Guideliner Catheter Facilitated Percutaneous Coronary Artery Intervention of an Anteriorly Displaced and Heavily Calcified Right Coronary Artery
ABSTRACT: Failure to deliver stents is one of the most common causes of procedural failure in contemporary percutaneous coronary intervention practice. The right coronary artery with an anomalous origin is an uncommon and challenging vessel for percutaneous intervention especially if this occurs in combination with heavy calcification. Choosing the appropriate guiding catheter is one important factor in determining procedural success. The technical difficulty of these anomalous vessels is reflected by the long procedure, fluoroscopy times, and high contrast volumes. Despite using the optimal guiding catheter, we may have difficulty advancing the stent in the distal part of the vessel due to the development of significant friction between the stent and the calcified vessel wall. We report a case of successful use of the Guideliner catheter (Vascular Solutions) for distal stent delivery in a patient with a right coronary artery with anomalous origin (anteriorly displaced) and heavy calcification.
J INVASIVE CARDIOL 2012;24(10):E222-E224
________________________________________________________
Case Report. A 73-year-old male patient with a history of diabetes mellitus, hypertension, and smoking presented to the cardiology clinic for intermittent angina. His electrocardiogram showed sinus rhythm with T inversion at inferior leads. He underwent diagnostic coronary catheterization via the femoral approach. The left coronary artery was cannulated with a Judkins left 4 (Cordis Corporation), which showed left anterior descending artery (LAD) and circumflex artery with severe calcification and no critical lesions (Figure 1A). We failed to cannulate the ostial right coronary artery (RCA) using a Judkins Right 4 and Amplatz Right I. Sub-selective injections using Amplatz Left I at left anterior oblique 30°-40° projection visualized an anteriorly displaced RCA (Figure 1B). Right coronary angiography demonstrated diffuse disease with heavy calcification and critical stenoses in the middle and distal portion of the anomalous RCA (Figures 1C and 1D).
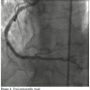
Coronary angioplasty was performed using a 7 Fr Amplatz Left I guiding catheter. Although the guiding catheter was not coaxial with the vessel, it allowed advancement of a 0.014´´ Balance Middleweight guidewire (Guidant Corporation) into the vessel, which redirected the tip of the catheter into coaxial engagement with the vessel. After advancing the guidewire at the distal vessel, multiple inflations of a 2.0 mm x 15 mm balloon were performed (up to 18 atm). Although the balloon easily crossed the lesion, it was not possible to advance a 2.5 mm x 20 mm Pl-Cr everolimus-eluting stent (Promus Element) at the distal lesion, due to insufficient backup support and heavy calcification. A 0.014 mm buddy wire (BHW, Guidant Corporation) was advanced across the lesion into the distal LAD to increase support and straighten the vessel. However, the stent was still unable to pass through successfully. We elected to aid stent delivery by performing extra deep intubation using the Guideliner 6 Fr catheter (mother and child technique). Using an inflated balloon in the distal lesion as an anchor, the Guideliner was advanced into the distal vessel. The tip of this catheter passed easily through the proximal segment, protruding by 4.1 cm into the RCA and allowed successful delivery of the stent at the distal lesion without resistance (Figure 2B). The procedure was completed by implanting 2 more non-overlapping stents (3.0 mm x 20 mm and 3.0 mm x 20 mm Promus Element stent) (Figures 2C and 2D) through the Guideliner catheter at the lesions of the mid portion of the vessel. A final postdilatation of the stents with a non-compliant balloon completed the procedure with an excellent angiographic result (Figure 3).
Discussion. Most series report ectopic RCAs as those originating outside the borders of the right coronary sinus. The incidence of these anomalies ranges between 0.043% and 0.46%,1,2 with considerable regional and ethnic variation. More frequently encountered and less frequently reported is the anteriorly displaced RCA variant, originating from the anterior third of the right sinus. This variant practically never runs an interarterial course (between the aorta and the pulmonic artery); is not known to be embedded within the aortic wall; and therefore is not known to be associated with any significant clinical syndromes.
However, anteriorly displaced RCAs usually cannot be selectively imaged with conventional RCA catheters and thus may still pose a serious problem during diagnostic or therapeutic coronary interventions. This difficulty can potentially translate into prolonged fluoroscopy and procedure times, high contrast loads, excessive use of catheters, and incomplete coronary studies. Optimal guiding catheter seating with the best possible coaxial alignment offering adequate backup support is extremely important when dealing with an anomalous RCA, especially if this occurs in combination with heavy calcification.
Despite improvements in stent profile, unsuccessful stent delivery still occurs in about 5% of the cases, and this is associated with poorer short and long-term outcomes.3 Advancement of a stent to a distal target lesion can be technically difficult in cases with proximal vessel tortuosity, angulations, and/or calcification due to the development of significant friction between the stent and the vessel wall. Chronic total occlusions, long lesions, previously implanted stents in the proximal vessel, and anomalous coronary anatomy are also associated with stent delivery failure.
Although the balloon easily crossed the lesion in our case, we could not advance the stent at the distal lesion due to insufficient backup support and heavy calcification (due to significant friction between the stent and the calcified vessel wall). The catheter was not coaxial and easily backed out upon meeting resistance. Several technical modifications were performed to increase the guiding catheter support: maximizing the size of guiding catheter (7 Fr), switching to a stiffer wire, double wiring, adequate balloon predilatation and lesion preparation, and more trackable and deliverable stents. However, the stent was still unable to pass through successfully. Therefore, we elected to aid stent delivery by performing extra deep intubation using the Guideliner 6 Fr catheter (mother and child technique). Using an inflated balloon in the distal lesion as an anchor, the Guideliner was advanced into the distal vessel and allowed successful delivery of the stent at the distal lesion without resistance.
The concept with double coaxial guiding catheter technique (also known as mother and child or 5 in 6) is to combine the passive support of a large guiding catheter with the ability to insert a small guiding catheter much deeper into the target vessel.4,5 This system has been successfully used for increasing backup in tortuous and heavily calcified vessels and chronic total occlusion cases, as well as in the treatment of bifurcation lesions with provisional stenting.
The Guideliner catheter is compatible with standard guiding catheters and is available in three sizes corresponding to 6, 7, and 8 Fr guides. The length of the device is 135 cm (longer than conventional guiding catheter) and it is comprised of a 20 cm yellow straight extension for which the inner diameter is 1 Fr size smaller than the guiding catheter. This extension is tri-layered. The inner most layer is polytetrafluoroethylene; the second layer is a stainless steel coil, which imparts flexibility and strength; and the outer lining is a pebax polymer with silicone coating. The silicone coating imparts lubricity. Potential complications from its use include air embolism, thrombosis, arterial spasm, and proximal target vessel dissection or perforation, especially in the presence of proximal disease. Every time a catheter is used for deep intubation of a coronary vessel, regardless of how soft the tip is, there remains a risk of dissection of the ostium and/or the proximal aspect of the vessel. It is no different with the GuideLiner catheter with reported dissection rates of 0.5%-1%.6-8 Particular caution needs to be exercised in the setting of an anomalous origin of a vessel and in the setting of a diffusely diseased proximal segment. The safest approach to minimize the risk of wall damage is to advance the catheter over a wire and microcatheter or a balloon catheter with the balloon deflated or in the distal vessel. In some cases, catheter advancement can be aided by inflating the balloon in the target lesion (distal anchoring). This maneuver reduces the dead space between the GuideLiner catheter and guidewire, providing a tapered, atraumatic leading edge.
We report the successful use of the Guideliner catheter for distal stent delivery in a patient with anomalous origin and heavy calcification in the RCA. Successful percutaneous coronary intervention of anomalous coronary arteries greatly relies on optimal guiding catheter seating and backup support. This technique resulted in a successful procedure, provided satisfactory backup support for passage of stent and balloon catheters, and reduced procedural time and radiation exposure, as well as the amount of radiocontrast agent used.
References
- Garg N, Tewari S, Kapoor A, Gupta DK, Sinha N. Primary congenital anomalies of the coronary arteries: a coronary arteriographic study. Int J Cardiol. 2000;74(1):39-46.
- Kardos A, Babai L, Rudas L, et al. Epidemiology of congenital coronary artery anomalies: a coronary arteriography study on a central European population. Cathet Cardiovasc Diagn. 1997;42(3):270-275.
- Feldman T. Tricks for overcoming difficult stent delivery. Catheter Cardiovasc Interv. 1999;48(3):285-286.
- Mamas MA, Fath-Ordoubadi F, Fraser D. Successful use of the Heartrail III catheter as a stent delivery catheter following failure of conventional techniques. Catheter Cardiovasc Interv. 2008;71(3):358-363.
- Stys AT, Lawson W, Brown D. Extreme coronary guide catheter support: a case of a novel telescopic guide catheter system with a contralateral aortic wall support. J Invasive Cardiol. 2007;19(4):107-110.
- Rao U, Gorog D, Syzgula J, Kumar S, Stone C, Kukreja N. The GuideLiner ‘‘child’’ catheter. EuroIntervention. 2010;6(2):277-279.
- Mamas MA, Fath-Ordoubadi F, Fraser DG. Distal stent delivery with Guideliner catheter: first in man experience. Catheter Cardiovasc Interv. 2010;76(1):102-111.
- Pershad A, Sein V, Laufer N. GuideLiner catheter facilitated PCI – a novel device with multiple applications. J Invasive Cardiol. 2011;23(11):E254-E259.
________________________________________________________
From Euromedica-Blue Cross Hospital, Thessaloniki, Greece.
Disclosure: The authors have completed and returned the ICMJE Form for Disclosure of Potential Conflicts of Interest. The authors report no conflicts of interest regarding the content herein.
Manuscript submitted March 1, 2012, provisional acceptance given April 9, 2012, final version accepted April 30, 2012.
Address for correspondence: Christos Graidis, Euromedica-Blue Cross Hospital V.Dousmani 23, Thessaloniki, 54644, Greece. Email: chgraidi@otenet.gr


