Challenging Anatomy: Sneak Attack, Triple Telescopic System Guide Extension, and Balloon Anchoring Solve the Problem
In the last two decades, interventional cardiology has seen an unprecedented boom in development of more and more advanced endovascular equipment, broadening the horizon of possibilities for percutaneous treatment of complex coronary lesions. Despite the availability of less traumatic, more maneuverable guides and guide extension catheters, one of the last frontiers of endovascular coronary interventions is the lack of deliverability of balloons and stents due to complex lesion characteristics or highly unfavorable coronary anatomy. In complex situations, increased support provided by deep cannulation of a coronary artery by a guide or a guide extension catheter might be necessary for successful completion of the procedure.1,2
Occasionally, even delivery of the guide extension catheter to its intended position represents a challenge requiring the use of techniques for temporary enhancement of support. One of these techniques is balloon anchoring with a coronary balloon delivered just distally to the intended position of the guide extension and inflated to a relatively low pressure. The increased support in this scenario is a result of friction forces between the vessel wall and the balloon. If needed, the amount of support can be increased by increasing balloon length or inflation pressure.3 Balloon anchoring has been successfully utilized also in extra-coronary applications, such as in interventions on the cranial circulation4 and even during delivery of a cardiac resynchronization device leading to a branch of the coronary sinus5.
In this case report, we describe a technique for cannulating the left main coronary artery (LM) with use of “sneak attack” wiring, guide extension support, and balloon anchoring.
Case Presentation
An 84-year-old female with a past medical history of coronary artery disease, atrial fibrillation, congestive heart failure with previously reduced and now recovered ejection fraction (EF), mitral valve insufficiency, hyperlipidemia, and diabetes mellitus type 2 presented to our clinic with worsening atypical chest pain for months, midsternal, sometimes linked to exercise and radiating to her back. She also reported progressive dyspnea on exertion, now short of breath after walking less than a block. She was on optimal medical therapy. Her physical exam was unremarkable. Echocardiographic evaluation showed preserved EF. Lexiscan nuclear stress test showed evidence of inferior wall ischemia. The patient was scheduled for outpatient coronary angiogram. Of note, she underwent coronary artery bypass grafting in 2018 for her coronary artery disease, with placement of a left internal mammary artery (LIMA) to left anterior descending artery (LAD) graft, and a saphenous venous graft (SVG) to a large obtuse marginal branch (OM).
Initial coronary angiogram via left radial approach showed patent LIMA to LAD, patent SVG to OM, mild right coronary artery (RCA) disease and severe distal LM disease with severe ostial LAD and ostial left circumflex (LCx) stenosis. At this point, the procedure was terminated and the patient was scheduled to return in a week for scheduled percutaneous coronary intervention (PCI) of the proximal LM to ostial LCx.
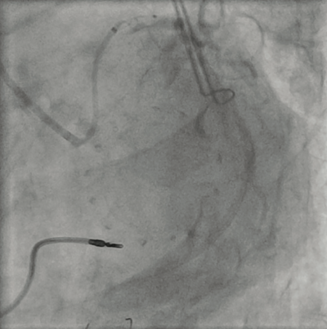
Right radial approach was chosen for PCI and access was obtained without complications. After an unsuccessful attempt to cannulate the LM with a 6 French (Fr) Launcher Extra Backup (EBU) 3.75 guide catheter (Medtronic), the guide was exchanged over a Wholey guidewire (Medtronic) for a 6 Fr Launcher Judkins Left (JL) 4 guide catheter (Medtronic). Again, repeated attempts to cannulate the LM were unsuccessful, necessitating another guide change, this time for a 6 Fr Launcher EBU 3.5 guide catheter. After another unsuccessful attempt to engage the LM, the decision was made to insert a Runthrough NS coronary guidewire (Terumo) into the guide parked in the aortic root distal to the LM ostium, followed by engagement of the LM in left anterior oblique view with the guidewire (Figure 1). Subsequently, the wire was carefully advanced to the distal LCx.
After gaining wire access to the LCx, support was increased by advancing a 5 Fr GuideLiner V3 guide extension (Teleflex) to the distal LM coronary artery. Unfortunately, even the combined support provided by the coronary guidewire and GuideLiner was not enough to allow engagement of the LM ostium with the guide. At this point, a NC Trek 2 mm x 12 mm balloon (Abbott Vascular) was advanced into the distal LM/proximal LCx and inflated to 5 atmospheres (atm) (Figure 2). With the help of this balloon anchoring, the guide catheter was gently lifted, then advanced into the ostial LM coronary artery (Figures 3-5). During this maneuver, gentle counter traction was placed on the shaft of our balloon catheter. After successful guide delivery to the LM coronary artery, the rest of the procedure was uneventful, with placement of a drug-eluting stent into the distal LM and proximal LCx with optimal angiographic result.



Discussion
Challenging coronary artery anatomy often necessitates the use of nonstandard approaches and a creative use of interventional equipment. Potential ways to increase support during percutaneous interventions include selection of a supportive guide, potential guide upsizing, use of a guide extension catheter, or utilization of balloon anchoring technique. For optimal results, multiple different approaches can be combined. In case of problems with initial guide engagement, wiring the coronary artery from the aorta with the “sneak attack” technique doesn’t prohibit the use of some of the abovementioned techniques, as illustrated by our case.
Conclusion
Our case report illustrates how the combination of wiring of the coronary from the aorta can be combined successfully with multiple support-increasing approaches to facilitate initial engagement and equipment delivery during complex PCI with unfavorable anatomy.
References
1. Sharma D, Shah A, Osten M, et al. Efficacy and safety of the GuideLiner mother-in-child guide catheter extension in percutaneous coronary intervention. J Interv Cardiol. 2017; 30: 46-55.
2. Liu S, Parr C, Zhang H, et al. Patient outcomes in GuideLiner facilitated percutaneous coronary intervention stratified by the SYNTAX score: a retrospective analysis. JRSM Cardiovasc Dis. 2019; 8: 2048004019835449.
3. Higami H, Nomura S, Higashitani N, et al. Reinforcement of the anchor balloon system in percutaneous coronary intervention: an in vitro assessment. Cardiovasc Interv Ther. 2021; 36(2): 219-225.
4. Peeling L, Fiorella D. Balloon-assisted guide catheter positioning to overcome extreme cervical carotid tortuosity: technique and case experience. J Neurointervent Surg. 2014; 6: 129-133.
5. Kumagai Y, Arimoto T, Yamauchi S, et al. Implantation of a cardiac resynchronization therapy device using the anchor balloon technique in a patient with a tortuous coronary sinus branch. HeartRhythm Case Rep. 2018; 4(8): 339-342.
The authors can be contacted via Zoltan Varga, MD, PhD, at zoltan.varga.md.phd@gmail.com


