Acute Renal Infarction Treated With Local Intra-Arterial Thrombolysis
Key words: acute renal infarction, oral anticoagulation, renal embolism, thrombolytic therapy, thrombosis
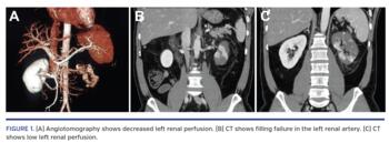
A 53-year-old man with stable coronary disease and dyslipidemia was admitted with sudden pain of severe intensity in the left flank, initiated at about 4 hours prior, with irradiation to the pelvic region, associated with vomiting. He was evaluated in the emergency department, and was suspected to have pyelonephritis and/or renal lithiasis. At physical examination, he had positive Giordano sign and no fever. Hemogram showed leukocytosis and shift to the left, non-infectious routine urine, and renal injury (creatinine, 1.4 mg/dL). An empiric antibiotic was started. He mentioned palpitations the night before. Electrocardiogram at admission showed sinus rhythm and absence of acute ischemia signs. He kept refractory pain, even after opioid analgesia. A computed tomography scan of the abdomen was performed with contrast, showing left renal hypoperfusion and a suggestive image of thrombus in the left renal artery (Figure 1).
Before persistent pain, we chose to do a renal arteriography to evaluate percutaneous approach; it highlighted a high thrombotic load in the left renal artery (Figure 2; Videos 1 and 2) with a decrease in the nephrographic effect. In view of the patient’s clinical picture and angiographic findings, we chose local intra-arterial thrombolysis.
We performed selective catheterization of the left renal artery, followed by bolus infusion of alteplase 15 mg by microcatheter (Video 3). More diluted injections were then given over a period of 30 minutes for a total of 50 mg. Immediate arteriography showed a maintained pattern, but the patient experienced a slight improvement in the pain. After 6 hours of the procedure, the patient was asymptomatic.
During hospitalization, echocardiogram (Figure 3) and Holter monitor were requested. Previous cardiac catheterization showed anterior descending artery with a discrete lesion and small diagonal branch with a severe lesion, and we opted for clinical treatment. Left ventriculography and echocardiogram revealed thrombus at the apex and preserved global function. Holter monitor showed absence of paroxysmal tachyarrhythmias.
New renal arteriography was performed after 5 days, and showed no evidence of thrombus, with improvement of the nephrographic effect (Videos 4-6). At hospital, he was kept under full anticoagulation with enoxaparin. He was discharged in good clinical condition with normal renal function. Rivaroxaban, bisoprolol, enalapril, and rosuvastatin were prescribed.
View the Accompanying Video Series Here
From the 1HCI — Santa Casa de Misecórdia — Hospital Regional do Coração do Sul de Minas Gerais, Interventional Cardiology Department, São Sebastião do Paraíso, Brazil; 2HCI — Santa Casa de Misecórdia, Interventional Cardiology Department, Ribeirão Preto, Brazil; 3HCI — Hospital das Clínicas Samuel Libânio, Interventional Cardiology Department, Pouso Alegre, Brazil; 4HCI —Hospital Nossa Senhora da Abadia, Interventional Cardiology Department, Ituiutaba, Brazil; 5HCI — Hospital Nossa Senhora Auxiliadora, Interventional Cardiology Department, Três Lagoas, Brazil; and 6HCI — Hospital Santa Mônica, Interventional Cardiology Department, Imperatriz, Brazil.
Disclosure: The authors have completed and returned the ICMJE Form for Disclosure of Potential Conflicts of Interest. The authors report no conflicts of interest regarding the content herein.
The authors report that patient consent was provided for publication of the images used herein.
Manuscript accepted March 15, 2019.
Address for correspondence: Ricardo de Souza Alves Ferreira, MD, Street Otávio Volpe, 20, Home 106, Bernadete Garden, CEP 37950-000, São Sebastião do Paraíso, MG, Brazil. Email: ricardoferreira@doctor.com


