Percutaneous Closure of Aortocaval Fistula Using the Amplatzer Muscular VSD Occluder
ABSTRACT: Aortocaval fistula is an uncommon but often fatal complication of abdominal aortic aneurysm. Both open and endovascular repair of aortic aneurysm with aortocaval fistulae have been previously reported. We present the case of a patient with persistent aortocaval fistula after endovascular stent graft repair, which is closed using an Amplatzer muscular VSD occluder. Further studies using the Amplatzer muscular VSD occluder for closure of aortocaval fistulae are warranted.
J INVASIVE CARDIOL 2011;23:343–344
____________________________________
Aortocaval fistula is an uncommon but often fatal complication of abdominal aortic aneurysm. The use of the Amplatzer muscular VSD occluder for aortocaval fistula closure has not been previously reported. We report a case of persistent aortocaval fistula after endovascular aortic stent graft placement that was closed using the Amplatzer muscular VSD occluder.
Case Report
A 64-year-old man with mitral valve endocarditis treated with a St.Jude mechanical mitral valve prosthesis 10 years ago and on chronic warfarin therapy presented to his physician with 4 days of abdominal pain. Blood chemistry panel revealed an elevated creatinine level consistent with acute renal failure and the patient was admitted to the hospital for further evaluation. A renal ultrasound was performed, which revealed normal sized kidneys with no hydronephrosis and normal renal artery flow, and a 9 cm infrarenal abdominal aortic aneurysm. Noncontrast CT of the abdomen and pelvis confirmed a 9 cm abdominal aortic aneurysm. The patient was transferred to our institution for further management.
Contrast CT angiography of the abdomen and pelvis confirmed an infrarenal abdominal aortic aneurysm measuring 9.1 x 9.1 cm, with a communication of the aneurysm with the inferior vena cava measuring 10.5 mm at the level of the L3-4 intervertebral space, consistent with an aortocaval fistula. The abdominal aortic aneurysm ended just above the aortic bifurcation. The external and internal iliac arteries demonstrated moderate calcific atherosclerotic disease, but no aneurysms. Abdominal Doppler ultrasound confirmed pulsatile flow within the enlarged inferior vena cava. Transthoracic echocardiogram revealed a moderately dilated right atrium and right ventricle, with normal left ventricular size and function.
Shortly after arrival at our institution, the patient became hypotensive and required intravenous vasopressor support. His central venous pressure increased from 10 to 40 cm water, and the decision was made to proceed with emergent endovascular repair. A 28.5 x 14.5 x 18 cm Gore endovascular covered stent (W.L. Gore, Newark Deleware) was deployed, but was unsuccessful at creating a proximal seal with the infrarenal aorta. The patient remained hemodynamically unstable, and the decision was made to convert to an aorto-uniliac system using a series of Zenith devices (Cook Medical, Inc., Bloomington, Indiana) overlapping from the aorta to the right iliac artery. After deployment of the aorto-uniliac system the patient rapidly became hemodynamically stable, and his CVP normalized. A 24 mm x 30 mm occlusion plug was deployed at the origin of the left common iliac artery, and a femoral-femoral bypass performed using a 10-mm PTFE graft.
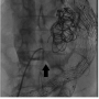
The follow-up CT scan on hospital day 9 demonstrated a large type 2 endoleak which communicated with the IVC through the aortocaval fistula. The flow through the aortocaval fistula was substantially reduced from prior study. Surgical closure of the aortocaval fistula was considered, but the patient was felt to be a high-risk operative candidate, and a percutaneous approach was pursued. On hospital day 13, the patient was taken to the cardiac catheterization lab and underwent coil embolization to the aneurysmal sac. Using fluoroscopic guidance, a 14-mm Amplatzer muscular ventricular septal defect (VSD) occluder device (AGA Medical, Plymouth, Minnesota) was successfully deployed across the aortocaval fistula (Figures 1 and 2). With contrast injection in the IVC, there was minimal opacification of the VSD occluder after deployment. Coil embolization of the inferior mesenteric artery was subsequently performed by interventional radiology, with resolution of the Type 2 Endoleak. Follow-up CT scan revealed no evidence of endoleak, and stable position of the VSD occluder device with no flow visualized across the aortocaval fistula. The patient was discharged to a rehabilitation facility for physical therapy.
Discussion
Aortocaval fistula is a rare but potentially fatal complication of abdominal aortic aneurysm, occurring in 1–4% of abdominal aortic aneurysms.1 Aortocaval fistula may present with acute right-sided congestive heart failure due to increased venous return to the right heart, and repair of the fistula is necessary to prevent progressive heart failure and death.2 Surgical repair of aortic aneurysm with aortocaval fistula often involves manual compression to achieve venous hemostasis, suturing the aortocaval fistula closed from within the aneurysm sac, and excluding the aneurysm with a vascular graft.1,3,4 Endovascular stent grafts for treatment of abdominal aortic aneurysms have been found to have similar short and long-term mortality outcomes compared with open repair, and treatment of abdominal aortic aneurysm with aortocaval fistula by placement of endovascular stent graft has been previously reported.5-7 Percutaneous closure of aortocaval fistula using the Amplatzer duct occluder has been previously reported.8 We present a case of residual aortocaval fistula after endovascular stent graft placement for an abdominal aortic aneurysm that was successfully closed using the Amplatzer muscular VSD occluder. Consideration was given to placement of a vascular plug to close the aortocaval fistula, but the design of the Amplatzer muscular VSD occluder, with two concentric discs connected by a small waist, was felt to provide a more secure closure of the aortocaval fistula. To our knowledge, this is the first reported case of closure of an aortocaval fistula using the Amplatzer muscular VSD occluder. Further studies on percutaneous closure of aortocaval fistula using the Amplatzer muscular VSD occluder are warranted.
References
- Brewster DC, Cambria RP, Moncure AC, et al. Aortocaval and iliac arteriovenous fistulas. J Vasc Surg 1991:13:253–265.
- Houben PF, Bollen EC, Nuyens CM. “Asymptomatic” ruptured aneurysm: A report of two cases of aortocaval fistula presenting with cardiac failure. Eur J Vasc Surg 1993;7:352–354.
- Cinara IS, Davidovic LB, Kostic DM, et al. Aorto-caval fistulas: A review of eighteen years experience. Acta Chir Belg 2005;105:616–620.
- Duffy JP, Gardham JRC. Spontaneous aorto-caval fistula – Preoperative diagnosis and management. Postgraduate Medical J 1989;65:397–399.
- Umsheid T, Stelter WJ. Endovascular treatment of an aortic aneurysm ruptured into the inferior vena cava. J Endovasc Ther 2000;7:31–35.
- De Bruin JL, Baas AF, Buth J, et al. Long-term outcome of open or endovascular repair of abdominal aortic aneurysm. N Engl J Med 2010;362;1881–1889.
- Lau LL, O’Reilly MJ, Johnston LC, Lee B. Endovascular stent-graft repair of primary aortocaval fistula with an abdominal aortoiliac aneurysm. J Vasc Surg 2001;33(2):425–428.
- Godart F, Haulon S, Houmany M, et al. Transcatheter closure of aortocaval fistula with the Amplatzer duct occluder. J Endovasc Ther 2005;12:134–137.
____________________________________
From the California Pacific Medical Center, San Francisco, California.
The authors report no conflicts of interest regarding the content herein.
Manuscript submitted March 24, 2011, provisional acceptance given March 30, 2011, final version accepted April 11, 2011.
Address for correspondence: Peter Hui, MD, FACC, FSCAI, 2100 Webster St., Suite 516, San Francisco, CA 94115. Email: phui@cpcmg.com


