Percutaneous Transcatheter Device Closure of Coronary Arteriovenous Fistula Through Persistent Left Superior Vena Cava
Download a PDF of this article.
Abstract: Congenital coronary artery fistula is a rare malformation that may involve any or all coronary artery branches and any cardiac chamber. Elective closure of coronary artery fistula by surgery or percutaneous transcatheter technique is generally accepted in the presence of symptoms. Controversies exist in the management of asymptomatic patients. We report a case of successful percutaneous transcatheter device closure of an aneurysmally dilated coronary fistula, originating from the circumflex artery and draining into the coronary sinus, through the persistent left superior vena cava. Persistent left superior vena cava facilitated the easier closure of the fistula, with short procedural and fluoroscopy times.
J INVASIVE CARDIOL 2013:25(2):E24-E26
Key words: coronary arteriovenous fistula, transcatheter device closure, persistent left superior vena cava
__________________________________________
Congenital coronary artery fistula (CAF) is a rare anomaly that usually has a silent clinical course.1 It communicates the coronary circulation with different cardiac chambers, pulmonary circulation, vena cava, or coronary sinus and can have different anatomic complexity, ranging from a single channel to complex chains of multiple fistulae.2 In children, CAFs are asymptomatic and identified as a continuous murmur on routine clinical examination. Symptomatic CAFs can be treated surgically or percutaneously with devices. Persistent left superior vena cava (LSVC) is one of the very rare associations with CAFs. To the best of our knowledge, the percutaneous device closure using the LSVC approach in this group of patients has never been reported. We report a case of successful percutaneous transcatheter device closure of a CAF, originating from the left circumflex draining into the coronary sinus, through persistent LSVC in a patient with evidence of myocardial ischemia.
Case report

Figure 1. Electrocardiogram shows normal sinus rhythm with pathological Q-waves and T-wave inversion in inferior and lateral leads (click thumbnail to view larger image).
A 58-year-old male was referred to our department with the history of new-onset chest pain of 1-week duration. The physical examination revealed a grade 2/6 continuous murmur at the left lower sternal border. The electrocardiogram (Figure 1) revealed pathological Q-waves with T-wave inversion in leads II, III, aVF, and V4-V6. Troponin-I and creatinine kinase (CK-MB) were elevated. Transthoracic echocardiogram revealed regional wall motion abnormality in baso-inferior and baso-lateral wall with preserved left ventricular (LV) systolic function (LV ejection fraction approximately 55%) and dilated coronary sinus (due to persistent LSVC and CAF draining into the coronary sinus). After informed consent, the patient was taken for coronary angiography.

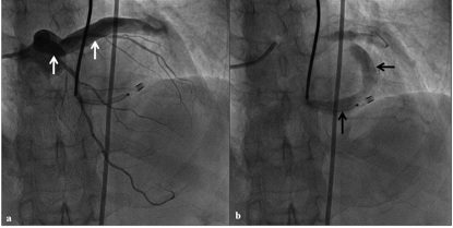
Figure 2. Selective left coronary angiogram in right anterior oblique cranial projection revealed aneurysmally dilated left main and circumflex coronary artery (white arrows) in the early phase (A) and fistulous tract draining into coronary sinus (black arrows) in the late phase (B) (click thumbnail to view larger image).
The selective left coronary angiogram revealed a large coronary artery fistula originating from the left circumflex coronary artery and draining into the coronary sinus (Figures 2A and 2B; Video 1). Both left main and circumflex coronary arteries were aneurysmal with tortuous fistulous tract. There was no evidence of significant atherosclerotic coronary artery disease.

Figure 3. Selected images demonstrating device deployment. (A) Left internal jugular venous injection shows left superior vena cava (thick white arrow). (B) Exchange guidewire (black arrowheads) was exteriorized by using a goose-neck snare (white arrow), thus forming the arteriovenous loop (black arrowheads). (C) A Cook sheath was introduced over the guidewire and injection via sheath opacified the coronary sinus end of fistulous tract. (D) The device was deployed at the narrow neck just before it drains into the coronary sinus (click thumbnail to view larger image).
In view of the symptoms, percutaneous closure of the fistula was planned. Because of close proximity of the CAF to the left internal jugular vein (IJV) and perceived ease of fistula closure, we used the left IJV access and the LSVC approach through the coronary sinus for the device closure. From the right femoral artery approach, a 6 Fr left coronary catheter (Judkins; Cordis Corporation) was used to engage the left coronary sinus. Selective coronary angiogram was done to delineate the fistulous tract. A 0.035˝ x 360 cm exchange guidewire (Terumo Corporation) was introduced into the circumflex coronary artery and advanced into the fistula beyond its narrowest point (Figure 3A). The guidewire was negotiated into the coronary sinus and then into persistent LSVC (Figure 3A). From the left IJV, a 7 Fr sheath was introduced. Using a goose-neck snare (Amplatz goose neck), the Terumo guidewire in the LSVC was exteriorized out of the left IJV (Figure 3B) and an arteriovenous wire loop was established. Subsequently, a 7 Fr sheath (Cook, Inc) was introduced over the exchange wire from the left IJV through the LSVC, coronary sinus and positioned in the fistula (Figure 3C). A 10 x 8 mm patent ductus arteriosus (PDA) Lifetech device (Seercare; Lifetech Scientific Co, Ltd) was deployed at the narrowest point in the distal part of the fistula, 1-2 cm from the drainage point into the coronary sinus (Figure 3D).

Figure 4. Immediate postprocedural coronary angiogram. Right anterior oblique cranial projection showed the device in situ (white arrows) without any residual shunt and normally filling branches of the left circumflex artery in the early (A) and late phase (B) (click thumbnail to view larger image).
After deployment, the left coronary angiography revealed complete closure of the defect as well as improved filling of the coronary branches (Figures 4A and 4B, Video 2). The procedure lasted for 30 minutes and fluoroscopy time was 8 minutes. The patient had an uneventful hospital course. There were no new changes in the daily electrocardiogram or serial rise of cardiac enzymes. The patient was discharged on aspirin and acinocoumarol, maintaining the therapeutic international normalized ratio (INR) between 2-2.5.

Figure 5. Check coronary angiogram at three months of follow-up. Right anterior oblique caudal projection revealed a device in situ (white arrow) and patent obtuse marginal branches, left atrial branches of the circumflex in early (A) and late phase (B) (click thumbnail to view larger image).
At 3 months of follow-up, coronary angiogram (Figures 5A and 5B, Video 3) revealed the complete closure of the fistula, with well-preserved obtuse marginal branches and left atrial branches of the left circumflex coronary artery. At 1-year follow-up, the patient is asymptomatic and doing well. We plan to continue anticoagulation indefinitely.
Discussion
Krause et al first described CAFs in 1865.3 CAFs are rare anomalies and are usually discovered as a coincidental finding during coronary angiography. The majority of the CAFs are congenital in origin and usually involve the left anterior descending (LAD) artery (49%), right coronary artery (RCA) (33%), or less often the circumflex artery (17%). Congenital CAFs commonly drain to the right cardiac chambers or pulmonary circulation.1 The left circumflex coronary artery fistula communicating to the coronary sinus is rare.4 Our patient had a large CAF originating from the left circumflex and draining into the coronary sinus with evidence of myocardial ischemia. The patient had an associated persistent LSVC. There are very few case reports in the literature describing CAFs draining into the persistent LSVC.5 Most of the patients with CAF remain clinically silent until the second decade of life, when they start developing symptoms in the form of myocardial ischemia, myocardial infarction, congestive heart failure, cardiac arrhythmias, rupture, and infective endocarditis.6 In the presence of symptoms, elective closure of CAFs either by surgery or by percutaneous transcatheter techniques is generally contemplated. However, the indications remain controversial in asymptomatic patients, with proponents of both conservative management as well as closure at the time of diagnosis.7
Surgical ligation is a safe and effective method;6 however, postoperative care is longer and more complicated compared with a percutaneous closure. In addition, a mortality rate of 2.2%-4% has been previously reported.8 Transcatheter occlusion of a CAF was first reported in 1983. Many different types of occluding device have been used, including detachable balloons, Gianturco and other types of coils, Rashkind and Amplatzer duct occluder (ADO), Grifka bags, and Amplatzer muscular ventricular septal defect devices, and vascular plugs. Improved devices and delivery systems have made catheter closure applicable in over 90% of patients, including infants and some neonates, in centers with extensive experience.9 ADO has several advantages over other devices used to close CAF, such as the use of a single device, a high rate of complete occlusion, and improved control over the placement and release of the device. In CAF with a large vessel of origin, it may be challenging to achieve complete occlusion with coils alone. In our case, despite a very large fistulous tract, device closure was preferred because the fistula had a narrow waist where the device could be deployed. Our patient had a rare association of persistent LSVC draining into the coronary sinus, which was the draining site of the fistulous tract too. Thus, we took the advantage of this continuity and proximity to the left IJV by using the LSVC approach for device closure, allowing easier and faster maneuverability and device deployment. The LSVC approach facilitated shorter procedural and fluoroscopy times. Percutaneous device closure of CAFs is usually a complex procedure taking a long procedural and fluoroscopy time. Not all coronary fistuls are amenable to percutaneous closure due to anatomic reasons. Mavroudis et al6 suggested some guidelines for anatomic characteristics allowing percutaneous closure of a CAF:
- The ability to cannulate safely the branch coronary artery that supplies the fistula;
- Absence of large branch vessels that can be inadvertently embolized;
- The presence of a single, narrow restrictive drainage site into the cardiac chamber or vessel; and
- The absence of multiple fistulous communications.
Using these criteria, coil embolization was possible in only 37% of the fistulas. Small residual or recurrent leaks have been seen in <10% of patients treated by catheter techniques.9 A variety of complications have been reported following percutaneous closure of CAFs, including coil migration,10 ST and T-wave changes, increased cardiac enzymes (creatinine kinase), right bundle branch block,8 arrhythmias,10 and entrapment of the guidewire.
Patients may be heparinized during the procedure and initiated on aspirin and anticoagulation. While aspirin has to be continued lifelong, anticoagulation may be required in selected cases with large fistulas for a few months. As our patient had an aneurysmally dilated fistulous tract presenting with acute coronary syndrome, we planned to continue with aspirin along with anticoagulation indefinitely.
Conclusion
In conclusion, we demonstrate that with the advent of newer techniques and availability of better devices, even the large coronary fistulous communications to cardiac chambers can be closed successfully by percutaneous techniques with complete resolution of symptoms and good long-term results. On the contrary, it may be associated with complications, so the operator must be vigilant and prepared to deal with these possibilities. Our case had a rare association of CAF with persistent LSVC. CAF was successfully closed retrogradely with the device from LSVC approach, which allowed easier maneuverability and device deployment with shorter procedural and fluoroscopy times.
References
- Yamanaka O, Hobbs RE. Coronary artery anomalies in 126,595 patients undergoing coronary arteriography. Catheter Cardiovasc Diagn. 1990;21(1):28-40.
- Said SA, el Gamal MI, van der Werf T. Coronary arteriovenous fistulas: collective review and management of six new cases-changing etiology, presentation, and treatment strategy. Clin Cardiol. 1997;20(9):748-752.
- Kirklin JW, Barratt-Boyes BG. Congenital anomalies of the coronary arteries. In: Kirklin JW, Barratt-Boyes BG. Cardiac Surgery. Third edition. New York, NY: Churchill Livingston; 1986: pp. 945-955.
- Said SA, van der Werf T. Dutch survey of coronary artery fistulas in adults: congenital solitary fistulas. Int J Cardiol. 2006;106(3):323-332.
- Yanagihara K, Ueno Y, Kobayashi T, Isobe J, Watanabe S, Itoh M. Coronary artery fistula into a persistent left superior vena cava: report of a case. Surg Today. 1997;27(10):966-968.
- Mavroudis C, Backer CL, Rocchini AP, Muster AJ, Gevitz M. Coronary artery fistulas in infants and children: a surgical review and discussion of coil embolization. Ann Thorac Surg. 1997;63(5):1235-1242.
- Hsieh KS, Huang TC, Lee CL. Coronary artery fistulas in neonates, infants, and children: clinical findings and outcome. Pediatr Cardiol. 2002;23(4):415-419.
- Reidy JF, Anjos RT, Qureshi SA, Baker EJ, Tynan MJ. Transcatheter embolization in the treatment of coronary artery fistulas. J Am Coll Cardiol. 1991;18(1):187-192.
- Kung GC, Moore P, McElhinney DB, Teitel DF. Retrograde transcatheter coil embolization of congenital coronary artery fistulas in infants and young children. Pediatr Cardiol. 2003;24(5):448-453.
- Perry SB, Rome J, Keane JF, Baim DS, Lock JE. Transcatheter closure of coronary artery fistulas. J Am Coll Cardiol. 1992;20(1):205-209.
__________________________________________
From the 1Department of Cardiology and 2Department of Pediatric Cardiology, Sri Jayadeva Institute of Cardiovascular Sciences and Research, Bangalore-Karnataka, India.
Disclosure: The authors have completed and returned the ICMJE Form for Disclosure of Potential Conflicts of Interest. The authors report no conflicts of interest regarding the content herein.
Manuscript submitted May 28, 2012, provisional acceptance given June 25, 2012, final version accepted August 15, 2012.
Address for correspondence: Dr Bhupinder Singh, Department of Cardiology, Sri Jayadeva Institute of Cardiovascular Sciences and Research, Bangalore-560069, Karnataka, India. Email: dr_bhupinders@yahoo.in


