The Feasibility of Using Ikari Left Catheter Via the Right Radial Approach in a Patient with Dextrocardia for Better Guiding Support
ABSTRACT: Dextrocardia with situs inversus is a rare cardiac anomaly, and the incidence of ischemic heart disease is the same as the general population. In most of these patients, interventionalists may encounter technical difficulties while handling guiding catheters and acquiring more back-up forces. We describe a case of successful anatomical right coronary intervention with Ikari left guiding catheter in a patient with situs inversus.
J INVASIVE CARDIOL 2011;23(12):E288-E290
Key words: dextrocardia, left internal mammary artery, situs inversus
______________________________________
Dextrocardia is a rare cardiac anomaly, which occurs rarely with a frequency of one or two in 20000 newborn.1 The incidence of coronary heart disease in dextrocardia is similar to that of the general population.2,3 Therefore, interventionalists may have very few clinical experiences with catheter interventions on patients with dextrocardia. There have been only a few reports of percutaneous coronary intervention (PCI) in patients with this anomaly. In the management of situs inversus, interventionalists have difficulty in interpreting unfamiliar coronary geometry,4,5 handling guiding catheters, and acquiring more back-up forces. In this report, the peculiar Ikari guiding catheter was used to perform successful transradial intervention for right coronary artery stenosis in a patient with dextrocardia and situs inversus.
Case Report. A 72-year-old woman was admitted to our hospital for suspicion of acute coronary syndrome. She suffered for the previous 2 weeks with worsening chest pain on effort.
Elevation of creatine kinase or troponin T level was not detected on blood examination. Dextrocardia was detected on chest x-ray (Figure 1A). Electrocardiography showed inverted T-waves in II, III, and aVF in right precordial leads on admission (Figure 1B). From right intercostal window, left ventricular contraction was normal on echo examination. Risk factors for ischemic heart disease were hypertension, diabetes, and hypercholesterolemia.
Initial management of acute coronary syndrome involved administration of oral aspirin, as well as intravenous heparin and nitrate. Diagnostic cardiac catheterization was carried out from the right radial artery on day 3. Coronary engagement was difficult because of the dextrocardia. We estimated an Ikari left catheter to be more suitable for engaging this unusual anatomical right coronary artery (RCA), but diagnostic Ikari left catheter was not available in the market at that time. Thus, a Judkins right 4, adequately shaped with heat before
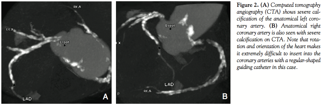
cannulation, was used for the anatomical RCA (left-sided), which revealed that the RCA had an atheromatous stenosis at the ostia. Cannulation for the anatomical left coronary artery (LCA; right-sided) using Judkins left 4 was also difficult, even effectually shaped. Stenosis at the distal left main and the ostial left anterior descending coronary artery (LAD) was ambiguous because of the insufficient cannulation for LCA. Bypass surgery would be suggested if the stenosis was at the anatomical left main. To determine the course to be taken, we performed 64-slice multidetector computed tomography. It showed dextrocardia with severely calcified coronary arteries (Figures 2A and 2B). As a result. stenosis was difficult to diagnose because of the severe calcification. On day 5, coronary catheterization was carried out again. A 6 Fr sheath was inserted at the right radial artery. An Ikari left 3.0 Heartrail II guiding catheter (Terumo Corporation) was engaged to the anatomical LCA. The engagement for LCA was better than Judkins left catheter and so better angiography was performed (Figures 3A and 3B). Using intravascular ultrasound (IVUS; Atlantis Pro, Boston Scientific), minimal lumen diameter was 2.42 × 3.18 mm (minimal lumen diameter, 6.15 mm2) at the LAD ostia (Figure 3C). Based on the angiography and IVUS findings, we chose PCI for the RCA ostial lesion, not bypass surgery. The same Ikari left 3.0 guiding catheter was engaged to the anatomical RCA (Figure 4A); the catheter engaged nicely, but back-up was not sufficient for the calcified lesion, after a Runthrough guidewire (Terumo Corporation) was passed through the lesion. Insertion of a Grandslam guidewire (Abbott Vascular) as a parallel wire proved satisfactory. Predilatation was performed with a 2.5 mm Hiryu balloon (Terumo Corporation) at 12 atm. A 3.5 × 15 mm Vision stent (Abbott Vascular) was then deployed to the ostial lesion (Figure 4B). Postdilatation was done with a 3.0 × 10 mm Powered Lacross balloon (Goodman) at 24 atm. This gave an excellent final angiographic result, and her angina attack disappeared postintervention (Figure 4C).
Discussion. We report a dextrocardia case with successful PCI. Catheter insertions into the coronary arteries were extremely difficult in this case. However, it was possible using an Ikari left 3.0 catheter. Moreyra et al first reported coronary angioplasty in a dextrocardia patient and they recommended using a multipurpose guiding catheter because of the difficulty in engaging coronary ostia with a regular-type catheter such as Judkins.6 Some authors have chosen non-regular shaped guiding catheters, such as multipurpose,6 Amplatz left,7 extra back-up,8 and EBU7 to acquire a stronger back-up force in left coronary artery lesions.
Almost all culprit lesions in the previous case reports were in the LCA, and some reports have chosen Judkins right catheter for right coronary lesions.9-11 There have been few case reports of the percutaneous treatment of RCA stenosis in dextrocardia. To the best of our knowledge, this report is the first successful intervention via the radial route on a right coronary stenosis.
The Ikari catheter was reported as a guiding catheter for upper limb approach. A detailed analysis of back-up force mechanics showed that the Ikari guiding catheter had stronger back-up force than other catheters.12,13 Furthermore, the Ikari left type has a high success rate for both RCA and LCA.14 At present, Ikari left is considered to be the best single catheter for RCA and LCA; in this report, we showed it also worked for these arteries even with dextrocardia.
Acknowledgment. Discussions with Dr. Toru Asai and Mr. Koji Arata, Clinical Engineering Technologist, have been illuminating.
References
- Maldjian PD, Saric M. Approach to dextrocardia in adults: review. AJR Am J Roentgenol. 2007;188(6 Suppl):S39-S49; quiz S35-S38.
- Garg N, Agarwal BL, Modi N, et al. Dextrocardia: an analysis of cardiac structures in 125 patients. Int J Cardiol. 2003;88(2-3):143-155; discussion 155-156.
- Hynes KM, Gau GT, Titus JL. Coronary heart disease in situs inversus totalis. Am J Cardiol. 1973;31(5):666-669.
- Goel PK. Double-inversion technique for coronary angiography viewing in dextrocardia. Catheter Cardiovasc Interv. 2005;66(2):281-285.
- Yabe Y, Tsukahara R. Percutaneous transluminal coronary angioplasty for culprit lesions in patients with post myocardial infarction angina based on dextrocardia and anomalous coronary arteries. Case reports and methods. Angiology. 1995;46(5):431-440.
- Moreyra AE, Saviano GJ, Kostis JB. Percutaneous transluminal coronary angioplasty in situs inversus. Cathet Cardiovasc Diagn. 1987;13(2):114-116.
- Chen JP. Repeat right transradial percutaneous coronary intervention in a patient with dextrocardia: the right approach to the right-sided heart. Catheter Cardiovasc Interv. 2007;69(2):223-226.
- Macdonald JE, Gardiner R, Chauhan A. Coronary angioplasty via the radial approach in an individual with dextrocardia. Int J Cardiol. 2008;131(1):E10-E11.
- Baris N, Kirimli O, Ozpelit E, Akdeniz B. Right coronary artery intervention with mirror image in a patient with dextrocardia. Anadolu Kardiyol Derg. 2005;5(4):340-341.
- Dhanjal TS, Davison P, Cotton JM. Primary percutaneous coronary intervention for acute myocardial infarction in a patient with dextrocardia. Cardiol J. 2009;16(2):168-171.
- Saha M, Chalil S, Sulke N. Situs inversus and acute coronary syndrome. Heart. 2004;90(4):E20.
- Ikari Y, Masuda N, Matsukage T, Ogata N, Nakazawa G, Tanabe T, Morino Y. Back-up force of guiding catheters for the right coronary artery in transfemoral and transradial interventions. J Invasive Cardiol. 2009;21(11):570-574.
- Ikari Y, Nagaoka M, Kim JY, Morino Y, Tanabe T. The physics of guiding catheters for the left coronary artery in transfemoral and transradial interventions. J Invasive Cardiol. 2005;17(12):636-641.
- Youssef AA, Hsieh YK, Cheng CI, We CJ. A single transradial guiding catheter for right and left coronary angiography and intervention. Eurointervention. 2007;3:475-481.
______________________________________
From the 1Department of Cardiology, Aichi Cardiovascular and Respiratory Center, Ichinomiya, Japan, 2Department of Cardiology, Nagoya University Graduate School of Medicine, Nagoya, Japan, and 3Department of Cardiology, Tokai University School of Medicine, Isehara, Japan.
Disclosure: The authors have completed and returned the ICMJE Form for Disclosure of Potential Conflicts of Interest. The authors report no conflicts of interest regarding the content herein.
Manuscript submitted April 18, 2011, provisional acceptance given June 3, 2011, final version accepted June 27, 2011.
Address for correspondence: Dr. H. Ishiguro, MD, Aichi Cardiovascular and Respiratory Center, P.O. Box 491-0934, 2135 Kariyasuka, Yamato-cho, Ichinomiya City, Aichi pref., Japan. Email: sakxc4@gmail.com


