Role of Left Atrial Septal Pouch in Cryptogenic Strokes: An Anatomical Entity We Need to Become Familiar With
© 2025 HMP Global. All Rights Reserved.
Any views and opinions expressed are those of the author(s) and/or participants and do not necessarily reflect the views, policy, or position of Cath Lab Digest or HMP Global, their employees, and affiliates.
Subramaniam C. Krishnan, MD, FACC, FHRS
Sutter Heart & Vascular Institute Sacramento, California
Disclosure: Dr. Krishnan reports ownership of intellectual property to achieve PFO closure.
Subramaniam C. Krishnan, MD, can be contacted at subramaniam.krishnan@sutterhealth.org
With commentary by Morton J. Kern, MD, MSCAI
Cryptogenic strokes remain a significant problem worldwide. In a recent study from the Fuwai Hospital in Beijing, China, investigators successfully demonstrated that in patients with cryptogenic strokes who also have a structure termed the left atrial septal pouch (LASP), using a 30/30 mm double disc PFO occluder device (Cardi-O-Fix; Starway Medical Technology, Beijing China) to eliminate the LASP is both feasible and markedly lowers the risk for recurrent stroke.1 They randomized 60 patients (mean age 44 years) who had a cryptogenic stroke and LASP to antiplatelet therapy with or without transcatheter obliteration of the septal pouch. The procedure was performed successfully with implantation of a double-disc PFO occluder to clamp the pouch closed, with no complications. Over the following 1.5-3 years, brain magnetic resonance imaging (MRI) revealed de novo embolic lesions in five patients treated with antiplatelet therapy alone and in none of the patients who had the LASP elimination (P=.018). This study from China brings attention to the anatomical entity/septal variant of the septal pouch in a substantial way. One of the take-home messages for cardiologists, cardiac radiologists, stroke neurologists, and catheterization laboratory personnel is the need to be aware of this entity. Below is a sequence of how the story on the septal pouch and its thromboembolic potential evolved over the past decade and a half. In this article, our goal is to increase awareness of this structure.
What is the Left Atrial Septal Pouch?
The left atrial septal pouch was first observed in about 2003 and the first manuscript of an autopsy study describing the structure was published in 2010. In a subsequent publication we demonstrated thrombi in this pouch in patients.2,3 Around that time, there was a lot of excitement about the left atrial appendage. It also seems that the LASP is another structure that similarly behaves like a cul-de-sac or, in essence, a smaller left atrial appendage with the potential to form blood clots and give rise to strokes. A LASP occurs when the two components of the septum, ie, the septum primum and septum secundum at the interatrial septum, fuse only at the caudal part of the zone of overlap, giving rise to a pouch opening into the left atrium, and is found in 30-35% of all adults. An example from our autopsy study is shown in Figure 1, where a cranial cavitary view into the pouch is provided. In our autopsy study, the LASP had a mean depth of 8.3 mm (SD ±3.47 mm).
Studying the interatrial septum reveals substantial variations in the patterns of fusion along the zone of overlap of the septum primum and secundum. Fusion between the septum primum and secundum occurring along the entire zone of overlap (Panel A, Figure 2) is considered “normal”. When fusion between the septum primum and secundum is limited to the caudal portion of the zone of overlap, it results in a pouch that can be accessed from the left atrium (Panel B, Figure 2). When there is a lack of fusion between the septum primum and secundum (Panel C, Figure 2), it results in a patent foramen ovale. Figure 2 also demonstrates that it is primarily the length of the septum secundum, which is an infolding of the atrial roof, that determines the extent of overlap between it and the septum primum.4 The extent of overlap then determines whether the particular heart will have a completely fused septum, a PFO, or a left atrial septal pouch. Hearts with LASP had a significantly longer septum secundum with a longer zone of overlap between the septum primum and secundum.4 The longer overlap results in absence of fusion in the cranial portion in the overlap zone, giving rise to a LASP.
Varying Mechanisms Underlying Thrombi Occurring Within LASP
Since the original description of the LASP, there have been numerous studies confirming that thrombi can indeed form within the pouch.3,5 These studies include asymptomatic patients as well as individuals with recent thromboembolism. Figure 3 shows a transesophageal echo image of a young male who presented with a brachial artery thrombus.
My fellow investigators and I believe that the pathophysiology of thrombus formation within the septal pouch is different from what occurs in the left atrial appendage. Unlike what is seen with the appendage, it does not appear that atrial fibrillation holds as important a role regarding thrombus formation in the septal pouch. Thrombus within the LASP is seen less frequently than in the appendage, probably for two reasons: (i) the appendage is present in everyone and LASPs are not, and (ii) possibly because there is a mechanism preventing thrombus formation where brisk blood flow from the right pulmonary veins acts as a protective mechanism. This brisk flow prevents stasis of blood and when that protective mechanism is lost, we have previously proposed that blood clots will start to form with increasing frequency. Mitral stenosis, perhaps related to rheumatic heart disease, and congestive heart failure are two conditions that might lead to the loss of this protective blood flow past the LASP and increase the chances of a clot formation.
(Courtesy Dr. Charles Searles, Emory University, Atlanta, Georgia).
Prevalence of the Septal Pouch in Patients With Cryptogenic Strokes
Over the past 10-14 years, physician investigators showed that in patients with unexplained strokes of undetermined source (ESUS)/cryptogenic strokes, similar to what was observed with PFOs, the prevalence of the septal pouch, while widely variable, was significantly greater than in the general population.6,7 The pathophysiology of these strokes remains incompletely understood and it may turn out that LASP may be an independent risk factor for cryptogenic strokes.
How is the LASP Detected?
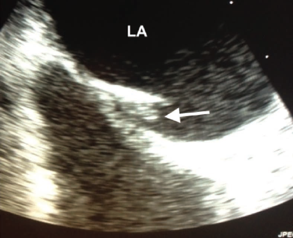
Transesophageal echocardiography is the main imaging modality to recognize the LASP. The presence of a LASP is typically evaluated in the bi-caval view (with transducer in the mid-esophageal position and angled 90-110 degrees) and in the short-axis view (with transducer in the mid-esophageal position and angled 25-45 degrees). Panels A and B of Figure 4 show a typical short-axis image of a left atrial septal pouch. A prerequisite to the recognition of the septal pouch is the demonstration of no connection between the left and right atria, ie, coexistence of the PFO and LASP cannot be observed, and the two are mutually exclusive. Shown in Figure 4 B is an example of bubble opacification of the right atrium with a Valsalva maneuver with no bubbles seen in the left atrium.
Computed tomography (CT) angiography is also being increasingly used to diagnose the presence of a septal pouch. Typically, short-axis and 4-chamber views are used (Panel A, Figure 5). In Figure 5, a LASP (black arrow) can be seen with CT angiography with a 4-chamber view in Panel B and a short-axis view in Panel C. With CT angiography, PFOs are diagnosed when there is a caudally-directed left-to-right contrast jet during diastole, making an acute angle with the septum. An ostium secundum atrial septal defect (ASD) is present when a portion of the FO floor was absent, with a left-to-right shunt jet perpendicular to the septum. If the fusion between the overlapping septal pouch and septum secundum is limited to the caudal part of the overlap zone, creating a contrast-enhanced pouch into the left atrium, a LASP is diagnosed. While looking for the LASP, the CT images are acquired and analyzed during dye opacification of the left atrium. Therefore, this technique does not allow for accurate detection of variants, such as the right atrial septal pouch.
Applying Lessons Learned From Formation of the Septal Pouch
The left atrial septal pouch also teaches us how a PFO closes naturally, with adhesions forming between the two components of the interatrial septum. Based on the lessons learned, we were successfully able to achieve closure of PFOs without leaving a permanent device, by artificially injuring the adjacent surfaces.8
Future Research
Further research is underway to explore the long-term outcomes of this novel procedure in larger populations. Since LASPs were only first described in 2010, it will take some time to accumulate the necessary evidence to justify larger trials evaluating potential interventions. We must remember that it took decades for the field of PFO closure to evolve.
The Bottom Line
While waiting for clinical studies to materialize, the take-home message for clinicians, particularly cardiologists and stroke neurologists, is the need to be aware of this anatomical entity, and in patients who present with cryptogenic strokes, similar to PFOs, the LASP is a structure that must be investigated as a potentially treatable entity.
Commentary
Re: Role of Left Atrial Septal Pouch in Cryptogenic Strokes: An Anatomical Entity We Need to Become Familiar With.
By Morton J. Kern, MD
Innovation in medicine is a continuous process requiring keen observers and diligent investigators. I met Dr. Krishnan more than a decade ago at University of California – Irvine and recognized that he has the qualities that make him an innovator and an expert electrophysiologist. His innovation in the electrophysiology field is captured in his description of the discovery of the left atrial septal pouch. This anatomic septal malformation is in the patent foramen ovale (PFO) family of defects. As an aside and not described in detail here, Dr. Krishnan also investigated a unique technique to stimulate PFO scarring and closure after radiofrequency ablation of tissue around the PFO.
In this Cath Lab Digest article, Dr. Krishan provides a brief history of and his role in its discovery. Dr. Krishnan provides readers with a very detailed description, diagnosis, and treatment in his left atrial septal pouch (LASP) series. The importance of the LASP is that it is an unsuspected source of atrial embolism and stroke. LASP can be closed with a PFO occluder. Patients suffering from cryptogenic strokes should have this diagnosis of LASP excluded or treated. I think you will enjoy reading this article and increasing your awareness of the LASP, as I have.
References
1. Yan C, Li H. Transcatheter elimination of left atrial septal pouch for secondary stroke prevention. JACC Cardiovasc Interv. 2024 Dec 9; 17(23): 2845-2847. doi:10.1016/j.jcin.2024.09.033
2. Krishnan SC, Salazar M. Septal pouch in the left atrium: a new anatomical entity with potential for embolic complications. JACC Cardiovasc Interv. 2010 Jan; 3(1): 98-104. doi:10.1016/j.jcin.2009.07.017
3. Gurudevan SV, Shah H, Tolstrup K, Siegel R, Krishnan SC. Septal thrombus in the left atrium: is the left atrial septal pouch the culprit? JACC Cardiovasc Imaging. 2010 Dec; 3(12): 1284-1286. doi:10.1016/j.jcmg.2010.10.003
4. Tahara A, Motoyama S, Malik S, Tahara N, Imaizumi T, Saremi F, Sanz J, Seto A, Narula J, Krishnan SC. Formation of the interatrial septum: insights obtained from cardiac computed tomographic angiography. Clin Anat. 2025 Mar; 38(2): 158-167. doi:10.1002/ca.24223
5. Breithardt OA, Papavassiliu T, Borggrefe M. A coronary embolus originating from the interatrial septum. Eur Heart J. 2006 Dec; 27(23): 2745. doi:10.1093/eurheartj/ehl051
6. Sun JP, Meng F, Yang XS, et al. Prevalence of atrial septal pouch and risk of ischemic stroke. Int J Cardiol. 2016 Jul 1; 214: 37-40. doi:10.1016/j.ijcard.2016.03.119
7. Hołda MK, Krawczyk-Ożóg A, Koziej M, et al. Left-sided atrial septal pouch is a risk factor for cryptogenic stroke. J Am Soc Echocardiogr. 2018 Jul; 31(7): 771-776. doi:10.1016/j.echo.2018.01.023
8. Di Biase L, Burkhardt JD, Horton R, Sanchez J, Mohanty P, Mohanty S, Bailey S, Gallinghouse GJ, Natale A, Krishnan SC. Closure of foramen ovale triggered by injury to tunnel surfaces of septum primum and secundum. J Interv Card Electrophysiol. 2019 Jun; 55(1): 63-71. doi:10.1007/s10840-019-00510-5
Find More:
Cardiovascular Ambulatory Surgery Centers (ASCs) Topic Center
The Latest Clinical & Industry News
Grand Rounds With Morton Kern, MD
Peripheral Artery Disease Topic Center


