Guideliner Microcatheter to Improve Back-Up Support During a Complex Coronary Stenting Procedure Through a Tortuous Left Internal Mammary Graft
ABSTRACT: Back-up support during percutaneous coronary interventions (PCI) is one of the keys for successful intervention. Extra back-up support guiding catheters, deep intubation, buddy wires, and other more complex techniques are usually used to improve this support. Left anterior descending (LAD) artery PCI through the left internal mammary artery (LIMA) are rarely performed because many operators feel reluctant to instrument a disease-free LIMA graft risking iatrogenic complications by passing wire, balloons, and stents to the diseased distal LAD.
Improving back-up support during LIMA-LAD PCIs is often challenging because in this particular setting the distance between the LAD lesion and the guiding catheter is exceedingly long.
We report a case of a challenging PCI of the LAD through a patent and disease-free LIMA graft. After multiple failed attempts to cross the LAD lesion with conventional stent deployment techniques, we successfully finished the stenting procedure using the Guideliner microcatheter (Vascular Solutions) as a guiding extension through the LIMA graft. With this case, we illustrate that this microcatheter dramatically improves the back-up support, allowing stent deployment also in very difficult settings as in tortuous LIMA grafts.
J INVASIVE CARDIOL 2012;24(4):E77-E79
Key words: Guideliner microcatheter, coronary artery bypass graft, back-up support, percutaneous coronary intervention
____________________________________________
Percutaneous coronary interventions (PCI) are most commonly associated with stent implantations. In order to safely and rapidly reach and cross the target coronary lesion, the back-up support of the adopted guiding catheter is one of the keys of success. Nevertheless, in case of important tortuosity and/or calcifications of the coronary vessels, stent delivery at the target lesion may be challenging, despite adequate lesion preparation with balloon pre-dilatation.1
Left anterior descending (LAD) artery PCI through the left internal mammary artery (LIMA) are rarely performed because these arterial bypass grafts are associated with good long-term patency rates and many operators feel reluctant to instrument a disease-free LIMA graft, risking iatrogenic complications by passing wire, balloons, and stents to the diseased distal LAD.2,3 We report a case of a challenging LAD-PCI through a patent, tortuous, and disease-free LIMA graft, underlying the technical issues adopted in order to improve the back-up support of the guiding catheter in this particular guiding-lesion long-distance setting.
Case Report
A 65-year-old male with previous 3-time coronary artery bypass grafting in 1995 was admitted for unstable angina. Coronary angiogram showed native coronary occlusions at the level of proximal LAD (Figure 1) and proximal right coronary artery. The left main and a previously stented proximal left circumflex artery were disease-free, while a large intermediate branch, unsuccessfully treated in 2006, was also occluded (during that PCI a coronary wire broke in this intermediate branch) (Figure 1). The LIMA graft to mid LAD was free of lesions but the mid LAD showed a long, calcified, and tight stenosis (Figures 2A and 2B). The 2 saphenous vein grafts, one anastomosed to the first obtuse marginal branch and the other one to the distal RCA, were both chronically occluded.
Coronary angiography, as well as the mid LAD PCI, was then attempted using a left radial approach. The LIMA ostium was easily engaged with a 6 Fr IMA guiding catheter (Medtronic Vascular). The distal LAD was wired (BMW, Abbott Vascular), pre-dilated [Maverick 2 Monorail 2.5/20 mm (Boston Scientific)], and stented [Resolute Integrity 3.0 mm x 26 mm (Medtronic)]. After successful mid-LAD stenting, a type C dissection distal to the stent was observed (Figure 3). Despite the placement of an extra-support buddy wire [GALEO ES 0.014’’ (Biotronik)] and several stent post-dilatation with non-compliant balloons [Pantera Leo 3.0 mm x 15 mm (Biotronik)], it was not possible to deliver a second stent to cover the distal dissection. Neither 2 different drug-eluting stents [RESOLUTE Integrity 2.5/14 mm (Medtronic) / Xience Prime 2.5/12 mm stent (Abbott Vascular)] nor a smaller and shorter bare metal stent [PRO-kinetic 2.25/9 mm (Biotronik)] were able to cross the previously implanted stent.
Indeed, the inability to cross the first stent was mainly due to angulation at the site of the implanted stent (inducing significant friction between the stents’ struts) and the lack of back-up support through the long and tortuous LIMA graft. Although deep intubation of the 6 Fr IMA guiding catheter was technically feasible thanks to the adopted left transradial approach, this maneuver was deemed too risky, especially if considering that the LIMA graft and the LAD also gave collaterals to the right coronary artery territory.
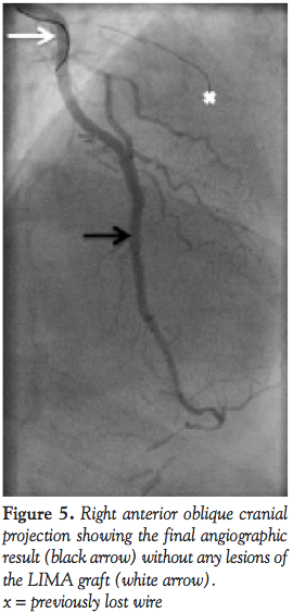
At this moment, the only remaining option to improve the back-up support was to use a dedicated guide-extension microcatheter. The Guideliner Microcatheter (Vascular Solutions), was easily advanced (ie, telescoping technique) through the LIMA and directly placed in the previously implanted stent at the angulation site (Figure 4). With this maneuver, the back-up support of the entire system improved dramatically, and allowed without any further friction or resistance the implantation of the Xience stent, finally successfully sealing the LAD dissection (Figure 5). Final angiographic assessment once the wires and the Guideliner were retrieved showed a patent LIMA graft without any sign of spasm or iatrogenic complications.
Discussion
Back-up support during PCI is one of the cornerstones for a successful intervention. Extra back-up support guiding catheters,4 deep intubation,5 buddy wires,6 anchoring balloon technique,7 or a telescoping approach with a mother and child technique8-10 are the most common maneuvers used to improve this support.
LAD PCI through LIMA grafts must be performed very carefully to avoid iatrogenic complications, such as LIMA’s spasms or extensive dissections, which may be challenging to handle correctly.3,11,12 Furthermore, it frequently occurs that the LIMA graft is the last remaining patent conduit, suggesting that any type of complications occurring in this vessel may have dramatic consequences. These issues, associated with a poor backup support secondary to the LIMA tortuosity, are probably the main causes why LAD PCIs through the LIMA graft have been rarely reported in the literature.13,14
Improving back-up support during LIMA-LAD PCIs is challenging, especially because the distance between the LAD lesion and the guiding catheter remains exceedingly long. Moreover, as illustrated in our case, the additional difficulty to cross a newly deployed stent due to the important stent struts’ friction may finally increase the risk of accidental stent loss in the vessel.15
Mamas et al recently reported the successful use of the Guideliner microcatheter for stent delivery via transradial approach after failure of conventional techniques.16 This catheter, available in different sizes (from 5-in-6, 6-in-7, and 7-in-8 Fr), is a flexible coaxial microcatheter used as a guide extension. Although the Guideliner microcatheter should not be extended more then 10 cm outside the guiding catheter, in our case the distance between the guiding catheter and the lesion was too long to follow this safety manufacture recommendation.
This dedicated microcatheter, with very good crossing profile and soft and flexible distal tip, is usually used through standard 6 Fr guiding catheters. It is used mostly for bail-out situations for complex PCI, where usual stenting delivery techniques have failed.
The main difference compared to the Heartrail catheter (Terumo Corp.), which is used for the same back-up support improvement, is that the Guideliner catheter uses a monorail technology, remaining easier to handle without requiring long or extension wires. It also allows safer contrast dye injection or back bleeding through the guiding catheter, thus reducing the risk of accidental air embolism or catheter thrombosis. Additionally, with the over-the-wire Terumo Heartrail catheter, only 8 cm of guiding extension are possible, suggesting that the Guideliner, which may be advanced much more than the recommended 10 cm, is more suitable especially in cases where a very important guide-extension is necessary (eg, through the LIMA graft).
Several reports described the use of the Guideliner microcatheter in challenging PCI cases. However, to the best of our knowledge, this is the first case reporting the use of this microcatheter through a tortuous LIMA graft. This “mother and child” strategy helped to seal an iatrogenic dissection difficult to reach without injuring the most important remaining open vessel.
Conclusion. When conventional stent delivery and deployment techniques fail, the “mother and child” technique with the Guideliner microcatheter dramatically improves back-up support. If used carefully, this microcatheter represents a precious tool to successfully perform complex PCI in very calcified or tortuous vessels as described in our case of PCI through a LIMA graft.
References
- Nikolsky E, Gruberg L, Pechersky S, et al. Stent deployment failure: reasons, implications, and short- and long-term outcomes. Catheter Cardiovasc Interv. 2003;59(3):324-328.
- Tatoulis J, Buxton BF, Fuller JA. Patencies of 2127 arterial to coronary conduits over 15 years. Ann Thorac Surg. 2004;77(1):93-101.
- Suresh V, Evans S. Successful stenting of stenotic lesion and spontaneous dissection of left internal mammary artery graft. Heart. 2007;93(1):44.
- Di Mario C, Ramasami N. Techniques to enhance guide catheter support. Catheter Cardiovasc Interv. 2008;72(4):505-512.
- Bartorelli AL, Lavarra F, Trabattoni D, et al. Successful stent delivery with deep seating of 6 French guiding catheters in difficult coronary anatomy. Catheter Cardiovasc Interv. 1999;48(3):279-284.
- Jafary FH. When one won't do it, use two-double "buddy" wiring to facilitate stent advancement across a highly calcified artery. Catheter Cardiovasc Interv. 2006;67(5):721-723.
- Fujita S, Tamai H, Kyo E, et al. New technique for superior guiding catheter support during advancement of a balloon in coronary angioplasty: the anchor technique. Catheter Cardiovasc Interv. 2003;59(4):482-488.
- Takahashi S, Saito S, Tanaka S, et al. New method to increase a backup support of a 6 French guiding coronary catheter. Catheter Cardiovasc Interv. 2004;63(4):452-456.
- Mamas MA, Eichhöfer J, Hendry C, et al. Use of the Heartrail II catheter as a distal stent delivery device; an extended case series. EuroIntervention. 2009;5(2):265-271.
- Mamas MA, Fath-Ordoubadi F, Fraser D. Successful use of the Heartrail III catheter as a stent delivery catheter following failure of conventional techniques. Catheter Cardiovasc Interv. 2008;71(3):358-363.
- Zanchetta M, Pedon L, Rigatelli G, Olivari Z, Zennaro M, Maiolino P. Pseudo-lesion of internal mammary artery graft and left anterior descending artery during percutaneous transluminal angioplasty — a case report. Angiology. 2004;55(4):459-462.
- Wong P, Rubenstein M, Inglessis I, Pomerantsev E, Ferrell M, Leinbach R. Spontaneous spiral dissection of a LIMA-LAD bypass graft: a case report. J Interv Cardiol. 2004;17(4):211-213.
- Zavalloni D, Rossi ML, Scatturin M, et al. Drug-eluting stents for the percutaneous treatment of the anastomosis of the left internal mammary graft to left anterior descending artery. Coron Artery Dis. 2007;18(6):495-500.
- Köckeritz U, Reynen K, Knaut M, Strasser RH. Results of angioplasty (with or without stent) at the site of a narrowed coronary anastomosis of the left internal mammary artery graft or via the internal mammary artery. Am J Cardiol. 2004;93(12):1531-1533.
- Cantor WJ, Lazzam C, Cohen EA, et al. Failed coronary stent deployment. Am Heart J. 1998;136(6):1088-1095.
- Mamas MA, Fath-Ordoubadi F, Fraser DG. Distal stent delivery with Guideliner catheter: first in man experience. Catheter Cardiovasc Interv. 2010;76(1):102-111.
____________________________________________
From the Division of Cardiology, Department of internal medicine, Geneva University Hospitals, Switzerland.
Disclosure: The authors have completed and returned the ICMJE Form for Disclosure of Potential Conflicts of Interest. The authors report no conflicts of interest regarding the content herein.
Manuscript submitted August 4, 2011, provisional acceptance given September 6, 2011, final version accepted November 10, 2011.
Address for correspondence: Dr. Robert F. Bonvini, Division of Cardiology, Geneva University Hospitals, 4, rue Gabrielle-Perret-Gentil, 1211 Geneva 14, Switzerland. Email: Robert.Bonvini@hcuge.ch


