Double Inferior Vena Cava and its Implications During Endovascular and Surgical Interventions: A Word of Caution
Abstract: Double inferior vena cava (DIVC) is present in 0.2%-3.0% of the general population. Its presence can be detected by computed tomographic angiography or magnetic resonance imaging. Identifying the presence of DIVC is important to define its relationship with the renal vein, its size when IVC filters are planned, the location of the left renal vein in relationship to the aorta, and for planning of IVC filter placement in the setting of deep vein thrombosis and pulmonary embolism. Finally, this entity should not be mistaken for lymphadenopathy and its course should be well understood before abdominal and pelvic/retroperitoneal surgical interventions.
J INVASIVE CARDIOL 2017;29(2):51-53.
Key words: double inferior vena cava, venous anomaly, deep vein thrombosis, pulmonary embolus, complications, diagnosis
The venous system originates from three symmetric paired veins that form in the 4-week embryo: the cardinal veins, vitelline veins, and umbilical veins (Figure 1). Through a complex process of anastomosis, asymmetric degeneration, and vessel growth, the inferior vena cava (IVC) develops from four different embryonic sources including the posterior cardinal vein, right supracardinal vein, right subcardinal vein, and right vitelline vein. The formation of the IVC therefore depends on the presence of this irregular network of vessels that is constantly altered during the embryotic stage, which partially explains the high prevalence of anomalies in this system.1

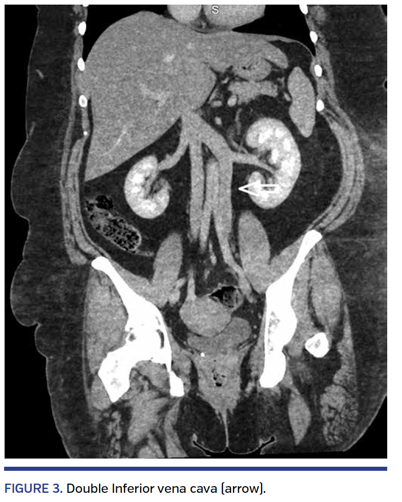
Anomalies of the IVC can be divided into four groups: prerenal, renal, postrenal, and multisegmental. The prerenal anomalies result from atresia or failure to unite the right subcardinal vein with the hepatic vein, leading to infrahepatic IVC interruption and drainage through the azygous vein. The renal anomalies are secondary to a persistent circumaortic venous ring (renal venous collar) or persistence of the dorsal limb but regression of the ventral limb of the circumaortic ring (retroaortic left renal vein) (Figure 2). The postrenal anomalies result from persistence of right and left supracardinal veins (double inferior vena cava [DIVC]) (Figure 3), persistence of left but regression of right supracardinal vein (left IVC), and persistence of right posterior cardinal vein (retroureteral IVC).2-5


Familiarity with anomalies of the IVC is of particular importance to the vascular or imaging specialist. In this manuscript, we discuss DIVC anomaly (present in 0.2%-3.0% of the population) and review its implications to diagnostic and interventional procedures. Diagnosis of DIVC is best made with multidetector computed tomography (CT) angiography or magnetic resonance imaging (MRI). Venography during the placement of IVC filters or during evaluation for venous compression syndromes (Figure 4) may identify this abnormality.

DIVC and vascular injury during retroperitoneal surgery. Knowledge of the presence of DIVC is important during abdominal and retroperitoneal surgery in order to avoid injuring the left IVC. Also, a duplicate IVC can be mistaken on CT of the abdomen with paraaortic lymphadenopathy. Furthermore, its presence can complicate surgery for aortic aneurysm. Finally, it is important for surgeons to evaluate whether a renal donor has DIVC to avoid injury to this vein and potential complications during harvesting of the kidney.6,7
DIVC and venothromboembolic events. IVC malformations including DIVC are associated with approximately 5% of deep vein thrombosis (DVT) cases. The etiology is thought to be slow-flow and generally appears after the second decade of life. These patients have early collateral circulation, the most important being the azygous, hemizygous, lumbar, vertebral, and paravertebral. DVT secondary to DIVC is likely to be underreported and quite often presents with thoracic, abdominal, and pelvic symptoms. The diagnosis usually relies on a high index of clinical suspicion and diagnosis can be established with MRI or CT angiography. Quite often, the first presentation is pulmonary embolization in young patients. There is no consensus on venothromboembolic prophylaxis in young patients with DIVC. The long-term risk of anticoagulation may offset the benefit in these patients. Generally, providers have used a conservative approach in their initial approach in treating these patients. This is consistent with graded compression socks, leg elevation, and exercise. Treatment has been reserved for actual cases of acute venothromboembolic events with the use of anticoagulation for a minimum of 6 months and preferably longer.8-11
DIVC and lower-extremity swelling and pain. DIVC can be associated with left lower-extremity swelling and discomfort if the DIVC is small in size or if the left renal vein is retroaortic (Figure 2) and significantly compressed, leading to an outflow obstruction to the anomalous left IVC that typically drains into the left renal vein.
Filter placement for patients with DIVC. In patients with DVT and requiring an IVC filter, it is important to determine whether DIVC is present. Venography should be considered in every patient with planned IVC filter placement to rule out this anomaly. If DIVC is present, a filter should be placed in both IVCs below the renal veins or a single IVC above the confluence of the left and right IVC (suprarenal segment). Failure to do so may result in failure to protect against a pulmonary embolus. Venography is also important to size the DIVC, as often they are of different sizes. Lack of visualization of the left iliac inflow and larger-than-expected left renal vein inflow are generally seen on venography.12-17
In summary, DIVC is likely to be encountered by the endovascular or surgical specialist. A high index of clinical suspicion is needed to uncover this anomaly. Evaluation by CT angiography or MRI is needed to identify its course and its relationship with the renal vein, its size when IVC filters are planned, the location of the left renal vein in relationship to the aorta, and for the planning of IVC filter placement in the setting of DVT and pulmonary embolism. Finally, this entity should not be mistaken for lymphadenopathy and its course should be well understood before abdominal and pelvic/retroperitoneal surgical interventions.
References
1. Yagel S, Kivilevitch Z, Cohen SM, et al. The fetal venous system, part I: normal embryology, anatomy, hemodynamics, ultrasound evaluation and Doppler investigation. Ultrasound Obstet Gynecol. 2010;35:741-750.
2. Baeshko AA, Zhuk HV, Ulezko EA, et al. Congenital anomalies of the inferior vena cava and their clinical manifestation. Eur J Vasc Endovasc Surg. 2007;34:8-13.
3. Vermeulen EGJ, Van Urk H. Agenesis of the inferior vena cava. Eur J Vasc Endovasc Surg. 1996;12;493-496.
4. Bass JE, Redwine MD, Kramer LA et al. Spectrum of congenital anomalies of the inferior vena cava: cross-sectional imaging findings. Radiographics. 2000;20:639-652.
5. Gupta A, Gupta R, Singal R. Congenital variations of renal veins: embryological background and clinical implications. J Clin Diagn Res. 2011;5(Suppl-1):1140-1143.
6. Eldefrawy A, Arianayagam M, Kanagarajah P, Acosta K, Manoharan M. Anomalies of the inferior vena cava and renal veins and implications for renal surgery. Cent European J Urol. 2011;64:4-8.
7. Gomez CS, Arianayagam M, Casillas VJ, Ciancio G. Laparoscopic radical nephrectomy in the presence of a duplicated inferior vena cava. Cent European J Urol. 2010;4:196-197.
8. García-Fuster MJ, Forner MJ, Flor-Lorente B, Soler J, Campos S. Inferior vena cava malformations and deep venous thrombosis. Rev Esp Cardiol. 2006;59:171-175.
9. Chee Y-L, Culligan DJ, Henry G. Inferior vena cava malformation as a risk factor for deep venous thrombosis in the young. Brit J Haematol. 2001;114:878-880.
10. Sitwala PS, Ladia VM, Brahmbhatt PB, Jain V, Bajaj K. Inferior vena cava anomaly: a risk for deep vein thrombosis. N Am J Med Sci. 2014;6:601-603.
11. Kouroukis C, Leclerc JR. Pulmonary embolism with duplicated inferior vena cava. Chest. 1996;109:1111-1113.
12. Mano A, Tatsumi T, Sakai H, et al. A case of deep venous thrombosis with a double inferior vena cava effectively treated by suprarenal filter implantation. Japan Heart J. 2004;45:1063-1069.
13. Sartori MT, Zampieri P, Andres AL, et al. Double vena cava filter insertion in congenital duplicated inferior vena cava: a case report and literature review. Haematologica, 2006;91(6 Suppl):ECR30.
14. Anne N, Pallapothu R, Holmes R, Johnson MD. Inferior vena cava duplication and deep venous thrombosis: case report and review of the literature. Ann Vasc Surg. 2005;19:740-743.
15. Martin KD, Kempczinski RF, Fowl RJ. Are routine inferior vena cavograms necessary before Greenfield filter placement? Surgery. 1989;106:647-651.
16. Vo NJ, Wieseler KW, Burdick TR, et al. The use of paired optionally retrievable Gunther Tulip filters in trauma patients with anatomical variants. Semin Intervent Radiol. 2007;24:20-28.
17. Rohrer MJ, Cutler BS. Placement of two Greenfield filters in a duplicated vena cava. Surgery. 1988;104:572-574.
From the Midwest Cardiovascular Research Foundation, Davenport, Iowa.
Disclosure: The authors have completed and returned the ICMJE Form for Disclosure of Potential Conflicts of Interest.
Manuscript submitted October 17, 2016, provisional acceptance given October 25, 2016, and final version accepted October 31, 2016.
Address for correspondence: Nicolas W Shammas, MD, MS, FACC, FSCAI, Research Director, Midwest Cardiovascular Research Foundation, 1622 E. Lombard Street, Davenport, IA 52803. Email: shammas@mchsi.com


