First-in-Man Percutaneous Transaxillary Artery Placement and Removal of the Impella 5.0 Mechanical Circulatory Support Device
Abstract: We report on the fully percutaneous insertion and removal of the Impella 5.0 microaxial flow device via the axillary artery in a patient with cardiogenic shock and peripheral artery disease. Due to inadequate iliofemoral vasculature and desire for mobility, the axillary artery was felt to be the most appropriate access approach for temporary mechanical circulatory support. The procedure was well tolerated and the patient was supported for 17 days, at which time the device was safely removed in a fully percutaneous manner at the time of permanent left ventricular assist device placement. Percutaneous transaxillary placement of the Impella 5.0 device is a feasible support option in cardiogenic shock in patients with hostile iliofemoral disease.
J INVASIVE CARDIOL 2017;29(5):E53-E59.
Key words: axillary artery, percutaneous access, axial flow catheter, mechanical circulatory support, temporary circulatory support, heart failure
Contemporary management of cardiogenic shock has increasingly incorporated mechanical circulatory support in addition to conventional pharmacotherapy to address the high associated mortality, which can be in excess of 80%.1 The Impella platform of microaxial flow catheters (Abiomed, Inc) provides temporary circulatory support for high-risk cardiac procedures and cardiogenic shock,2-5 typically via the femoral artery or via surgical placement. The largest of the devices, the 21 Fr Impella 5.0 device, provides up to 5.0 L/min of cardiac output and is sufficiently robust to provide complete left-sided circulatory support as a bridge to durable mechanical circulatory support.6 Peripheral artery disease, however, is a common comorbidity and may preclude large-bore transfemoral access due to severe iliofemoral disease. Percutaneous transaxillary artery insertion of 12 Fr Impella 2.5 and 14 Fr Impella CP devices has been recently reported,7,8 but percutaneous access for the significantly larger-bore 21 Fr Impella 5.0 device has thus far been attempted only via the femoral artery. To date, transaxillary insertion of Impella 5.0 has required surgical exposure and vascular grafting,9 due in part to a lack of an effective introducer sheath and smaller caliber of axillary arteries in general.10 In theory, the transaxillary approach offers several advantages over the femoral approach, including increased patient comfort and mobility, opportunity of rehabilitation, device stability, reduced infection risk, and preservation of iliofemoral vascular access. The risks of vascular and brachial plexus injuries during insertion or removal, however, are considerations in the decision to pursue transaxillary artery large-bore access. For these reasons, a surgical approach to axillary artery access has been the convention. Nevertheless, surgical access is associated with potentially critical time delays to mobilize anesthesia and surgical colleagues, may be associated with greater blood loss, often requires a specialized hybrid catheterization/surgical suite or operating room, and does not completely mitigate the potential for vascular or nerve injury.
Case Example
A 55-year-old man with history of atrial fibrillation on apixaban, mixed ischemic and non-ischemic dilated cardiomyopathy with severe left ventricular (LV) dysfunction (LV ejection fraction of 4%-9%), and pulmonary hypertension presented with acute-on-chronic decompensated heart failure. The patient was refractory to medical therapy and deteriorated on escalating dosages of inotrope and vasopressor support to INTERMACS (Interagency Registry for Mechanical Circulatory Support) profile 1 advanced heart failure, with a right atrial pressure of 11 mm Hg, right ventricular (RV) pressure of 63/11 mm Hg, pulmonary artery pressure of 71/41 mm Hg (mean, 51 mm Hg), mean end-expiratory pulmonary capillary wedge pressure of 28 mm Hg, and cardiac index of 1.3 L/min/m2 on high-dose dobutamine and epinephrine therapy. Left heart catheterization did not reveal significant obstructive coronary disease.
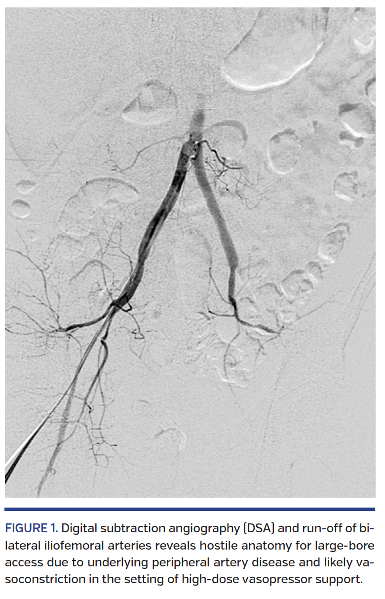
Given the severity of cardiogenic shock, the patient was emergently considered for insertion of an Impella 5.0 device to allow for stabilization and further evaluation of advanced heart failure therapies including transplant and durable LV assist device (LVAD) placement. A heart team discussion with advanced heart failure, interventional cardiology, and cardiothoracic surgery physicians agreed on the choice of support and preference for percutaneous placement. Digital subtraction angiography (DSA) and run-off of bilateral iliofemoral arteries were performed, which revealed hostile anatomy for large-bore access due to underlying peripheral artery disease and likely vasoconstriction in the setting of high-dose vasopressor support (Figure 1; Video 1). Angiography of the right axillary and subclavian arteries demonstrated they were relatively modest in caliber with minimum diameter of 3.8-4.7 mm by quantitative vascular angiography, but free of apparent atherosclerosis, calcification, or tortuosity (Figure 2A, Video 2). The right axillary artery was selected as the approach for percutaneous Impella 5.0 placement.


A 6 Fr JR4.0 was advanced over a 0.035˝ J-wire from the right femoral artery to the right innominate artery. The J-wire was exchanged for a Platinum Plus 0.018˝ guidewire (Boston Scientific), which was advanced past the brachial artery. An 8 x 20 mm Admiral Xtreme percutaneous transluminal angioplasty balloon (Medtronic) was positioned over the 0.018˝ wire in the proximal innominate artery for hemostasis as needed in anticipation of axillary artery access. Using micropuncture modified Seldinger technique under ultrasound and fluoroscopic guidance, 6 Fr access was obtained in the right axillary artery with a shallow trajectory using the 0.018˝ guidewire for reference with attention to minimize angulation in approach to facilitate device delivery (Figure 2B). A single ProGlide Perclose vascular closure device (Abbott Vascular) was placed in the axillary artery in “pre-close” fashion for anticipated “cinching” at the end of the procedure. An 8 Fr sidearm sheath was placed in the axillary artery and a 6 Fr JR4.0 catheter was then advanced over a 0.035˝ J-wire into the LV. At that time, LV end-diastolic pressure was measured at 37 mm Hg. A hand-shaped Amplatz Super Stiff 0.035˝ wire (Boston Scientific) with a U-bend was then placed in the ventricle, while the JR4.0 catheter followed by the 8 Fr sheath were removed. Fastidious dilation of the axillary tract was performed in serial fashion up to 22 Fr using hydrophilic large-bore dilators (Edwards Lifesciences) with minimal blood loss maintained via manual compression of the axillary artery between dilator exchanges. Given the small caliber of the axillary artery, the dilators were introduced slowly and advanced only 3-4 cm into the vessel. Given the small diameter of the axillary artery at 3.8-4.7 mm, we opted for sheathless insertion of the Impella 5.0 device to limit the size of the arteriotomy (alternatively, we have previously used the 23 Fr Impella RP peel-away venous sheath for percutaneous insertion in the femoral artery). The 6 Fr JR4.0 catheter was then reintroduced sheathless to the ventricle to exchange the Amplatz Super Stiff for two hand-shaped 0.018˝ wires (a Platinum Plus wire and the included Impella wire). The wires were again shaped with broad curves to accommodate the ventricular apex. The JR4.0 catheter was then removed. The Impella 5.0 device was carefully delivered without difficulty over the Impella wire sheathless with the Platinum Plus wire serving as a “buddy wire” to maintain vascular access should the delivery wire kink or otherwise become damaged, necessitating removal. Both 0.018˝ wires were removed and the Impella was initiated with excellent augmentation of cardiac output to >4.5 L/min (Figure 3). The inline repositioning sheath was then advanced to the arteriotomy and the Perclose suture was drawn taught to cinch around the inline sheath to provide hemostasis (Figure 4, left). DSA angiography of the right subclavian and axillary arteries revealed no evidence of thrombus, dissection, or perforation (Video 3). Pulsatile flow to the right hand was confirmed by palpation and Doppler, and monitored continuously with pulse oximetry of the thumb. The Impella 5.0 catheter was sutured into place and sterilely dressed following reconfirmation of positioning under fluoroscopy.


The patient’s cardiogenic shock and heart failure syndrome improved markedly with rapid weaning of inotrope and vasopressor support, recovery of end-organ function, and normalization of cardiac index to 2.9 L/min/m2. The percutaneous device continuously maintained augmentation of cardiac output >4.5 L/min and was well tolerated without vascular or neurologic compromise. Minor but persistent bleeding at the insertion site was noted post procedure day 7 following inadvertent manipulation of the Impella catheter. Following unsuccessful manual pressure, a FemoStop Gold (St. Jude Medical) was placed across the axilla (Figure 4, right) for 12 hours to reestablish patent hemostasis.
On Impella day 17, the patient underwent durable LVAD placement in the hybrid operating room with coordinated percutaneous removal and closure of the Impella device. Not unexpectedly, angiography at the time of removal revealed non-occlusive laminar thrombus at the axillary arteriotomy site with patent distal flow (Figure 5A, Video 4). For distal embolic protection, a 4 mm FilterWire EZ embolic protection system (Boston Scientific) was positioned in the proximal brachial artery via 6 Fr right femoral access. To assist in hemostasis, an 8 x 20 mm Admiral Xtreme percutaneous transluminal angioplasty balloon was positioned proximal to the axillary arteriotomy site over the FilterWire. Wire access into the axillary artery across the arteriotomy was reestablished by pulling the Impella back such that the outflow cage was externalized but the inflow cage remained in the axillary artery. A standard 0.035˝ J-wire was introduced into the artery by wiring the Impella device backward through the blood outlet hypotube (Figure 5B). Bleeding was minimized during this time by inflating the proximal Admiral balloon to 2 atm and providing proximal manual pressure. The Impella 5.0 device was then completely withdrawn with firm traction. Suture-mediated closure was attempted with deployment of three Perclose vascular closure devices, but residual bleeding was noted. Facilitated hemostasis with a 3 minute inflation of the Admiral balloon across the arteriotomy was attempted without success, at which time an 8 x 50 mm Viabahn endoprosthesis (W. L. Gore & Associates, Inc) was successfully deployed in the axillary artery to achieve patent hemostasis (Figure 5C). During this process, the non-occlusive laminar thrombus migrated distally to the axillary artery, where it was noted to be occlusive. This was treated with retrieval using the FilterWire, and aspiration thrombectomy using an 8 Fr, 90 cm Pinnacle Destination guiding sheath (Terumo Interventional Systems). Angioplasty using a 6 x 150 mm Sterling balloon (Boston Scientific) was also performed in the brachial and axillary arteries. Angiography demonstrated residual non-occlusive thrombus in the brachial artery, but adequate distal run-off (Figure 5D, Video 5) confirmed by radial artery duplex ultrasound. The residual thrombus was treated with therapeutic anticoagulation, which was also indicated for the LVAD. Arterial duplex ultrasound of the right upper extremity 5 days after removal revealed pulsatility without evidence of significant stenosis in the brachial and antegrade flow into all digits.

Ultimately, the patient’s postoperative course was complicated by RV dysfunction requiring right-sided support, and significant post-sternotomy and gastrointestinal bleeding. The patient expired following multiorgan failure from hemorrhagic and vasoplegic shock 8 days after Impella removal.
Discussion
The severity of the patient’s cardiogenic shock necessitated emergent placement of an Impella 5.0 device rather than the smaller CP device. Bilateral iliofemoral anatomy proved hostile to large-bore access and required consideration of alternative vascular access. The axillary artery provided a safe and effective approach to fully support the patient to durable mechanical circulatory support. Axillary access has the additional benefit of allowing immediate patient mobilization and rehabilitation, an important aspect of this patient’s care, as opposed to prolonged bedrest. The ability to safely and effectively deliver and remove an Impella 5.0 via multiple points of vascular access is an important advance in the percutaneous management of cardiogenic shock.
Conclusion
Percutaneous insertion and removal of an Impella 5.0 device via the axillary artery is a challenging but viable approach for temporary mechanical circulatory support in patients with severe cardiogenic shock.
Watch the video series here.
References
1. Goldberg RJ, Samad NA, Yarzebski J, Gurwitz J, Bigelow C, Gore JM. Temporal trends in cardiogenic shock complicating acute myocardial infarction. N Engl J Med. 1999;340:1162-1168.
2. O’Neill WW, Kleiman NS, Moses J, et al. A prospective, randomized clinical trial of hemodynamic support with Impella 2.5 versus intra-aortic balloon pump in patients undergoing high-risk percutaneous coronary intervention: the PROTECT II study. Circulation. 2012;126:1717-1727.
3. Lauten A, Engstrom AE, Jung C, et al. Percutaneous left-ventricular support with the Impella-2.5-assist device in acute cardiogenic shock: results of the Impella-EUROSHOCK-registry. Circ Heart Fail. 2013;6:23-30.
4. Seyfarth M, Sibbing D, Bauer I, et al. A randomized clinical trial to evaluate the safety and efficacy of a percutaneous left ventricular assist device versus intra-aortic balloon pumping for treatment of cardiogenic shock caused by myocardial infarction. J Am Coll Cardiol. 2008;52:1584-1588.
5. Lamarche Y, Cheung A, Ignaszewski A, et al. Comparative outcomes in cardiogenic shock patients managed with Impella microaxial pump or extracorporeal life support. J Thorac Cardiovasc Surg. 2011;142:60-65.
6. Samoukovic G, Rosu C, Giannetti N, Cecere R. The Impella LP 5.0 as a bridge to long-term circulatory support. Interact Cardiovasc Thorac Surg. 2009;8:682-683.
7. Mathur M, Hira RS, Smith BM, Lombardi WL, McCabe JM. Fully percutaneous technique for transaxillary implantation of the Impella CP. JACC Cardiovasc Interv. 2016;9:1196-1198.
8. Tayal R, Barvalia M, Rana Z, et al. Totally percutaneous insertion and removal of Impella device using axillary artery in the setting of advanced peripheral artery disease. J Invasive Cardiol. 2016;28:374-380.
9. Sassard T, Scalabre A, Bonnefoy E, Sanchez I, Farhat F, Jegaden O. The right axillary artery approach for the Impella Recover LP 5.0 microaxial pump. Ann Thorac Surg. 2008;85:1468-1470.
10. Tayal R, Iftikhar H, LeSar B, et al. CT angiography analysis of axillary artery diameter versus common femoral artery diameter: implications for axillary approach for transcatheter aortic valve replacement in patients with hostile aortoiliac segment and advanced lung disease. Int J Vasc Med. 2016;2016:3610705.
*Joint first authors.
From the Division of Cardiology, Department of Medicine, Regional Heart Center, University of Washington, Seattle, Washington.
Disclosure: The authors have completed and returned the ICMJE Form for Disclosure of Potential Conflicts of Interest. Dr McCabe reports minor consulting and proctoring honoraria from Abiomed. Dr Mahr reports minor consulting honoraria from Abiomed, HeartWare-Medtronic, and Thoratec-Abbott. The remaining authors report no conflicts of interest regarding the content herein.
Manuscript submitted March 2, 2017 and accepted March 7, 2017.
Address for correspondence: James M. McCabe, MD, 1959 NE Pacific Street, 3rd Floor, Seattle, WA 98195. Email: jmmccabe@cardiology.washington.edu


