Flow-Dependent Changes Resulting in Restoration of Patency of the Left Internal Mammary Artery Graft After Documented Atresia
ABSTRACT: The left internal mammary artery (LIMA) has been the conduit of choice in coronary artery bypass grafting (CABG). Atresia of the LIMA is a common finding after CABG in patients with less than critical disease of the native vessel. However, it is extremely rare for an atretic LIMA to restore its normal caliber after progression of native coronary artery disease. We report a patient in whom the LIMA was occluded 2 years after CABG, but was found to be completely patent 5 years later, after worsening of the left anterior descending artery disease.
J INVASIVE CARDIOL 2011;23:207–209
___________________________________
The left internal mammary artery (LIMA) has been the conduit of choice in coronary artery bypass grafting (CABG).1 Atresia of the LIMA is a common finding after CABG in patients with less than critical disease of the native vessel.2 However, it is extremely rare for an atretic LIMA to restore its normal caliber after progression of native coronary artery disease. We report a patient in whom the LIMA was occluded 2 years after CABG, but was found to be completely patent 5 years later, after worsening of the left anterior descending artery (LAD) disease.
Case Report
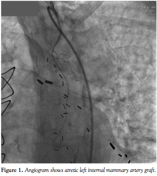
A 67-year-old female was admitted with diarrhea. She underwent CABG in 2005 for severe triple-vessel coronary artery disease. She was found to have an atretic LIMA graft on a subsequent angiogram 2 years later (Figure 1).
At that time, percutaneous coronary intervention (PCI) of the native LAD was successfully performed using drug-eluting stents (DES). She remained asymptomatic since then. The patient denied any cardiac complaints on this admission. Her initial work-up was unremarkable. On the second hospital day, she complained of chest pain and was found to be
diaphoretic and hypotensive. Electrocardiography (ECG) showed atrial fibrillation with rapid ventricular response and ST elevation in leads V1–V2. Hemodynamic stabilization was achieved with amiodarone and digoxin. Emergency left-heart catheterization was performed and thrombus was noted at the site of the prior stent without flow in the distal vessel (Figure 2). The right coronary artery and LIMA graft, respectively, were not visualized, as they were known to be totally occluded and atretic.
Primary percutaneous coronary intervention (PCI) of the LAD was performed.
Thrombus was aspirated and balloon-facilitated PCI using DES was accomplished uneventfully. ECG changes normalized after intervention and restoration of thrombolysis in myocardial infarction (TIMI) 3 flow, accompanied by relief of the chest pain. Post-PCI angiography showed competitive flow in the distal LAD (Figure 3).
The LIMA graft was engaged for further evaluation and selective angiography
showed a widely patent LIMA graft with prompt opacification of the LAD antegradely and retrogradely to the anastomosis site (Figure 4). The patient remained hemodynamically stable and had an uneventful hospital course.
Discussion
After the initial development by Dr. Green,1 LIMA grafting to the LAD gained widespread acceptance as the arterial conduit of choice. Initial enthusiasm was limited by early post-operative spasm resulting in catastrophic consequences.3 Later comparison of arterial and venous conduits showed clear benefit of the LIMA graft with long-term patency rates of 90–95%, as compared to 50–60% for venous grafts at 10 years.4-6 Development of atherosclerosis in the LIMA is extremely rare and usually is not flow-restrictive. The most common cause of initial failure of a LIMA graft is generally due to technical issues at the anastomosis site.7 Despite overall excellent patency, it is not uncommon to find diffuse narrowing ultimately leading to graft failure. Various causes have been suggested including damage during harvesting, lack of innervations and vascular supply of the dissected graft, spasm and inflammation as a result of post-pericardiotomy syndrome7 and steal physiology from a large, undivided proximal branch of the LIMA.8 Competitive flow9 from a less than severely diseased native vessel leading to the longitudinal narrowing of LIMA was first described by Barner10 in 1974 and was thought to be a result of disuse atrophy. Same phenomenon was later described by Geha and Baue11 and named “distal thread phenomenon."12 Case series and observational studies were highly sugestive of the competitive flow from the native vessel as the underlying mechanism of this entity.13–15
Flow dynamics in arterial grafts are different from venous grafts.16 The diameter and flow reserve in a venous graft does not change with time. However, early after surgery, the LIMA has higher flow velocities compensating for the smaller diameter and low flow reserve. With progression of the native coronary artery disease, there is a fall of pressure in the distal arterial bed that increases the diameter of the LIMA with improved flow reserve and a decrease in the flow velocity. This physiologic change in the caliber of the LIMA is therefore a result of autoregulation that occurs in response to changes in the competitive flow in the native recipient vessel and its distal bed.17 In this case report, we described a patient in whom the LIMA had the distal thread phenomenon 2 years after implantation as a result of less than critical disease in the native LAD. With the progression of the disease in the native vessel, the flow dynamics reversed and there was a fall in the distal pressure that led to augmentation of flow in the LIMA. Resultant shear stress enhanced the release of endothelial nitrous oxide leading to smooth muscle relaxation and restoration of patency of the LIMA graft. Thus, although the LIMA may have appeared to become non-functional during high flow in the native LAD, flow through the LIMA can markedly increase when needed if the recipient artery becomes occluded proximally. Surgical guidelines have consequently been expanded to include arterial grafting of coronary arteries with less than critical stenosis.18,19 Another mechanism was described by Shammas et al,20 who reported a case of string sign reversal after interruption of rich collateral flow to the distal vessel supplied by the graft. They went on to suggest that the adaptability of the IMA graft may be explained, at least in part, by the preservation of the vasavasorum and nervorum, as it is mobilized as a lymphovascular pedicle. This would also be consistent with observations that an IMA graft can increase its size and augment its flow to match the physiologic demand of the territory supplied.21
Our case raises the question: Why was the LIMA closed in 2007, when presumably severe disease in the LAD was present, and its caliber restored in 2010 when the patient presented with stent thrombosis? If we believe that the LIMA restores its caliber when there is decline of the flow in the native vessel, then it should have reopened at the previous event when LAD intervention had to be performed for significant disease in the LAD. We reviewed the angiogram from 2007 and it was noted that there was a moderate-to-severe lesion in the LAD. Unfortunately there was no functional assessment of the lesion done at that time and the operator opted to perform PCI of the LAD in light of the patient’s symptoms and the fact that the LIMA was atretic. Certainly, it would have been useful to have more functional information at that time in terms of stress test or fractional flow reserve to answer this question.
Conclusion. Although very rarely22–24 described in the literature, this case highlights the importance of understanding the flow dynamics in arterial grafts, especially the LIMA. If LIMA appears to be atretic after CABG, there is a possibility of reopening of the LIMA with progression of coronary artery disease in the native vessel. Moreover, the question arises of whether we should use the LIMA for a moderate lesion in a patient who is undergoing open heart surgery for valvular lesions or significant multivessel disease with less severe stenosis of the native LAD. Further investigation into the underlying mechanisms and the determinants of this ability to maintain a recruitable patency are clearly indicated and will provide important clinical insight into the care of such patients.
References
- Green GE. Use of the internal mammary artery in myocardial revascularization. Ann Thorac Surg 1988;45:453–454.
- Glazier JJ, Giri S, Primiano CA. Atresia of internal thoracic artery grafts following placement to non critically obstructed vessels. Cathet Cardiovasc Diagn 1997;42:298–301.
- Jones EL, Lattouf OM, Weintraub WS. Catastrophic consequences of internal mammary artery hypotension. J Thorac Cardiovasc Surg 1989;98:902–907.
- Cameron A, Kemp H Jr, Green GE. Bypass surgery with internal mammary graft: 15 year follow-up. Circulation 1986;74:III-30.
- Loop FD, Lytle BW, Cosgrove DM, et al. Influence of the internal mammary artery graft on 10-year survival and other cardiac events. N Engl J Med 1986;314:1–6.
- Acinapura AJ, Jacobowitz IJ, Kramer MD, et al. Internal mammary artery bypass: Thirteen years of experience: Influence of angina and survival in 5125 patients. J Cardiovasc Surg 1992;33:559.
- Mills NL, Ochsner JL. Technique of internal mammary-to-coronary artery bypass. Ann Thorac Surg 1974;17:237–246.
- Singh RN, Sosa JA. Internal mammary artery-coronary artery anastomosis. Influence of the side branches on surgical result. J Thorac Cardiovasc Surg 1981;82:909–914.
- Hashimoto H, Isshiki T, Ikari Y, et al. Effects of competitive blood flow on arterial graft patency and diameter. Medium-term postoperative follow-up. J Thorac Cardiovasc Surg 1996;111:399–407.
- Barner HB. Double internal mammary-coronary artery bypass. Arch Surg 1974;109:627–630.
- Geha AS, Baue AE. Early and late results of coronary revascularization with saphenous vein and internal mammary artery grafts. Am J Surg 1979;137:456–463.
- Siebenmann R, Egloff L, Hirzel H, et al. The internal mammary artery “string phenomenon.” Analysis of 10 cases. Eur J Cardiothorac Surg 1993;7:235–238.
- Villareal RP, Mathur VS. The string phenomenon: an important cause of internal mammary artery graft failure. Texas Heart Inst J 2000;27:346–349.
- Spence PA, Zeri RS, Spence PA, et al. Competitive flow from a fully patent coronary artery does not limit acute mammary graft flow. Ann Thorac Surg 1992;54:21–26.
- Lust RM, Zeri RS, Spence PA, et al. Effect of chronic native flow competition on internal thoracic artery grafts. Ann Thorac Surg 1994;57:45–50.
- Akasaka T, Yoshikawa J, Youshida K, et al. Flow capacity of internal mammary artery grafts: Early restriction and later improvement assessed by Doppler guide wire: Comparison with saphenous grafts. J Am Coll Cardiol 1995;25:640–647.
- Nasu M, Akasaka T, Okazaki T, et al. Postoperative flow characteristics of internal thoracic artery grafts. Ann Thorac Surg 1995;59:154–162.
- Cosgrove DM, Loop FD, Saunders CL, et al. Should coronary arteries with less than fifty percent stenosis be bypassed? J Thorac Cardiovasc Surg 1981;82:520–530.
- Kawasuji M, Sakakibara N, Takemura H, et al. Is internal thoracic artery grafting suitable for a moderately stenotic coronary artery? J Thorac Cardiovasc Surg1996;112:253–259.
- Shammas RL, Mehta PM, Jolly SR, et al. Reversibility of the “string sign” of the left internal mammary artery graft. Cathet Cardiovasc Diagn 1993;30:236 –239.
- Singh RN, Beg RA, Kay EB. Physiological adaptability: The secret of success of the internal mammary artery grafts. Ann Thorac Surg 1986;41:247–250.
- Dincer B, Barner HB. The “occluded” internal mammary artery graft: Restoration of patency after apparent occlusion associated with progression of coronary disease. J Thorac Cardiovasc Surg 1983;85:318–320.
- Shamoon FE, Goldstein J, Haft JI. Restoration of patency of left internal mammary artery graft with progression of the underlying left anterior descending coronary artery disease. Cathet Cardiovasc Diagn 1997;2:213–215.
- Villareal RP, Mathur VS. Recruitable patency of the internal mammary artery graft. Catheter Cardiovasc Interv 2001;52:95–99.
______________________________
From the New York Methodist Hospital, Brooklyn, New York. The authors report no conflicts of interest regarding the content herein. Manuscript submitted February 1, 2011 and accepted Febraury 14, 2011. Address for correspondence: Raja A. Nawaz, MD, Department of Cardiology, New York Methodist Hospital, 476 6th Street, Brooklyn, NY 11215. E-mail: ratifn@yahoo.com


