Intravascular Ultrasound-Guided Coronary Lithotripsy Treatment of In-Stent Restenosis in Saphenous Venous Graft
J INVASIVE CARDIOL 2021;33(2):E141-E142. doi:10.25270/jic/20.00124
Key words: calcific lesion, in-stent restenosis, IVUS, lithotripsy
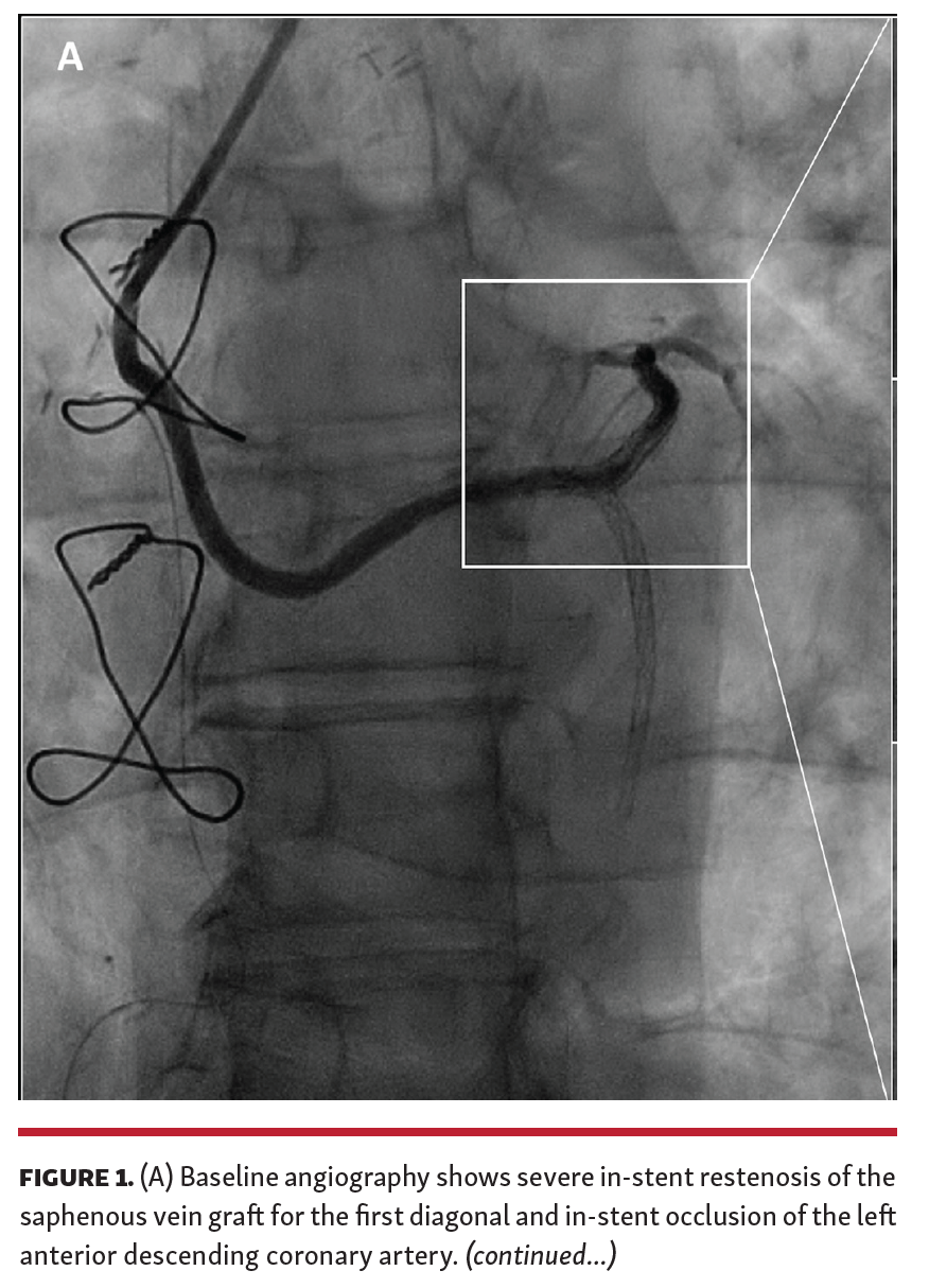
A 69-year-old man with prior history of coronary artery bypass graft surgery with saphenous vein graft (SVG) for the left anterior descending (LAD) and jump to the first diagonal (D1) underwent multiple percutaneous coronary interventions with drug-eluting stent (DES) implantation on the graft, due to aggressive in-stent restenosis (ISR), and on mid-distal LAD with multiple stents resulting in in-stent chronic total occlusion with no recanalization options because of inability to visualize the distal vessel. The patient was admitted to our institution due to worsening effort angina. He was already on optimal medical therapy. He underwent coronary angiography via radial approach, which showed subocclusive ISR in the SVG (Figures 1A and 1B). Patency of the other grafts was documented and no other revascularization target was identified. Intravascular ultrasound (IVUS) showed 270°, severely calcific ISR with at least 2 layers of previously implanted stent struts (Figure 1C). Considering the severe lesion calcification and perforation after non-compliant balloon dilation during a prior procedure, we decided to perform intracoronary lithotripsy. A 3.5 mm intravascular lithotripsy balloon (Shockwave Medical) was used and 8 balloon inflations were performed with IVUS documentation of cracked calcium (Figures 1D and 1E). After 3.5 mm non-compliant balloon dilation, a new-generation 3.5 x 20 mm DES was implanted and postdilated with good angiographic result (Figure 1F). IVUS showed acute gain in minimal luminal area (Figure 1G).
To the best of our knowledge, this is the first description of IVUS-guided coronary lithotripsy on SVG because of severely calcific ISR, showing good result without procedural complications. Additional increase in minimal luminal area was documented after stent implantation, as reported in the DISRUPT CAD II study. In our case, IVUS had an important role in assessing the severely calcific nature of the lesion, guiding treatment strategy in terms of choosing advanced debulking technique, and achieving optimal result. Optical coherence tomography could be superior in detecting superficial calcification due to better resolution, and reported up to 78% of cracked calcium in the DISRUPT CAD II trial. Future mid- and long-term studies are warranted on treatment of such lesions.
From the Interventional Cardiology Unit, IRCCS San Raffaele Hospital, Milan, Italy.
Disclosure: The authors have completed and returned the ICMJE Form for Disclosure of Potential Conflicts of Interest. The authors report no conflicts of interest regarding the content herein.
The authors report that patient consent was provided for publication of the images used herein.
Manuscript accepted March 19, 2020.
Address for correspondence: Filippo Russo, MD, Interventional Cardiology Unit, IRCCS San Raffaele Hospital, Milan, Italy. Email: russo.filippo@hsr.it


