Critical In-stent Restenosis Following Fracture of Biolimus-Eluting Stent: A Report of 2 Cases
Download a PDF of this article.
ABSTRACT. The development of drug-eluting stents (DES) has dramatically reduced the incidence of in-stent restenosis. Stent fracture (SF) of DESs, however, has recently emerged as a rare but serious complication, which may lead to acute coronary syndrome or sudden cardiac death. DES fracture results from metal fatigue and vessel hemodynamic stress on the stent strut, due to markedly reduced neointimal formation. Although actual incidence of SF is not known, previous reports have demonstrated that SF rates are specific to each DES type. In this report, 2 cases of fracture of a Nobori stent are described, with insights into the mechanisms of SF and strategies for its successful management.
J INVASIVE CARDIOL 2013;25(1):E11-E13
Key words: stenting, in-stent restenosis, interventional cardiology, acute coronary syndromes, stent design
__________________________________________
Drug-eluting stents (DESs) have dramatically reduced rates of in-stent restenosis (ISR) compared with those of bare-metal stents (BMSs); however, new concerns have emerged regarding late thrombosis and stent fracture (SF). Further complications following SF include ISR, acute coronary syndrome, and sudden cardiac death. SF, therefore, should be recognized as a serious complication of percutaneous coronary intervention (PCI). Related factors predisposing to SF include vessel tortuosity,1 vessel calcification,2 overlapping stents,3 increased stent length, and lesions in the right coronary artery (RCA),4 or saphenous vein bypass graft.5
Recent reports have demonstrated relatively high incidence of SF in patients treated with Cypher stents (Cordis, Johnson & Johnson), which have thicker struts (140 μm) than other DESs.5 Here, we describe 2 cases of ISR following Nobori stent (Terumo, Tokyo) deployment. Early diagnosis and intervention for SF are warranted.
Case report

Figure 1. Angiographic images of a significant stenosis at the mid right coronary artery in case 1, (A) before and (B) after deployment of a 3.5 × 18 mm Nobori stent (click thumbnail to view larger image).
Case 1. A 61-year-old man had suffered an acute inferior myocardial infarction 3 years previously, and the distal RCA lesion had been successfully recanalized using a BMS. His medical history included hypertension, dyslipidemia, diabetes mellitus, sleep apnea syndrome, and chronic kidney disease; he had been on dialysis for 7 years. He presented with exertional chest pain and was admitted to our hospital about 3 years post PCI.

Figure 2. Focal in-stent restenosis of the right coronary artery, (A) before and (B) after deployment of a 3.5 × 23 mm Promus stent with a fair angiographic result (click thumbnail to view larger image).
Right coronary angiography revealed an intact stent, with a new site of 90% stenosis in the middle of the RCA (Figure 1A). Intravascular ultrasound (IVUS) images revealed moderate superficial calcification around the target lesion; therefore, we performed pre-dilatation with a 2.5 × 12 mm non-slip element balloon, which effectively expanded the calcified lesion. A 3.5 × 18 mm Nobori stent was then deployed at 10 atm, followed by postdilatation up to 20 atm with a 3.5 × 10 mm non-compliant balloon. Final IVUS examination and angiography revealed an excellent result (Figure 1B), and the patient was discharged.
Seven months after deployment of the Nobori stent, the patient presented to our hospital again with repeated episodes of chest pain at rest and an elevated serum troponin T level. Urgent coronary angiography revealed a focal ISR in the middle of the Nobori stent (Figure 2A).

Figure 3. Comparison of fluoroscopic images (A) immediately after Nobori stent deployment and (B) 7 months later, showing 2 different points of stent fracture (click thumbnail to view larger image).
In addition, plain fluoroscopic images revealed 2 gaps in the stent strut, suggesting SF (Figure 3B), which was then confirmed by IVUS imaging (Figure 4). We diagnosed the case as ACS due to SF, and treated the site with adjunctive stenting. After predilatation with a 3.5 × 10 mm balloon, a 3.5 × 23 mm PROMUS stent (Boston Scientific) was deployed, followed by postdilation with an excellent result (Figure 2B).

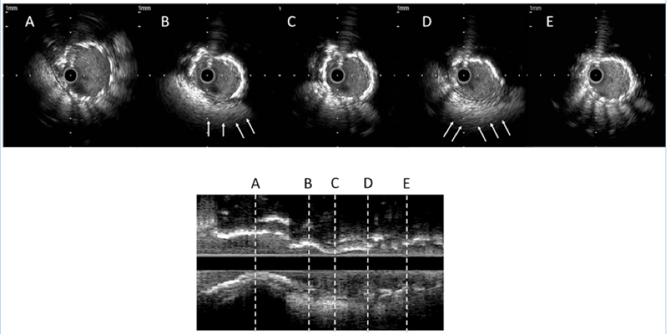
Figure 4. Intravascular ultrasound images and the longitudinal reconstruction of the right coronary artery after predilatation in case 1. Deficient struts and no acoustic shadow in panels B and D (arrows) demonstrated 2 lesions of the Nobori stent fracture (click thumbnail to view larger image).
Case 2. An 80-year-old man with a diagnosis of effort angina pectoris was admitted to our hospital for coronary angiography. His medical history included hypertension, dyslipidemia, and hyperuricemia. In the previous 2 years, he had undergone PCI twice and received a total of 4 BMSs (4.0 × 24 mm, 4.0 × 9 mm, 3.5 × 9 mm, and 3.5 × 12 mm) for proximal to mid-RCA lesions. The calcified and severely tortuous lesion prevented us from performing intravascular imaging during the previous PCI.

Figure 5. Angiographic images of the tortuous right coronary artery in case 2 (A) before and (B) after deployment of a 3.0 × 14 mm Nobori stent to the target lesion (click thumbnail to view larger image).
While he had been symptom free for 13 months, ISR at the target lesion was diagnosed by follow-up right coronary angiography (Figure 5A). The lesion was subsequently treated with a 3.0 × 14 mm Nobori stent with adjunctive postdilatation up to 16 atm using a 3.5 × 8 mm non-compliant balloon, and he was discharged with an excellent result (Figure 5B).

Figure 6. (A) Focal in-stent restenosis of the Nobori stent site and (B) angiogram after deployment of a 3.0 × 12 mm PROMUS Element stent (click thumbnail to view larger image).
Nine months after the Nobori stent implantation, the patient was admitted for chest pain on effort. Right coronary angiography revealed a focal significant ISR of the Nobori stent (Figure 6A), and plain fluoroscopic images showed a gap in the strut in the middle of the Nobori stent, suggesting SF (Figure 7B). The fractured segment was treated with a 3.0 × 12 mm PROMUS Element stent (Boston Scientific). No further imaging was possible because of severe calcification and tortuosity. Post-stenting angiography revealed an excellent result (Figure 6B).

Figure 7. Comparison of plain fluoroscopic images (A) immediately after Nobori stent deployment and (B) at the 9-month follow-up exam, showing a gap in the stent strut (arrowhead) (click thumbnail to view larger image).
Discussion
Here, we report 2 cases of SF following Nobori stent implantation for calcified and tortuous RCA lesions. The incidence of BMS fracture is not known, because neointimal formation covering the surface of a BMS can mask the presence of SF. Recent utilization of DESs has significantly reduced neointimal formation as well as the incidence of ISR, and thus, the presence of SF can be more readily detected. Moreover, long-term exposure to vessel stress may at least partly aggravate metal fatigue of DES struts.
It is important for clinicians to understand serious complications arising from DES fracture. In recent observational studies of SF, the Cypher stent was reported to exhibit a relatively high incidence of SF, with a range of 0.84%5 to 7.7%, 1 as compared with that of other DESs and BMSs. The precise incidence of fracture for each stent, however, is still unknown, because of varying definitions, methods for detection, stent types, and observed populations.
Three major predisposing factors for SF have been reported. First, factors of stent composition, including metal alloy, stent conformability,6 strut design, strut thickness,7 polymer, and type of anti-proliferative drug, can affect fracture rates. Second, technical issues such as overexpansion and/or overlapping of stents3 are important factors. In fact, DES placement is frequently followed by high-pressure postdilatation to prevent incomplete stent apposition. Third, lesion characteristics are potentially important factors. These include severe tortuosity,1 calcification,2 and lesion location in RCA4 or saphenous vein bypass grafts.5
In the present cases, SF might be not only due to stent structure, but also associated with overexpansion of a high-pressure non-complaint balloon in the presence of severe calcification and tortuosity of the RCA. Rotational atherectomy for calcified lesions is beneficial and should be performed before stent deployment, because calcification beneath a stent may introduce a new hinge point and metal fatigue at this point may facilitate SF.
Structurally, the Nobori stent is based on a 361 L stainless-steel S-stent with quadrature and a radius 2-link design. The strut thickness of 125 μm is similar to the Cypher stent (140 μm). Although the relationship between SF and strut thickness is not fully understood, a recent PLATINUM trial demonstrated that thin-strut stents are likely to be less prone to SF than those with thick struts, based on a bending test.7 Thus, the Nobori stent may exhibit a higher incidence of SF compared to thinner strut stents, particularly in lesions subjected to compression and torsion from repetitive cardiac contractions. When treating hinged or tortuous lesions with severe calcification, as in the present cases, fracture-resistant stents (eg, stents containing a platinum chromium alloy) should be selected. On the other hand, the advantages of the Nobori stent include excellent radial force and the potential for deployment to ostial or bifurcation lesions, because the struts can be widely expanded with the kissing-balloon technique.
A recent report has demonstrated that treatment of SF with Taxus stents is associated with a lower rate of target lesion revascularization at 12 months compared to treatment with Cypher stents.8 Appropriate stent selection and best interventional strategies for individual lesions are essential; however, large-scale and long-term studies are not sufficient to establish standard approaches for the management of SF.
Conclusion
Although the incidence of SF is rare, this report highlights the importance of diagnosis and management of SF, as well as potential critical complications following DES fracture. Further studies are required to provide better strategies for treating patients with SF.
References
- Chung WS, Park CS, Seung KB, et al. The incidence and clinical impact of stent strut fractures developed after drug-eluting stent implantation. Int J Cardiol. 2008;125(3):325-331.
- Dina OH, Peter GA, Brigita CB, et al. The role of vascular calcification in inducing fatigue and fracture of coronary stents. J Biomed Mater Res. 2012;100(1):292-304.
- Serikawa T, Kawasaki T, Hoga H. Impressive sirolimus-eluting stent fracture immediately after stent implantation: a case report. Int J Cardiol. 2009;134(3):312-315.
- Lee MS, Jurewitz D, Aragon J, et al. Stent fracture associated with drug-eluting stents: clinical characteristics and implications. Catheter Cariovasc Interv. 2007;69(3):387-394.
- Aoki J, Nakazawa G, Tanabe K, et al. Incidence and clinical impact of coronary stent fracture after sirolimus-eluting stent implantation. Catheter Cardiovasc Interv. 2007;69(3):380-386.
- Chakravarty T, White AJ, Buch M, et al. Meta-analysis of incidence, clinical characteristics and implications of stent fracture. Am J Cardiol. 2010;106(8):1075-1080.
- Stone GW, Teirstein PS, Meredith IT, et al. A prospective, randomized evaluation of a novel everolimus-eluting coronary stent: the PLATINUM (a Prospective, Randomized, Multicenter Trial to Assess an Everolimus-Eluting Coronary Stent System [PROMUS Element] for the Treatment of Up to Two de Novo Coronary Artery Lesions) trial. J Am Coll Cardiol. 2011;57(16):1700-1708.
- Freixa X, Almasood AS, Khan SQ, et al. Decreased risk of stent fracture-related restenosis between paclitaxel-eluting stents and silorimus-eluting stents: results of long-term follow-up. Catheter Cardiovasc Interv. 2012;79(4):559-565.
__________________________________________
From the Department of Cardiovascular Medicine, Shinshu University School of Medicine, Matsumoto, Japan.
Disclosure: The authors have completed and returned the ICMJE Form for Disclosure of Potential Conflicts of Interest. The authors report no conflicts of interest regarding the content herein.
Manuscript submitted May 29, 2012, provisional acceptance given June 28, 2012, final version accepted August 8, 2012.
Address for correspondence: Atsushi Izawa, MD, PhD, Department of Cardiovascular Medicine, Shinshu University School of Medicine, 3-1-1 Asahi, Matsumoto city, Nagano 390-8621, Japan. Email: izawa611@shinshu-u.ac.jp


