Hemopneumothorax – An Unexpected Cath Lab Diagnosis
Sandeep Arunothayaraj, MBBS; Dang-Khoa Phan, MBBS; Akshat Saxena, MBBS
J INVASIVE CARDIOL 2021;33(5):E399. doi:10.25270/jic/20.00217
Key words: hemorrhage, thrombolysis
A 57-year-old woman presented to a regional hospital with chest pain following a presumed mechanical fall while intoxicated. The electrocardiogram revealed inferior ST elevation diagnostic for ST-segment elevation myocardial infarction. An urgent computed tomography scan of the brain excluded intracranial hemorrhage and a chest x-ray was unremarkable. Thrombolysis was initiated with tenecteplase and repeat electrocardiograms showed reduction of ST elevation. However, the patient reported ongoing pain and developed hypotension. Due to concern of failed thrombolysis and potential right ventricular infarction, urgent transfer to our center was arranged for rescue percutaneous coronary intervention (PCI).
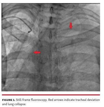
On fluoroscopy of the chest, our radiographer brought to attention gross tracheal deviation and collapse of the left lung (Figure 1 and Video 1). The right coronary artery was rapidly engaged, and a culprit proximal lesion was identified with Thrombolysis in Myocardial Infarction 3 flow beyond. On left ventriculogram, the ventricle was small and hyperdynamic. A chest drain was inserted on the cath lab table by the thoracic surgeon and confirmed the presence of a large left hemopneumothorax. PCI was deferred due to the acute hemorrhage and presence of normal coronary flow, and the patient was transferred to the intensive care unit for further management. Bleeding from within the lower lobe of the left lung was found on computed tomography, which ceased with administration of platelets and fresh frozen plasma. This case highlights the importance of maintaining a broad differential diagnosis and of harnessing the various skills within a multidisciplinary team.
From the Department of Cardiology, St Vincent’s Hospital Melbourne, Australia.
Disclosure: The authors have completed and returned the ICMJE Form for Disclosure of Potential Conflicts of Interest. The authors report no conflicts of interest regarding the content herein.
Manuscript accepted April 22, 2020.
The authors report that patient consent was provided for publication of the images used herein.
Address for correspondence: Dr Sandeep Arunothayaraj, St. Vincent’s Hospital Melbourne, Victoria, Australia. Email: sandeeparun01@gmail.com


