Traube’s Pulse
© 2023 HMP Global. All Rights Reserved.
Any views and opinions expressed are those of the author(s) and/or participants and do not necessarily reflect the views, policy, or position of Cath Lab Digest or HMP Global, their employees, and affiliates.
First described in 1872 by Ludwig Traube, Traube’s pulse, also known as pulsus bigeminus or pulsus alternans, is a rhythmic alternating strong and weak pulse. Traube’s pulse indicates severe cardiac failure and is a marker of poor prognosis; therefore, it is crucial to identify on physical examination and differentiate from other mimickers of alternating pulse.1,2
Case Report
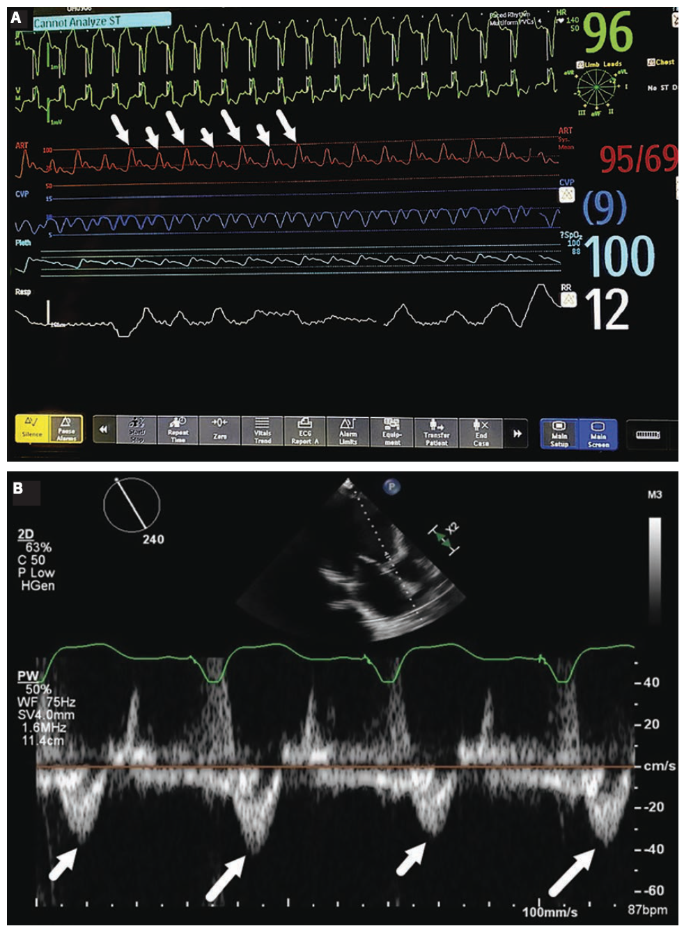
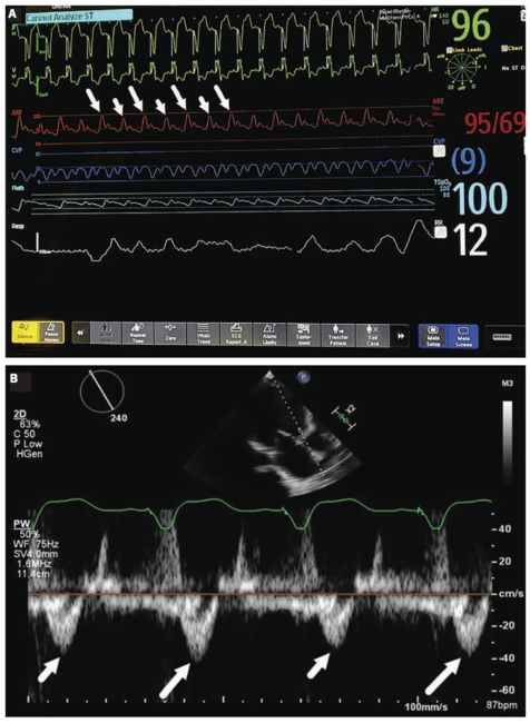
A 61-year-old man with inotrope dependent systolic heart failure secondary to nonischemic cardiomyopathy presented to the emergency department with worsening dyspnea and weight gain. On exam, his blood pressure was 85/66 mmHg, heart rate of 95 beats per minute with a regular rhythm, with jugular venous distension, a third heart sound, and 3+ pitting edema. The radial artery pulse was weak with variable intensity. An echocardiogram showed an ejection fraction of 10% and a trivial pericardial effusion without tamponade. Invasive monitoring in the intensive care unit revealed a regular alternating arterial pulse amplitude, independent of the rhythm or the respiratory phase (Figure 1A). A similar pattern was observed on pulse wave Doppler of the left ventricular outflow tract by echocardiography (Figure 1B). The patient was treated with intravenous diuretics and an intra-aortic balloon pump. He ultimately underwent cardiac transplantation.
Discussion
The term pulsus alternans has been used inaccurately to describe any pulse of variable amplitude, referred to as “false alternans”.3 Pulsus alternans is a physical exam phenomenon identified by arterial palpation, observation of the arterial pressure waveform, or plethysmography (Oximetry Alternans). It is important to distinguish true pulsus alternans from other causes of variable arterial pulse since the clinical implications vary. There are two proposed mechanisms explaining pulsus alternans. The first involves the Frank-Starling relationship whereby beat-to-beat proportional variations in end-systolic and end-diastolic volume result in variation of the contractile force generated. The second mechanism relates to abnormal intracellular calcium handling, resulting in fluctuations in myocardial contractile force, and therefore, forward stroke volume.2 In addition to pulsus alternans, the differential diagnosis of a variable pulse includes pulsus paradoxus, normal respiratory variation, and arrhythmias (Figure 2). Pulsus paradoxus is a pathologic decrease in systolic blood pressure during inspiration of greater than 10 mmHg. The arterial pressure reduction is sustained during the inspiratory portion of respiration and does not vary from one beat to the next (Figure 2B). Pulsus paradoxus is classically associated with cardiac tamponade, acute asthma, and chronic obstructive pulmonary disease exacerbations.4 Variations in respiration or cardiac cycle length can respectively affect venous return and diastolic filling time with subsequent effects on the arterial pulse, which may be confused with pulsus alternans.5 A physiological decrease in arterial pressure during normal inspiration can occur (Figure 2C). Furthermore, arrythmias such as bigeminy can produce alternating strong and weak beats, however the rhythm would be irregular and weak beats would occur prematurely.5 Finally, electrical alternans, which bears a similarity in name and is typically seen in the presence of a swinging heart within a large pericardial effusion, refers to beat-to-beat alternation of the axis or amplitude of any electrocardiographic component (QRS complex, P wave, ST segment, T wave), and not the arterial pulse.
With present-day concerns around declining clinician physical examination skills, clinicians should be aware of this physical exam finding for its important prognostic and therapeutic implications.
Disclosures: The authors report no conflicts of interest regarding the content herein. The patient’s written consent was obtained prior to publication.
The authors can be contacted via Faris G. Araj, MD, Associate Professor of Medicine, at faris.araj@utsouthwestern.edu
References:
1. Traube L. Ein fall von pulsus bigeminus nebst bemerkungen uberdie leberschwellungen bei kappenfehlern and uber acute leberatrophie. Berlin Klin Wochenschr. 1872; 9: 185-188.
2. Euler DE. Cardiac alternans: mechanisms and pathophysiological significance. Cardiovasc Res. 1999 Jun; 42(3): 583-590. doi:10.1016/s0008-6363(99)00011-5
3. Cournand A, Ferrer MI, Harvey RM, Richards DW. Cardiocirculatory studies in pulsus alternans of the systemic and pulmonary circulations. Circulation. 1956 Aug; 14(2): 163-174. doi:10.1161/01.cir.14.2.163
4. Sarkar M, Bhardwaj R, Madabhavi I, et al. Pulsus paradoxus. Clin Respir J. 2018 Aug; 12(8): 2321-2331. doi:10.1111/crj.12912
5. Windle JD. An address on abnormal forms of breathing in cases of angina pectoris with pulsus alternans. The Lancet. 1911; 177(4576): 1260-1266. https://doi.org/10.1016/S0140-6736(01)62614-X
Find More:
Grand Rounds With Morton Kern, MD
The Latest Clinical & Industry News
Podcasts: Cath Lab Conversations
Cardiovascular Ambulatory Surgery Centers (ASCs) Topic Center


