Acute Myocardial Infarction as a Complication of Cardiac Sarcoma: A Rare Presentation
ABSTRACT: We present a case of left atrial sarcoma presenting as acute myocardial infarction. Echocardiographic finding of left atrial mass, absence of angiographic evidence of coronary atherosclerotic disease, and incidental finding of prior splenic infarct strongly point to coronary emboli. The relatively low incidence of cardiac sarcoma and the uncommon presentation of cardiac sarcoma as myocardial infarction make this case unique.
J INVASIVE CARDIOL 2012;24(10):E209-E211
Key words: sarcoma, coronary emboli, myocardial infarction
___________________________________________________
Case Report. An obese 58-year-old female with past medical history of hypertension, hyperlipidemia, left breast carcinoma, diabetes, and factor XI deficiency came to the emergency room with retrosternal chest pain associated with diaphoresis. The patient was tachycardic and hypertensive. Physical examination revealed low pitched rumbling mid-diastolic murmur. The rest of the physical examination was unremarkable. Initial cardiac enzymes were not elevated (troponin I 0.02 ng/mL, creatinine kinase 1.6 ng/mL, myoglobin 24
ng/mL), but subsequent tests revealed increased levels of cardiac enzymes (troponin I 5.23 ng/mL, creatinine kinase 59.8 ng/mL, myoglobin 266 ng/mL). Electrocardiogram revealed ST segment elevation in leads II, III, and aVF with reciprocal changes in leads I and aVL. The patient was emergently transferred for catheterization, which revealed 100% stenosis of left posterolateral branch of left circumflex artery (Figures 1 and 2). Other coronary arteries were clean. Percutaneous transluminal
coronary angioplasty was unsuccessful with no improvement of blood flow after first balloon inflation. The lucency in the obstruction with abrupt cut-off, which is an angiographic feature of embolism, pointed to a primary embolic event. The patient became hypoxemic and bedside echocardiography was performed to rule out right ventricular strain due to pulmonary embolus. Echocardiography revealed mild inferolateral hypokinesis and a large, soft-tissue mass partially filling the left atrial cavity with partial obstruction of mitral orifice by a tumor, causing moderate mitral
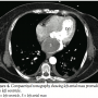
stenosis with transmitral gradient of 10 mm Hg (Figure 3). Computerized tomography showed 4 cm x 5.9 cm enhancing left atrial mass protruding through the mitral valve without involvement of the leaflets (Figure 4) and low-density area in the spleen suggestive of prior splenic infarct. Acute myocardial infarction due to coronary emboli from the left atrial mass was suspected and the patient was taken to the operating room for resection of the mass. During surgery, we noted a dense white encapsulated tumor, thickly adherent to the interatrial septum and most of the atrial endocardium. The atrial mass was resected en bloc with the entire septum primum and a major portion of the septum secundum. The atrium was reconstructed and the interatrial septum was repaired with a bovine pericardial patch.
Histopathologic analysis revealed high-grade spindle cell sarcoma (Figure 5). The tumor cells had mainly tapering but focally pleomorphic nuclei and indistinct palely eosinophilic cytoplasm. Immunostaining showed multifocal positivity with smooth muscle antibody and desmin but the cells did not have bright cytoplasmic eosinophilia of true smooth muscle neoplasm. Therefore, the tumor was labeled as unclassified spindle cell sarcoma, high-grade, possibly myofibroblastic in type. The postoperative course was uneventful and the patient was subsequently discharged 6 days later.
Discussion. Coronary atherosclerotic disease is the most common pathology leading to myocardial infarction. Other rarer causes include congenital coronary artery anomalies, inflammatory diseases of coronary arteries, dissection of aorta, metabolic disorders, coronary spasm, myocardial contusion, and emboli to coronary artery. These emboli may be paradoxical emboli or originate from cardiac tumors, left heart thrombi, infective endocarditis, or prosthetic valves.1 Our patient presented with acute myocardial infarction due to occlusion of the posterolateral branch of the left circumflex artery. Splenic infarct suggested probable embolic phenomenon. Along with detection of the left atrial sarcoma and angiographic findings, this points to coronary emboli as the most likely cause of myocardial infarction. Hypoxemia in our patient was probably precipitated by tachycardia in the setting of moderate mitral stenosis.
The incidence of primary cardiac tumor ranges from 0.0017% to 0.28%. Three out of 4 primary cardiac tumors are benign; the remaining are malignant.2 Cardiac sarcomas constitute the majority of primary malignant tumors of the heart.3,4 According to the study by Donsbeck et al, undifferentiated sarcoma is the most common histological type followed by angiosarcoma and leiomyosarcoma.3
Apart from constitutional symptoms like fever and weight loss, the presentation of cardiac sarcoma depends on the anatomical location. Left atrial neoplasm can mimic mitral stenosis due to its obstructive nature, causing dyspnea, hemoptysis, cough, paroxysmal nocturnal dyspnea, and sometimes leading to congestive heart failure and pulmonary hypertension.3-5 A right atrial tumor may resemble tricuspid stenosis in its presentation with symptoms and signs suggestive of right heart failure like fatigue, hepatomegaly, and jugular venous distension. Characteristic tumor plop may be heard on auscultation in both left- and right-sided atrial tumors.5 The tumor may invade locally or embolize to the brain, pulmonary arteries, and on occasion, to the coronary arteries.5,6 Left atrial myxomas can cause coronary emboli and the decreased incidence of coronary embolism is explained by the small diameter of coronary apertures, the cusps protecting the origin of coronary arteries, and the right angled nature of the junction of the aortic bulb with the coronaries.7 The anatomic reasons listed above would also hold true for left atrial sarcoma.
Two-dimensional echocardiography is the investigation of choice for diagnosis and preoperative evaluation of the intracardiac tumors.3,5 Magnetic resonance imaging and computerized tomography can provide additional information about local extension of the tumor and enable detection of systemic metastasis.3,4 Surgical resection of the entire tumor is difficult in most cases because of the large size of the tumor and late stage at the time of diagnosis. Incomplete resection does provide relief from symptoms. Compete resection has been shown to improve survival when compared to incomplete resection.3,4 Local recurrence of the tumor is the most common cause of death. Adjuvant therapy in combination with incomplete resection may decrease the tumor burden and relieve symptoms but does not affect the fatal course of the disease. Prognosis is extremely poor with mean survival ranging from 9-16.5 months.3 For locally aggressive cardiac tumors without metastasis, heart transplantation may be considered. Aravot et al described a patient who survived for 5.5 years after undergoing heart transplantation for cardiac neurofibrosarcoma.8 Atrial homograft transplantation has been suggested as a surgical option for atrial sarcoma.9 The relatively low incidence of cardiac sarcoma and the uncommon presentation of cardiac sarcoma as myocardial infarction make this case unique.
References
- Cheitlin MD, McAllister HA, de Castro CM. Myocardial infarction without atherosclerosis. JAMA. 1975;231(9):951-959.
- Reynen K. Frequency of primary tumors of the heart. Am J Cardiol. 1996;77(1):107.
- Donsbeck AV, Ranchere D, Coindre JM, Le Gall F, Cordier JF, Loire R. Primary cardiac sarcomas: an immunohistochemical and grading study with long-term follow-up of 24 cases. Histopathology. 1999;34(4):295-304
- Putnam JB Jr, Sweeney MS, Colon R, Lanza LA, Frazier OH, Cooley DA. Primary cardiac sarcomas. Ann Thorac Surg. 1991;51(6):906-910.
- Patil HR, Singh D, Hajdu M. Cardiac sarcoma presenting as heart failure and diagnosed as recurrent myxoma by echocardiogram. Eur J Echocardiogr. 2010;11(4):E12. Epub 2009 Dec 11.
- Orban M, Tousek P, Becker I, Augustin N, Firschke C. Cardiac malignant tumor as a rare cause of acute myocardial infarction. Int J Cardiovasc Imaging. 2004;20(1):47-51.
- Braun S, Schrötter H, Reynen K, Schwencke C, Strasser RH. Myocardial infarction as complication of left atrial myxoma. Int J Cardiol. 2005;101(1):115-121.
- Aravot DJ, Banner NR, Madden B, et al. Primary cardiac tumours--is there a place for cardiac transplantation? Eur J Cardiothorac Surg. 1989;3(6):521-524.
- Stoica SC, Mitchell IM, Foreman J, Hunt CJ, Wallwork J, Large SR. Atrial transplantation for recurrent cardiac sarcoma. J Heart Lung Transplant. 2001;20(11):1220-1223.
___________________________________________________
From the 1Department of Medicine, the 2Department of Cardiology, Maimonides Medical Center, and the 3Department of Cardiology, Maimonides Medical Center, Brooklyn, New York.
Disclosure: The authors have completed and returned the ICMJE Form for Disclosure of Potential Conflicts of Interest. The authors report no conflicts of interest regarding the content herein.
Manuscript submitted January 23, 2012, provisional acceptance given February 7, 2012, final version accepted May 14, 2012.
Address for correspondence: Ajay Vallakati, MD, 1016 50th street, Apt # E, Brooklyn, New York, 11219. Email: ajayvhs@yahoo.com


