Angiography and Endovascular Revascularization of Pudendal Artery Atherosclerotic Disease in Patients with Medically Refractory Erectile Dysfunction
Abstract: Purpose. To report a technique for endovascular treatment of pudendal artery stenoses in medically refractory erectile dysfunction. Case Report. Three men with known peripheral arterial disease and erectile dysfunction that was non-responsive to treatment with phosphodiesterase inhibitors underwent angiography and stent placement of the pudendal artery. Stent placement was performed using standard endovascular techniques. All 3 patients reported significant improvement in erectile function following revascularization. Conclusion. Percutaneous treatment of pudendal artery stenoses with stents is feasible and offered significant benefit to these 3 patients.
J INVASIVE CARDIOL 2012;24(5):236-240
Key words: erectile dysfunction, pudendal artery revascularization, pudendal artery stenosis
___________________________________________
Erectile dysfunction, defined as the inability to achieve and maintain penile erection sufficient to allow sexual intercourse, affects up to 30 million men in United States.1 Vascular etiologies of erectile dysfunction include arterial insufficiency of the internal iliac artery and its branches or veno-occlusive dysfunction.1 Pelvic arterial disease shares risk factors with coronary artery disease and previous work has suggested a high prevalence of internal pudendal artery stenoses among men with angiographically evident coronary artery disease.2,3 Case series studies have suggested that balloon angioplasty of the internal iliac and internal pudendal arteries may offer significant, though transient, improvement of erectile dysfunction.4-6 Despite a recent surge in interest in revascularization of pudendal arteries using coronary stents, techniques of cannulation, angiographic imaging, angioplasty, and stenting are not well described. We describe techniques in diagnosis and treatment of diseased erectile-related arteries in patients with medically refractory erectile dysfunction. The patients described failed at least 3 months of therapy with phosphodiesterase type 5 inhibitors (PDE5i) and their extensive urological workup was suggestive of obstructive arterial disease in erectile-related arteries. These patients also had evidence of advanced atherosclerotic disease including coronary and peripheral arterial disease, had prior percutaneous coronary or peripheral interventions/stents, and were all on dual-antiplatelet therapy at the time of presentation.
Case 1
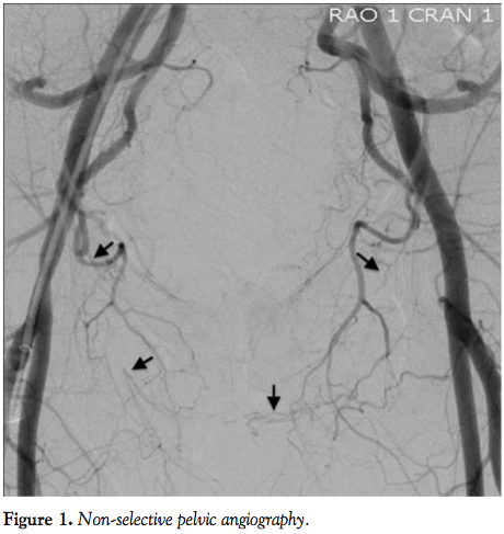
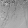
A 49-year-old man with a history of coronary artery disease, s/p multiple prior coronary interventions, peripheral arterial disease, insulin-dependent diabetes, dyslipidemia, hypertension, and chronic kidney disease presented with severe erectile dysfunction refractory to PDE5i therapy. A 5 Fr, 12 cm sheath was initially placed in the left common femoral artery and non-selective angiography was performed with a pigtail catheter in the descending aorta in the flat anterior-posterior (AP) view. This permitted evaluation of the common and
internal iliac arteries as well as distal runoff of both internal pudendal arteries to the penis. Angiography revealed bilateral proximal occlusions of the pudendal arteries with distal reconstitution (Figure 1). The distal segment of the right reconstituted pudendal artery was better visualized and seemed to be less diseased compared to the left. Therefore, the right pudendal artery was felt to be a better target vessel for revascularization. A short sheath was exchanged for a 5 Fr, 45 cm, hydrophilic-
coated sheath that was advanced to the ostium of the right internal iliac artery over 0.035˝ wire. This wire was exchanged to 0.014˝, 300 cm coronary wire that was advanced into the right internal iliac artery. A 5 Fr angled Terumo Glide catheter was then advanced to the distal segment of the right internal iliac artery over the 0.014˝ wire. The sheath was then “telescoped” into the vessel and the Glide catheter removed. Angiography at 30°
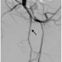
right anterior oblique (RAO), 30° left anterior oblique (LAO), and AP projections was performed demonstrating a pudendal artery arising from the right internal gluteal artery with a severe lesion at the ostium of the pudendal artery and subtotal occlusion in the mid segment (Figure 2). There was slow flow in the vessel. The lesion was crossed with 0.014˝ coronary wire and dilated with a coronary 2.0 x 20 mm balloon inflated to 6 atm. There was an improvement in flow after angioplasty; however, there were areas of significant residual stenoses and a 2.5 x 24 mm drug-eluting coronary stent was deployed at 12 atm to optimize the result. This resulted in excellent angiographic result and normalization of flow in the vessel (Figures 3 and 4). There were no complications and the patient was discharged the same day. He reported significant improvement in erectile function at follow-up visit.
Case 2
A 59-year-old man with a history of coronary artery disease, prior coronary interventions, hypertension, dyslipidemia, diabetes, peripheral arterial disease, and prior lower extremity endovascular revascularization procedures presented with severe left leg claudication as well as erectile dysfunction medically refractory to PDE therapy. He had been using PDE5i therapy for at least 3 years; however, in the last 6 months they stopped “working” at all. The patient had tried 3 different types of PDE inhibitors with complete lack of response. He was referred for pelvic and left leg angiogram with possible endovascular revascularization.
A 12 cm, 5 Fr sheath was placed in the right common femoral artery. Non-selective angiography was performed with a 5 Fr pigtail catheter in the descending abdominal aorta demonstrating bilateral occlusion of pudendal arteries. Angiography and successful endovascular revascularization of the left leg were then performed for identified severe PAD. This was performed via a 7 Fr, 45 cm sheath that was advanced with the tip in the left common femoral artery. The sheath was then pulled back to the ostium of the left internal iliac artery and a 0.035˝ wire was advanced into the left internal iliac artery. Due to the fact that the proximal segment of the left internal iliac artery was large and healthy, we advanced the sheath into the proximal segment over the 5 Fr IM catheter, which was used to redirect the wire and facilitate the sheath advancement. Selective angiography of the left internal iliac system was then performed at flat AP position, 30° RAO angulation, and 30° LAO angulation. It demonstrated diffuse, severe disease in the left internal pudendal artery with long segments of total occlusions (Figure 5). The left internal pudendal artery arose directly from the left internal iliac artery. A 5 Fr, angled, hydrophilic-coated catheter was advanced through the sheath and directed toward the left internal pudendal artery to facilitate wire passage through the lesions. However, a 0.014-300 cm coronary wire crossed only the proximal segment of the stenotic lesion and the rest of the lesion was crossed only after we used coronary 2.0 x 20 mm over-the-wire balloon for support. Multiple inflations up to 16 atm were then performed with the same 2.0 x 20 mm over-the-wire balloon. Since this patient had a very long total occlusion, suboptimal angioplasty result, and a history of diabetes, we decided to use drug-eluting stents to achieve an optimal angiographic result as well as to minimize the risk of restenosis. We used two 2.5 x 30 mm drug-eluting coronary stents that were deployed in overlapping fashion at 12 atm. This led to a good angiographic result (Figure 6). This patient was discharged the same day and had no complications. At clinical follow-up, the patient reported significant improvement in erectile function with good response to PDE5i therapy.
Case 3
A 65-year-old man with a history of coronary artery disease, s/p multiple coronary interventions, hypertension, dyslipidemia, diabetes, and peripheral arterial disease with prior endovascular revascularion of the distal left superficial femoral artery, right tibioperoneal trunk, and posterior tibialis arteries for severe claudication presented with erectile dysfunction refractory to treatment with PDE5i therapy.
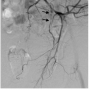
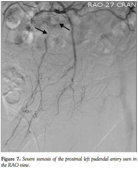
Arterial access was achieved with placement of a 12 cm, 5 Fr sheath in the right common femoral artery. Non-selective digital subtraction angiography was performed with a 5 Fr pigtail catheter in the descending aorta, demonstrating patent internal iliac arteries and obstructive disease of the left pudendal artery. A 5 Fr internal mammary guide catheter was advanced over a 0.035-260 cm, stiff-shaft, angled hydrophilic wire and positioned at the ostium of the left internal iliac artery. Digital subtraction angiography at the flat AP position, 30° RAO, and 30° LAO angulation demonstrated severe disease in the left internal pudendal artery (Figure 7 RAO and Figure 8 AP).
A 0.014˝, 180 cm coronary wire was used to cross the lesion in the left internal pudendal artery. A 2.0 x 20 mm coronary monorail balloon was used to dilate the lesion with serial inflations to 10 atm. Angiography following balloon dilation demonstrated a suboptimal result with dissection of the artery (Figure 9). A 2.5 x 28 mm coronary drug-eluting stent was positioned in the distal aspect of the lesion and deployed at 10 atm. Another 2.5 x 12 mm coronary drug-eluting stent was positioned in the proximal aspect of the lesion, overlapping the
previously placed stent, and deployed at 14 atm. A 2.75 x 30 mm non-compliant coronary balloon was positioned in the stented area and postdilation was performed to 18 atm. Angiography following postdilation demonstrated no residual disease in the treated segment (Figure 10). There were no complications and the patient was discharged home the same day. The patient reported significant improvement in erectile function at clinical follow-up.
Discussion
The internal pudendal arteries provide the primary source of arterial blood flow to the penis. The internal pudendal artery is the distal continuation of the anterior division of the internal iliac artery.2 It exits the pelvis through the greater sciatic foramen and enters the ischiorectal fossa of the perineum through the lesser sciatic foramen. The internal pudendal artery eventually divides into the dorsal penile, cavernosal, and bulbouretheral arteries. The cavernosal arteries supply blood to the corpora cavernosa where filling of sinusoids through helicine arteries results in erection. An inelastic connective tissue layer, the tunica albuginea, surrounds the paired corpora cavernosa and limits venous return from the penis when erect. Parasympathetic activity causes relaxation of the smooth muscles that surround the arterioles that supply erectile tissue, resulting in up to a seven-fold increase in blood flow.1,7
Atherosclerotic disease of the internal iliac or internal pudendal arteries may limit the increase in blood flow required to fill the corpora cavernosa to achieve erection.2 Phosphodiesterase-5 inhibitors suppress the breakdown of cyclic GMP and enhance the effects of nitric oxide on smooth muscle relaxation.1 In the presence of a proximal fixed obstruction to arterial flow, however, enhanced smooth muscle relaxation may not be met with an increase in arterial flow to the corpora cavernosa, resulting in a suboptimal response to PDE5i therapy. Clinical studies of PDE5i therapy have shown 25%-35% of patients with a range of erectile dysfunction etiologies reporting an inadequate response to drug therapy.8 Among patients with diabetes, approximately 40%-50% of patients report an inadequate response. Optimal medical therapy and interventional treatment of atherosclerotic disease in the internal iliac and internal pudendal arteries may therefore offer another approach to erectile dysfunction refractory to present therapy.8
The approach we describe above begins with an understanding of pudendal artery anatomy and distal runoff. To our knowledge, current non-invasive imaging modalities (CTA, MRA) do not allow for an adequate evaluation of the distal segments of the pudendal arteries and its branches. Therefore, selective angiography remains the “gold standard” method of evaluation. We propose non-selective angiography in the descending aorta in the AP projection as a first step in the evaluation of the erectile-related arteries in patients with normal kidney function. It allows determination of the presence and severity of the common and internal iliac arteries. It also facilitates further sheath and guide selection in case selective cannulation and intervention is required. Non-selective angiography also provides information regarding the extent of distal disease involving the dorsal penile, cavernosal, and bulbourethral arteries. If pudendal artery disease is suspected on non-selective angiography, selective cannulation and angiography of the internal iliac artery and ideally the pudendal artery itself is necessary for optimal angiographic evaluation. In our experience, this procedure can be safely and effectively performed using a 5 Fr system in most cases. For the contralateral approach, we usually use a 5 Fr, 45 cm hydrophilic sheath, which is advanced initially to the origin of the internal iliac artery. Then a 5 Fr IM, JR, or MP guide could be used to cannulate internal iliac selectively. The guide is advanced into the distal internal iliac over the wire and then the sheath is “telescoped” into the internal iliac artery only if there is no evidence of obstructive internal iliac disease. Selective angiography is then performed with a goal to identify the origin of the pudendal artery and to evaluate for presence of disease in its entire length and in branches. We find that a combination of flat LAO, RAO, and AP views is usually sufficient in providing information on the individual patient’s anatomy of the pudendal artery and severity of disease. Multiple modifications of the above-mentioned views might be required, especially when the origin of the pudendal artery is not visible on the above-mentioned views. In most cases, the pudendal artery originates from the inferior gluteal artery; however, it could originate from superior gluteal or internal iliac artery. In our experience, the optimal view to evaluate the mid and distal segments of the pudendal artery is 30-40° ipsilateral oblique position of the camera. The size of the pudendal artery is similar to that of coronary arteries and we have found that the use of coronary wires, balloons, and stents provide a good procedural outcome for endovascular revascularization. Selective injection of vasodilators (nitroglycerin, adenosin, verapamil) is very helpful in evaluation of the distal segments and branches of the pudendal artery. As with any other endovascular intervention, complications may occur, including access-site hematoma, artery dissection, perforation, etc. These should be addressed using standard approaches in the treatment of these complications. In our practice, we have not observed any complication that would be specific to the pudendal artery only. Of note, in our experience, we have not seen any calcified pudendal arteries even in patients with severe calcification in other arterial trees. This observation may deserve further investigation.
It is important to emphasize that there are many other causes of erectile dysfunction and atherosclerotic disease of erectile-related arteries is only one of them. Close collaboration with a urologist and extensive urological work up to rule out other etiologies of the ED prior to even contemplation of angiography is critical in patient selection and successful clinical outcome.
The ongoing Zen (The Medtronic Zotarolimus-Eluting Peripheral Stent System from the Treatment of Erectile Dysfunction in Males with Sub-optimal Response to PDE5 Inhibitors) is a prospective, multicenter, single-arm study designed to evaluate the efficacy of a drug-eluting stent for the treatment of erectile dysfunction in approximately 50 patients. The results of this trial will have significant bearing on interventional treatment for erectile dysfunction. In the meantime, stenting of the pudendal artery reflects an off-label use of coronary stents for the treatment of non-coronary arteries and should be considered investigational. Centers that consider investigating this approach in a systematic manner should initiate the study under an IRB-monitored protocol.
It is plausible that stenting of the pudendal artery offers a more durable result than balloon angioplasty in the treatment of medically refractory ED secondary to peripheral arterial disease especially in diabetics and in cases of long lesions in small-caliber arteries. In our case series, all patients reported an improvement of erectile function after procedure. Whether this effect will be durable remains to be seen.
Conclusion
Endovascular revascularization of erectile-related arteries may offer another option for patients with medically refractory ED of atherosclerotic etiology.
References
- Lue TF. Erectile dysfunction. N Engl J Med. 2000;342(24):1802-1813.
- Simonsen U, García-Sacristán A, Prieto D. Penile arteries and erection. J Vasc Res. 2002;39(4):283-303.
- Rogers JH, Karimi H, Kao J, et al. Internal pudendal artery stenoses and erectile dysfunction: correlation with angiographic coronary artery disease. Catheter Cardiovasc Interv. 2010;76(6):882-887.
- Angelini P, Fighali S. Early experience with balloon angioplasty of internal iliac arteries for vasculogenic impotence. Cathet Cardiovasc Diagn. 1987;13(2):107-110.
- Urigo F, Pischedda A, Maiore M, et al. [Role of arteriography and percutaneous transluminal angioplasty in the diagnosis and treatment of arterial vasculogenic impotence]. Radiol Med. 1994;88(1-2):86-92.
- Valji K, Bookstein JJ. Transluminal angioplasty in the treatment of arteriogenic impotence. Cardiovasc Intervent Radiol. 1988;11(4):245-252.
- Dean RC, Lue TF. Physiology of penile erection and pathophysiology of erectile dysfunction. Urol Clin North Am. 2005;32(4):379-395, v.
- Setter SM, Iltz JL, Fincham JE, Campbell RK, Baker DE. Phosphodiesterase 5 inhibitors for erectile dysfunction. Ann Pharmacother. 2005;39(7-8):1286-1295.
___________________________________________
From the Division of Cardiology, NYU Langone Medical Center, NYU School of Medicine, New York, New York.
Disclosure: The authors have completed and returned the ICMJE Form for Disclosure of Potential Conflicts of Interest. The authors report no conflicts of interest regarding the content herein.
Manuscript submitted October 17, 2011, provisional acceptance given October 28, 2011, final version accepted November 7, 2011.
Address for correspondence: Anvar Babaev, MD, PhD, NYU Cardiac Cath Associates, 530 First Avenue, HCC 14, New York, NY 10016. Email: anvar.babaev@nyumc.org


