Endovascular Stent-Graft Repair of a Large Renal Artery Pseudoaneurysm With Impending Rupture, Arising From a Solitary Kidney
Key words: cardiac imaging, endovascular intervention, stent-graft
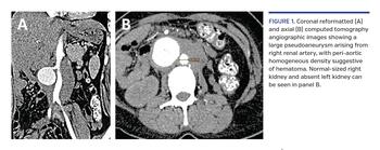
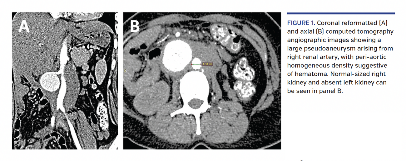
A 30-year-old woman presented with right lumbar region abdominal pain of 2-month duration. Her chronic hypertension of 13-year duration was treated medically with telmisartan, amlodipine, metoprolol, and diuretics. Abdominal exam revealed right lumbar pulsatile mass. Her serum creatinine and estimated glomerular filtration rate (eGFR) were 1.73 mg/dL and 42 mL/min/1.73 m2, respectively. Computed tomography (CT) scan revealed absent left kidney and left renal artery, normal-sized right kidney, and a large (43 x 48 mm) right renal artery pseudoaneurysm with periaortic hematoma, suggesting an impending rupture (Figure 1). Serum tests for autoimmune disease and inflammatory large cell arteritis were negative. There was no history of blunt trauma abdomen or any abdominal surgery in the past.
Selective right renal arteriogram following cannulation with Judkins Right 4, 6 Fr guide catheter revealed a large pseudoaneurysm arising from the proximal part of the renal artery, with a poor distal arterial run-off (Figure 2A; Video 1). A choicePT wire (Boston Scientific) could cross through the renal artery (Figure 2B). As an appropriately sized stent-graft was not available on shelf, a 4 x 16 mm GraftMaster PTFE coronary stent-graft (Abbott Vascular) was deployed to exclude the pseudoaneurysm. An additional 6 x 19 mm Omnilink Elite Renal bare-metal stent (Abbott Vascular) was deployed, covering the previously deployed under-sized stent-graft to optimize the end results. There was good flow across the renal artery with total exclusion of the pseudoaneurysm (Figure 2C; Video 2).
She was asymptomatic at 6-week follow-up with no abdominal pain; serum creatinine and eGFR improved to 1.43 mg/dL and 51 mL/min/1.73 m2, respectively, and blood pressure was under control with amlodipine and metoprolol. This was an unusual case of a large renal artery pseudoaneurysm with impending rupture, which was successfully treated with an endovascular stent-graft in a solitary kidney.
View the Accompanying Video Series Here
From the Departments of 1Cardiology, 2Vascular Surgery, and 3Radiology, Post Graduate Institute of Medical Education & Research, Chandigarh, India.
Disclosure: The authors have completed and returned the ICMJE Form for Disclosure of Potential Conflicts of Interest. The authors report no conflicts of interest regarding the content herein.
The authors report that patient consent was provided for publication of the images used herein.
Manuscript accepted March 11, 2019.
Address for correspondence: Prof (Dr) Rajesh Vijayvergiya, MD, DM, FSCAI, FISES, FACC, Department of Cardiology, Advanced Cardiac Centre, Post Graduate Institute of Medical Education & Research, Sector 12, Chandigarh – 160 012, India. Email rajeshvijay999@hotmail.com


