic echocardiography (TTE) showed a mild left ventricular dysfunction (48%) and severe AS with a maximal/mean transaortic gradient of 119/69 mm Hg, corresponding to a calculated aortic valve area of 0.68 cm2 (0.39 cm2/m2). Annulus size was 19 mm and no other valvulopathies were observed. Coronary angiogram revealed non-obstructive coronary disease. After discussion of the case by a multidisciplinary team with cardiologists, interventional cardiologists, and cardiac surgeons, the patient was considered too high risk for conventional aortic valve replacement (predicted operative mortality by Logistic Euroscore was 20.3) and TAVI via transfemoral approach was decided.
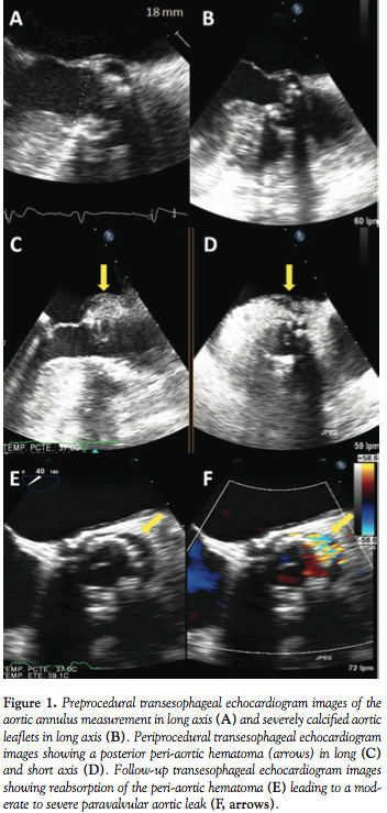
The procedure was done under general anesthesia with transesophageal echocardiogram (TEE) and angiography guidance. Preprocedural TEE showed an annulus size of 18 mm, prominent basal septal hypertrophy, and a heavily calcified valve (Figures 1A and 1B). A 23 mm Edwards-SAPIEN valve (Edwards Lifesciences, Inc) was selected for implantation by transfemoral approach. Via left femoral vessels, a 5 Fr pigtail was positioned in the ascending aorta and a temporary pacemaker was implanted in the right ventricle. Using a 5 Fr Amplatz left catheter (Cordis Corporation), the aortic valve was crossed with a Terumo straight wire, and exchanged for a stiff wire, which was positioned into the left ventricular apex via right femoral artery approach. A balloon valvuloplasty was first performed using a 20 mm balloon without any complications and the transcatheter heart valve was deployed during rapid pacing to 180 bpm. Aortogram and TEE subsequently confirmed adequate position of the bioprosthesis without paravalvular leak, and TEE imaging revealed a posterior peri-aortic hematoma (Figures 1C and 1D). By the end of the study, the hematoma remained stable, reaching dimensions of 15 x 20 mm with no flow outside the aorta by Doppler images and no noted pericardial effusion. The patient was extubated in the catheterization laboratory and transferred to the coronary care unit. A repeat TTE 2 days after the procedure showed reabsorption of the peri-aortic hematoma and a paravalvular leak grade mild to moderate (II/IV) in the same localization of the previous hematoma. The patient was discharged to home 5 days after the procedure clinically stable. Four days later, the patient came back with recurrent heart failure symptoms. TTE and TEE were performed, and showed a progression of the PAR grade judged as moderate to severe (vena contracta of 6 mm and a jet deceleration time of 150 ms; Figures 1E and 1F). The patient was discharged with medical treatment and was reviewed in the outpatient clinic 20 days later; she had no dyspnea or DPN at that time. One month later, she was re-admitted with minimal exertion dyspnea and new-onset atrial fibrillation. During the hospitalization, 2 consecutive balloon postdilations (BPD) were performed with 20 and 22 mm balloons, obtaining an increase in 1 mm of the inner diameter of the valve, but no improvement in aortic regurgitation grade. Nonetheless, the patient could be discharged with medical treatment and has remained stable with an adequate physical capacity during 6 months of follow-up.
Discussion
TAVI is an emerging field for the treatment of severe AS in a high-risk population. Despite being less invasive than SAVR, TAVI nevertheless remains associated with serious complications. Left ventricular perforation, annulus rupture, and aortic dissection post TAVI have been previously described and are associated with a poor outcome.2 Peri-aortic hematoma has been recently described in 3 patients with a relatively benign outcome.3 As in our case, this complication was associated with advanced age, female gender, bulky-calcified aortic cusps that pushed against a small sinus of Valsalva, and significant basal septal hypertrophy. These anatomic features might lead to an excessive pressure to the posterior aortic root where the hematoma was initially seen. Oversizing aortic annulus might lead to aortic trauma, but valve size is systematically oversized by 2 to 5 mm with respect to the diameter of the aortic annulus.1 Contrary to previous cases where complete regression of the peri-aortic hematoma was noted in the TEE at follow-up, we describe reabsorption of the hematoma leading to a severe PAR. Although residual PAR following TAVI is usually mild, moderate or severe PAR can occur in about 10% of cases (5%-16%), and has been associated with worse acute and midterm outcomes.4 Incomplete stent expansion, particularly in the setting of severe calcific aortic annulus preventing complete sealing of the paravalvular space, has been suggested as a mechanism to explain PAR. Higher degree of valve calcification, malpositioning of the device, larger annulus, and prosthesis/annulus mismatch have been identified as predictors of moderate to severe aortic regurgitation following TAVI.5,6 However, this new mechanism of PAR, to our knowledge, has not been previously reported in the literature. Early recognition of this complication was possible because of intraprocedural TEE guidance. After a careful review of the case, medical treatment was the first choice. Due to the fact that the patient continued with symptoms, interventional closure of the paravalvular leak was considered a viable option,7,8 but BPD was estimated to be more appropriate in the context of a recent aortic hematoma and less risk of valve dislodgment. Thus, BPD was performed 2 months after the index procedure, and although a greater expansion of the stent containing the valve was obtained, the degree of PAR remained the same. Nonetheless, persistent clinical benefit was obtained with no further need for hospital admissions. Efficacy of BPD to reduce the degree of PAR immediately after valve implantation has been previously reported.9 Nevertheless, no data are available on the efficacy and safety of BPD for the treatment of severe PAR in the follow-up period, or in cases in which the presumed mechanism was initial oversizing.
In conclusion, accurate measurements of the aortic annulus with multiple imaging techniques and careful prosthesis sizing are critical to minimize residual PAR and aortic wall complications. Also, as the technique becomes more frequently used, an adequate range of sizes — including small annuli sizes — should be available in laboratories performing the technique.
References
- Rodés-Cabau J. Transcatheter aortic valve implantation: current and future approaches. Nat Rev Cardiol. 2011;9(1):15-29.
- Masson JB, Kovac J, Schuler G, et al. Transcatheter aortic valve implantation: review of the nature, management, and avoidance of procedural complications. JACC Cardiovasc Interv. 2009;2(9):811-820.
- Généreux P, Reiss GR, Kodali SK, et al. Peri-aortic hematoma after transcatheter aortic valve replacement: description of a new complication. Catheter Cardiovasc Interv. 2012;79(5):766-776.
- Tamburino C, Capodanno D, Ramondo A, et al. Incidence and predictors of early and late mortality after transcatheter aortic valve implantation in 663 patients with severe aortic stenosis. Circulation. 2011;123(3):299-308.
- Takagi K, Latib A, Al-Lamee R, et al. Predictors of moderate-to-severe paravalvular aortic regurgitation immediately after CoreValve implantation and the impact of postdilatation. Catheter Cardiovasc Interv. 2011;78(3):432-443.
- Détaint D, Lepage L, Himbert D, et al. Determinants of significant paravalvular regurgitation after transcatheter aortic valve: implantation impact of device and annulus discongruence. JACC Cardiovasc Interv. 2009;2(9):821-827.
- Sinning JM, Vasa-Nicotera M, Werner N, et al. Interventional closure of paravalvular leakage after transcatheter aortic valve implantation. Eur Heart J. 2012 May 10 (Epub ahead of print).
- Whisenant B, Jones K, Horton KD, Horton S. Device closure of paravalvular defects following transcatheter aortic valve replacement with the Edwards Sapien valve. Catheter Cardiovasc Interv. 2012 May 14 (Epub ahead of print).
- Nombela-Franco L, Rodes-Cabau J, Delarochelliere R, et al. Predictive factors, efficacy and safety of balloon post-dilation following transcatheter aortic valve implantation with a balloon-expandable valve. JACC Cardiovasc Interv. 2012;5(5):499-512.
__________________________________________________
From the 1Department of Cardiology, Hospital Universitario Puerta de Hierro, Madrid, Spain and 2the Québec Heart & Lung Institute, Laval University, Québec City, Québec, Canada.
Disclosure: The authors have completed and returned the ICMJE Form for Disclosure of Potential Conflicts of Interest. The authors report no conflicts of interest regarding the content herein.
Funding: Dr Nombela-Franco received funding via a research grant from the Fundacion Alfonso Martin Escudero (Spain).
Manuscript submitted May 4, 2012, provisional acceptance given June 4, 2012, final version accepted June 19, 2012.
Address for correspondence: Javier Goicolea, MD, Department of Interventional Cardiology, Hospital Universitario Puerta de Hierro-Majadahonda, Manuel de Falla 1, 28222 Majadahonda Madrid, Spain. Email: j_goicolea@hotmail.com


