Novel Crossing System for Chronic Total Occlusion Recanalization: First-in-Man Experience With the SoundBite Crossing System
Abstract: Chronic total occlusion (CTO) lesions are frequent in patients with peripheral and coronary artery disease, and are associated with a higher risk of adverse events, including mortality, decreased quality of life, and increased health-care costs. Percutaneous intervention of CTO lesions has been associated with a lower procedural success rate, and current dedicated CTO devices may be of limited use for non-CTO experts, and associated with increased intraprocedural complication rates. The SoundBite Crossing System (SoundBite Medical Solutions, Inc) is a newly-developed device using shockwaves (short-duration, high-amplitude pressure pulses) delivered to the tip of guidewire to facilitate penetration of the proximal cap and crossing of the occlusion. The current report describes the first-in-man use of the SoundBite Crossing System in the recanalization of two occluded lower-limb arteries.
J INVASIVE CARDIOL 2017;29(2):E17-E20.
Key words: chronic total occlusion, peripheral artery disease, coronary artery disease, percutaneous coronary intervention
Chronic total occlusion (CTO) lesions are frequent in patients with coronary and peripheral artery disease, and are associated with a higher risk of adverse events, decreased quality of life, and increased health-care costs. Percutaneous intervention of CTO lesions has been associated with a lower procedural success rate,1-7 and current proposed techniques8-17 and dedicated CTO devices18-20 may be of limited use for non-CTO experts given their relative complexity of use and association with increased intraprocedural complication rates. The SoundBite Crossing System (SoundBite Medical Solutions, Inc) (Figure 1) is a newly developed device that uses a 0.018˝ wire (ShockWire) to deliver shockwaves (short-duration, high-amplitude pressure pulses) to the distal tip of the guidewire to facilitate penetration of the proximal cap and crossing of the occlusion. A prior proof-of-concept report demonstrated the feasibility of the ShockWire to cross a chronically occluded arterial segment from a human ex vivo amputated leg.21 The current report describes the first-in-man use of the SoundBite Crossing System in the recanalization of two occluded peripheral artery segments.

Case Presentation
A 72-year-old man presented with Leriche-Fontaine IIb class bilateral claudication. Right and left ankle-brachial indices were 0.71 and 0.67, respectively. Computed tomographic angiogram showed long bilateral superficial femoral artery (SFA) occlusions (Figure 2). Based on these clinical findings and the presence of long (>20 cm) bilateral SFA-CTO, the patient was scheduled for bilateral percutaneous angioplasty.

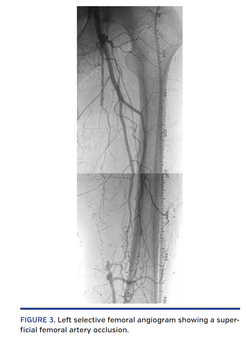
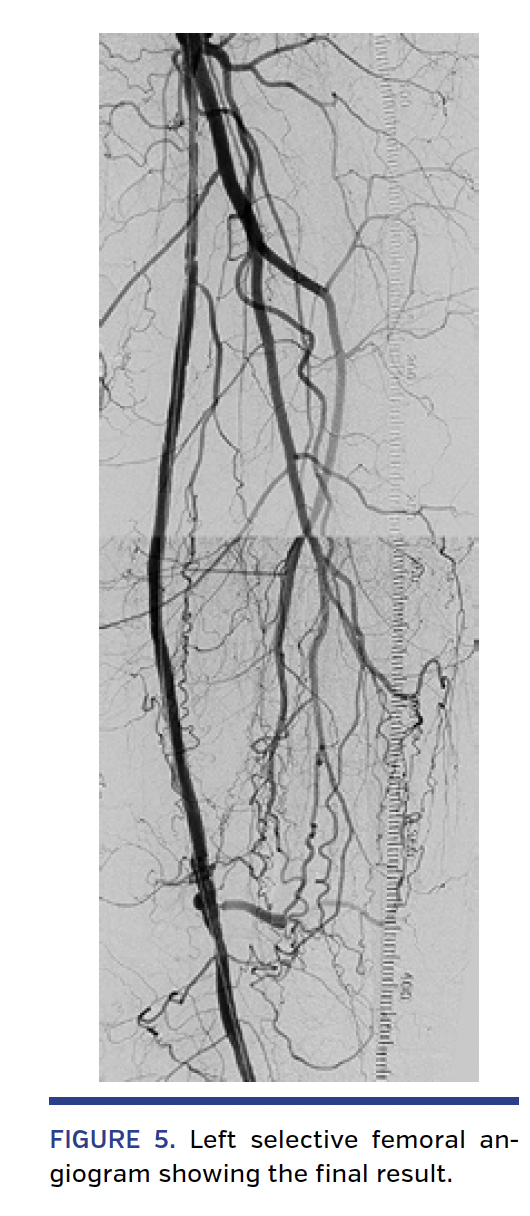
Procedure description. First, from a retrograde right femoral access, standard diagnostic angiograms were obtained, and a 6 Fr, 45 cm contralateral sheath was advanced to the level of the left common femoral artery. A selective angiogram showed a 20 cm-long SFA occlusion with a widely patent popliteal artery and 2-vessel run-off (Figure 3). A “tap” test was performed with a 0.018˝ Bentson wire (Boston Scientific) backed with a 5 Fr angled catheter with the distal tip placed in the proximal SFA just above the proximal cap of the CTO. This confirmed a fibrous “hard” CTO. The catheter and wire were then exchanged for a 4 x 100 mm Sterling balloon (Boston Scientific) advanced at the site of the CTO. The ShockWire was introduced into the balloon catheter. A second unsuccessful tap test was performed with the inactivated ShockWire. After activation of the ShockWire, the proximal cap and the first 2 cm of the occlusion were easily crossed. The inactivated ShockWire was then advanced through several centimeters of the occlusion. In the middle third of the 20 cm-long CTO, three areas of resistance were encountered despite repeated attempts to cross with the inactivated ShockWire. All three areas were readily crossed within 10 seconds of ShockWire activation. After crossing the entire length of the CTO, an angiogram was performed showing the tip of the ShockWire in the subintimal space adjacent to the distal cap. After removing the ShockWire, the wire was reinserted into the balloon catheter with a short bend at its distal tip (~2 mm, 45°). The ShockWire was then oriented toward the true lumen, and after activation, reentry was readily achieved (Figure 4). The balloon catheter was then advanced distal to the CTO, and the ShockWire was exchanged for a workhorse 0.018˝ wire. After predilation, the CTO was treated with 5 mm-long drug-coated balloons according to standard technique with an excellent angiographic result and no complications (Figure 5).


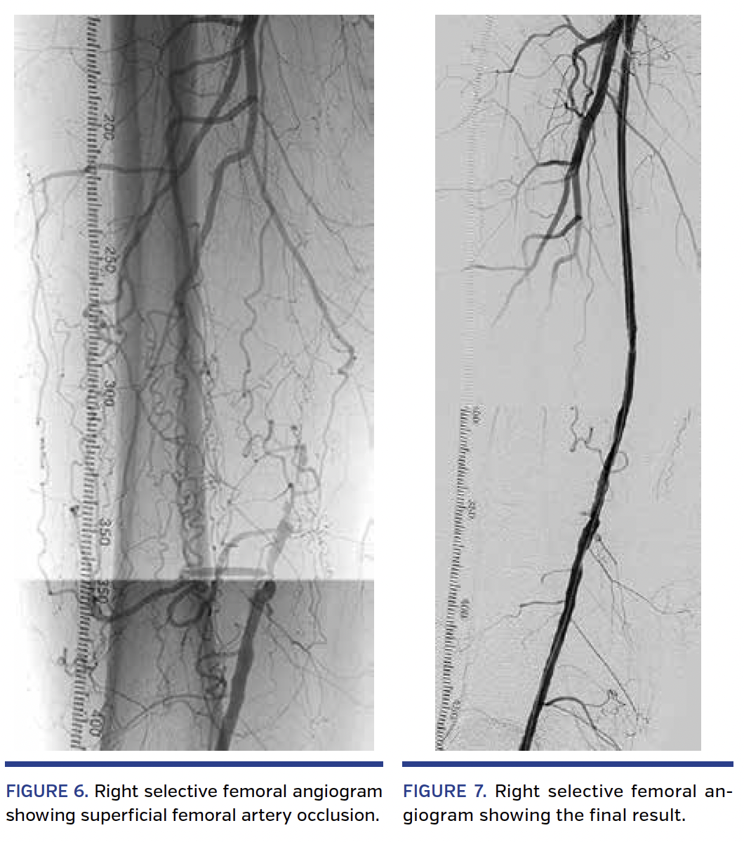
Next, a right leg selective angiogram was performed, confirming a 27 cm-long SFA occlusion (Figure 6). The right femoral access was then inverted, and a short 6 Fr sheath was advanced into the right proximal SFA stump. A tap test was performed confirming a fibrous “hard” CTO. The occlusion was then crossed with the ShockWire backed with a 4 x 100 mm Sterling balloon using the same technique as on the contralateral side. The ShockWire was activated to penetrate the cap of the occlusion and to cross certain segments of the CTO. The ShockWire was successfully advanced across the entire length of the occlusion. After predilation, the CTO was treated with 5 mm drug-coated balloons according to standard technique with an excellent angiographic result and no complications (Figure 7). Postprocedural ankle-brachial indices were 0.97 on the right and 1.05 on the left, significantly improved from baseline.

Discussion
CTO lesions are found in about 40% of patients with peripheral artery disease referred for angiography. They are associated with a lower rate of successful percutaneous revascularization mainly because of the inability to cross the lesion while retaining distal intraluminal position with the available wires. This proportion rises to 80% in patient presenting with critical limb ischemia.22,23 Despite advancements in endovascular techniques and the development of dedicated devices to facilitate wire crossing of CTO lesions, procedural failure remains frequent.24 More importantly, most of these devices are challenging to use, and these techniques are associated with higher rates of procedural complications, precluding their wide adoption by operators who are not CTO experts, pointing toward the need for more intuitive, safe, and user-friendly devices.25
The SoundBite Crossing System is the first and only CTO device using a guidewire-like platform to deliver shockwaves to the point of vascular occlusion. A previous ex vivo case simulation provided a strong demonstration of the capacity of the shockwave technology to successfully cross occlusions where prior attempts with conventional wires as well as with the inactivated ShockWire had failed.21 Having shown its in vivo “drilling” properties through long fibrocalcific CTOs with final intraluminal positioning of the wire, this successful first-in-man bilateral SFA-CTO intervention allows one to believe that shockwave-wire technology could have an important role in the management of complex CTO lesions in the near future. An ongoing prospective study (NCT03013088) will bring meaningful information regarding the safety and efficacy of this new device.
References
1. Fefer P, Knudtson ML, Cheema AN, et al. Current perspectives on coronary chronic total occlusions: the Canadian Multicenter Chronic Total Occlusions Registry. J Am Coll Cardiol. 2012;59:991-997.
2. Sianos G, Werner GS, Galassi AR, et al. Recanalisation of chronic total coronary occlusions: 2012 consensus document from the EuroCTO club. EuroIntervention. 2012;8:139-145.
3. Brilakis ES, Banerjee S, Karmpaliotis D, et al. Procedural outcomes of chronic total occlusion percutaneous coronary intervention: a report from the NCDR (National Cardiovascular Data Registry). JACC Cardiovasc Interv. 2015;8:245-253.
4. Carlino M, Magri CJ, Uretsky BF, et al. Treatment of the chronic total occlusion: a call to action for the interventional community. Catheter Cardiovasc Interv. 2015;85:771-778.
5. Alessandrino G, Chevalier B, Lefèvre T, et al. A clinical and angiographic scoring system to predict the probability of successful first-attempt percutaneous coronary intervention in patients with total chronic coronary occlusion. JACC Cardiovasc Interv. 2015;8:1540-1548.
6. Galassi AR, Boukhris M, Azzarelli S, Castaing M, Marza F, Tomasello SD. Percutaneous coronary revascularization for chronic total occlusions: a novel predictive score of technical failure using advanced technologies. JACC Cardiovasc Interv. 2016;9:911-922.
7. Christopoulos G, Kandzari DE, Yeh RW, et al. Development and validation of a novel scoring system for predicting technical success of chronic total occlusion percutaneous coronary interventions: the PROGRESS CTO (Prospective Global Registry for the Study of Chronic Total Occlusion Intervention) score. JACC Cardiovasc Interv. 2016;9:1-9.
8. Karmpaliotis D, Michael TT, Brilakis ES, et al. Retrograde coronary chronic total occlusion revascularization: procedural and in-hospital outcomes from a multicenter registry in the United States. JACC Cardiovasc Interv. 2012;5:1273-1279.
9. Brilakis ES, Grantham JA, Rinfret S, et al. A percutaneous treatment algorithm for crossing coronary chronic total occlusions. JACC Cardiovasc Interv. 2012;5:367-379.
10. Michael TT, Banerjee S, Brilakis ES. Subintimal distal anchor technique for “balloon-uncrossable” chronic total occlusions. J Invasive Cardiol. 2013;25:552-554.
11. El Sabbagh A, Patel VG, Jeroudi OM, et al. Angiographic success and procedural complications in patients undergoing retrograde percutaneous coronary chronic total occlusion interventions: a weighted meta-analysis of 3,482 patients from 26 studies. Int J Cardiol. 2014;174:243-248.
12. Rinfret S, Ribeiro HB, Nguyen CM, Nombela-Franco L, Urena M, Rodes-Cabau J. Dissection and re-entry techniques and longer-term outcomes following successful percutaneous coronary intervention of chronic total occlusion. Am J Cardiol. 2014;114:1354-1360.
13. Galassi AR, Sianos G, Werner GS, et al. Retrograde recanalization of chronic total occlusions in Europe: procedural, in-hospital, and long-term outcomes from the Multicenter ERCTO registry. J Am Coll Cardiol. 2015;65:2388-2400.
14. Patel SM, Pokala NR, Menon RV, et al. Prevalence and treatment of “balloon-uncrossable” coronary chronic total occlusions. J Invasive Cardiol. 2015;27:78-84.
15. Karmpaliotis D, Karatasakis A, Alaswad K, et al. Outcomes with the use of the retrograde approach for coronary chronic total occlusion interventions in a contemporary multicenter US registry. Circ Cardiovasc Interv. 2016;9.
16. Nguyen-Trong PK, Alaswad K, Karmpaliotis D, et al. Use of saphenous vein bypass grafts for retrograde recanalization of coronary chronic total occlusions: insights from a multicenter registry. J Invasive Cardiol. 2016;28:218-224.
17. Stetler J, Karatasakis A, Christakopoulos GE, et al. Impact of crossing technique on the incidence of periprocedural myocardial infarction during chronic total occlusion percutaneous coronary intervention. Catheter Cardiovasc Interv. 2016;88:1-6.
18. Mogabgab O, Patel VG, Michael TT, et al. Long-term outcomes with use of the CrossBoss and Stingray coronary CTO crossing and reentry devices. J Invasive Cardiol. 2013;25:579-585.
19. Wosik J, Shorrock D, Christopoulos G, et al. Systematic review of the BridgePoint System for crossing coronary and peripheral chronic total occlusions. J Invasive Cardiol. 2015;27:269-276.
20. Karatasakis A, Tarar MN, Karmpaliotis D, et al. Guidewire and microcatheter utilization patterns during antegrade wire escalation in chronic total occlusion percutaneous coronary intervention: insights from a contemporary multicenter registry. Catheter Cardiovasc Interv. 2016 May 17 (Epub ahead of print).
21. Bérubé S, Benko A, Despatis M-A, et al. Novel crossing system for the recanalization of complex chronic total occlusions: ex vivo proof of concept of the SoundBite crossing system. J Invasive Cardiol. (In press).
22. Al-Ameri H, Clavijo L, Matthews RV, Kloner RA, Shavelle DM. Devices to treat peripheral chronic total occlusions. J Interv Cardiol. 2012;25:395-403.
23. Graziani L, Silvestro A, Bertone V, et al. Vascular involvement in diabetic subjects with ischemic foot ulcer: a new morphologic categorization of disease severity. Eur J Vasc Endovasc Surg. 2007;33:453-460.
24. Rogers JH, Laird JR. Overview of new technologies for lower extremity revascularization. Circulation. 2007;116:2072-2085.
25. Javed U, Laird JR. Specialty crossing devices: understanding the learning curve. Endovasc Today. 2012:52-57.
From 1the Université de Sherbrooke, Sherbrooke, Québec, Canada; 2St. Michael’s Hospital, University of Toronto, Toronto, Ontario, Canada; 3Gagnon Cardiovascular Institute, Morristown Medical Center, Morristown, New Jersey; 4Hôpital du Sacré-Coeur de Montréal, Université de Montréal, Montréal, Québec, Canada; and 5Cardiovascular Research Foundation, New York, New York.
Disclosure: The authors have completed and returned the ICMJE Form for Disclosure of Potential Conflicts of Interest. Andrew Benko reports speaker fees from Medtronic and Cordis; funded research with Medtronic and Boston Scientific; shareholder of Soundbite Medical Solutions, Inc. Simon Bérubé reports speaker fees and is a consultant for AstraZeneca, Bayer, and Mylan; shareholder of Soundbite Medical Solutions, Inc. Dr Généreux reports speaker fees from Abbott Vascular, Cardiovascular Systems, Inc, and Edwards Lifesciences; research grants from Boston Scientific and Cardiovascular Systems, Inc.; consultant for Cardiovascular Systems, Inc. and Soundbite Medical Solutions Inc; shareholder of Soundbite Medical Solutions, Inc. Steven Dion, Louis-Philippe Riel, and Dr Brouillette are shareholders of Soundbite Medical Solutions, Inc. and report several patents pending on the SoundBite Medical System. Dr Buller is a shareholder and consultant to SoundBite Medical.
Manuscript submitted January 25, 2017, final acceptance given January 26, 2017.
Address for correspondence: Philippe Généreux, MD, Gagnon Cardiovascular Institute, Morristown Medical Center, 100 Madison Avenue, Morristown, NJ 07960. Email: pgenereux@crf.org


