A Look at TAVR Research at TCT 2023
TAVR Trials to Watch Include PARTNER 3, EVOLUT, WATCH TAVR, ALIGN-AR, and VIVA
TAVR Trials to Watch Include PARTNER 3, EVOLUT, WATCH TAVR, ALIGN-AR, and VIVA
With several hotly anticipated late-breaking clinical trial results centering around transcatheter aortic valve replacement (TAVR), the 2023 TCT meeting, held October 23-26 in San Francisco, California, promises attendees a deep dive into the latest data around all aspects of the TAVR procedure. First performed April 16, 2002, by Prof. Alain Cribier in Rouen, France, TAVR rapidly transformed the treatment of severe aortic stenosis. Now settling into maturity 21 years later, TAVR continues to be a life-changing treatment for increasing numbers of patients each year and has opened up new questions for research.
Presented trial results will focus on the treatment of low-risk severe aortic stenosis patients for both the Sapien (Edwards Lifesciences) and Evolut (Medtronic) transcatheter aortic valves in two separate trials, TAVR (JenaValve) in patients with symptomatic, severe aortic regurgitation at high surgical risk, left atrial appendage occlusion with the Watchman (Boston Scientific) during the TAVR procedure for patients with atrial fibrillation, and TAVR versus surgical aortic valve replacement in patients with severe aortic stenosis and a small aortic annulus.
Beyond the late-breaking trials, attendees will find many additional areas of TAVR research under ongoing exploration and discussion, including (but not limited to) leaflet modification, cerebral protection, next-generation valve systems, the impact of coronary artery disease on the TAVR procedure, hypoattenuated leaflet thickening (HALT) after TAVR, valve-in-valve procedures, prosthesis-patient mismatch, lifetime management, and disparities in referrals and outcomes.
Satellite (sponsored) events discussing TAVR will occur as two lunch symposiums and one morning symposium, with one occurring each day of the meeting:
• Delays in the TAVR patient pathway carries more risk than the TAVR procedure itself! (Sponsored by Edwards Lifesciences) Tues, Oct 24, 12:30pm PST, Location: iCOACH Theater, Rooms 203/211, Level 2, Moscone South
• Minimalistic TAVI with SavvyWire®: Optimizing without Compromising (Sponsored by Opsens Medical) Wed, Oct 25th, 6:15am PST, Location: Presentation Theater 2, Room 208, Level 2, Moscone South
• Bigger Than You Think: The Unmet Need in Aortic Regurgitation and Key Learnings from the ALIGN-AR Study (Sponsored by Jenavalve Technology, Inc.) Thursday, Oct 26, 12:30pm PST, Location: iCOACH Theater, Rooms 203/211, Level 2, Moscone South
All Eyes on 5 TAVR Late-Breaking Clinical Trials
On Tuesday, October 24th at 11am PST, presentation will begin of 4 of the 5 trials centered directly around TAVR, in a session being held in collaboration with the New England Journal of Medicine.
Location: Innovation & Clinical Science Theater, Hall B, Exhibition Level, Moscone South
• 5-Year Clinical and Echocardiographic Outcomes From the PARTNER 3 Low-Risk Randomized Trial (Presenter: Martin B. Leon, MD)
• Four-Year Outcomes From the EVOLUT Low Risk Trial (Presenter: Michael J. Reardon, MD)
Questions for the above two trials, both longer outcomes in a low-risk surgical population, may center around any demonstrated advantage for risk of mortality and stroke, event rates, and valve durability.
• Safety and Efficacy of Left Atrial Appendage Occlusion at the Time of Transcatheter Aortic Valve Replacement - WATCH TAVR Trial Results (Presenter: Samir R. Kapadia, MD)
Boston Scientific’s Watchman is a left atrial appendage occlusion device used as an alternative to oral anticoagulation to reduce the risk of stroke in patients with non-valvular atrial fibrillation. Reducing the risk of stroke in patients undergoing TAVR, often described as an unmet clinical need, is an ongoing effort, and researchers hope to also evaluate whether there is increased safety with the Watchman (versus oral anticoagulation) for patients undergoing TAVR who are at high risk of bleeding.
• ALIGN-AR Trial: Initial Outcomes of the JenaValve Trilogy Transcatheter Aortic Valve Replacement in High Risk Patients With Symptomatic Severe Native Aortic Regurgitation (Presenter: Vinod H. Thourani, MD)
A highly anticipated trial evaluating a transcatheter aortic valve for severe, symptomatic aortic regurgitation in patients who are poor surgical candidates. While TAVR has been well studied for the treatment of aortic stenosis, the use of TAVR in aortic regurgitation is a relatively new approach.
TCT’s 5th TAVR-related clinical trial will be presented at 11:44am PST on Thursday, October 26, during that day’s late-breaking clinical trial session, held in conjunction with the Journal of the American Medical Association.
Location: Innovation & Clinical Science Theater, Hall B, Exhibition Level, Moscone South
• Trancatheter Versus Surgical Aortic Valve Replacement in Patients With Severe Aortic Stenosis and Small Aortic Annuli: A Randomized Clinical Trial (the VIVA Trial) (Presenter: Josep Rodés-Cabau, MD)
A small aortic annulus (mean diameter <23 mm) is frequently found in elderly women. Concerns post valve replacement include prosthesis-patient mismatch and impaired valve hemodynamics. The VIVA trial is evaluating the hemodynamic and clinical outcomes of TAVR versus SAVR in this patient population.
A long-sheath assisted transfemoral transcatheter aortic valve replacement (A-C: case 1; D-I: case 2). (A, B, D, E) Volume-rendering images of the aorta. (C) A successfully implanted valve. (F) Valve deployment. (G, H, I) Ascending aorta dissection (arrowheads) and dissection entry (arrows).
Reprinted with permission from Higuchi R, Nishida K, Saji M, Ohno M, Takamisawa I. J Invasive Cardiol. 2023 Apr;35(4):E221-E222.
The Enthusiasm Continues: Late-Breaking Clinical Science in TAVR
A session held Tuesday, Oct 24th, in conjunction with the Journal of the American College of Cardiology, will feature:
• 2pm PST, “Five-year Echocardiographic Outcomes From The PARTNER 3 Low-Risk Randomized Trial” (Presenter: Rebecca T. Hahn, MD) Location: Innovation & Clinical Science Theater, Hall B, Exhibition Level, Moscone South
A session held Thursday, Oct 26th, in conjunction with the European Heart Journal / EuroIntervention, (Location: Innovation & Clinical Science Theater, Hall B, Exhibition Level, Moscone South) will feature:
• 2:54pm PST, “Atrioventricular Conduction System Changes During Transcatheter Aortic Valve Replacement (TAVR): Anatomic and Electrophysiologic Predictors of Heart Block in Prospective 400 Patient EPS/TAVR Study” (Presenter: Alfred Buxton, MD)
• 3:12pm PST, “Outcomes of Patients With New Left Bundle Branch Block Following Transcatheter Aortic Valve Replacement: Insights From the NCDR STS/ACC TVT Registry” (Presenter: Nickpreet Singh, MD)
TAVR Research Across the Meeting
A few of the many presentations are listed below:
Concerns around the accurate assessment of the severity of aortic stenosis using measurements derived from Doppler echocardiography and cardiac catheterization drove an initial pilot study evaluating a functional diagnostic parameter called aortic valve coefficient, defined as the ratio of the transvalvular pressure drop to the proximal dynamic pressure. On Tues, Oct 24 at 2:18pm PST, Prof. Rupak K. Banerjee reports the results of “A Novel Functional Index - Aortic Valve Coefficient (AVC) - for Assessing Aortic Valve Stenosis: A Pilot Prospective Study in Patients Undergoing Transcatheter Aortic Valve Replacement” (TCT 503). Location: Moderated Abstracts Station 8 – Emerging Clinical Science & Research, Hall C, Exhibition Level, Moscone South
Valve-in-valve procedures, including treatment of degenerated surgical bioprostheses with transcatheter valves, are increasingly being performed. Important concerns during a valve-in-valve procedure include not only preventing and handling high residual gradients, but technical issues such as commissural alignment and depth of implantation. On Tues, Oct 24 at 3:00pm PST, Dr. Won-Keun Kim will present results of the AVENGER multicenter registry, “Comparison of Two Self-Expanding Transcatheter Heart Valves for Degenerated Surgical Bioprostheses.” Location: Innovation & Clinical Science Theater, Hall B, Exhibition Level, Moscone South
"The Next Generation of Balloon-Expandable TAVR: The SAPIEN X4 Valve and ALLIANCE Trial" will be presented by Rahul Prakash Sharma, MD, on Wednesday, October 25th at 2:08pm PST. Location: Structural Spotlight Theater, Hall E, Exhibition Level, Moscone North. The Sapien X4 THV is being tested in the ongoing ALLIANCE clinical trial, which is a prospective, single-arm, multicenter study evaluating safety and effectiveness. The trial includes over 900 patients with severe calcific aortic stenosis at all surgical risk levels, with tri- or bicuspid anatomy. The primary endpoint will be the nonhierarchical composite of death or stroke at one year, compared to controls from PARTNER 2 and PARTNER 3.
The results of the SAFE-TAVI Clinical Study: SavvyWire Efficacy and Safety in TAVI Procedures will be presented on Wednesday, October 25, at 10:09am PST by Dr. Ander Regueiro. The SAFE-TAVI study enrolled 119 patients and was conducted in nine hospitals including eight centers across Spain and one in Canada. Location: Moderated Abstracts Station 2 – Emerging Clinical Science & Research, Hall A, Exhibition Level, Moscone South
“We can not only perform left ventricular (LV) pacing with the SavvyWire (OpSens), but measure the hemodynamics of the valve pre, when we cross the valve, and post, when we are done,” said Mark Goodwin, MD, Edward-Elmhurst Health, in an interview with Cath Lab Digest discussing his experience using the SavvyWire to optimize TAVR procedures.
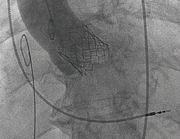
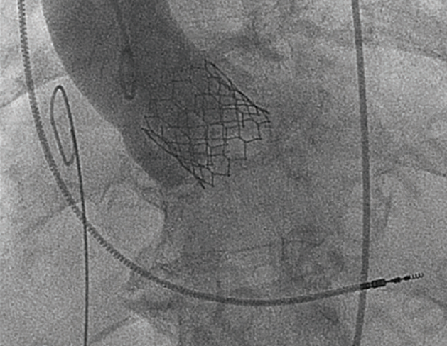
(A) Valve #1 initially positioned 5 mm below the annulus; (B) Valve #1 implanted 16 mm below the annulus; (C) Positioning valve #2 within valve #1; (D) Valve embolization: partially-released valve #2 within fully-released valve #1; (E) Valve #1 snared in the ascending aorta and valve #2 implanted 16 mm below the annulus; (F) Valve #3 implanted within valve #2.
Reprinted with permission from Sliman H, Eitan A, Jaffe R. J Invasive Cardiol. 2023 May;35(5):E277-E278.
A sub-analysis of the PANTHEON (Performance of Currently Available Transcatheter Aortic Valve Platforms in Inoperable Patients With Pure Aortic Regurgitation of a Native Valve) study will be presented Wednesday, October 25th, at 2pm PST, by Dr. Enrico Poletti. TAVR for pure severe native aortic valve regurgitation remains a challenging procedure, with significant risk for valve embolization or migration. Reported results from PANTHEON published in JACC: Cardiovascular Interventions in August 2023 described similar performance in this patient population for both balloon-expandable and self-expanding aortic valves. Dr. Poletti will present the sub-analysis “Balloon-Expandable Performance in Inoperable Patients with Pure Aortic Regurgitation of a Native Valve” (TCT 203). Location: Moderated Abstracts Station 1 – Emerging Clinical Science & Research, Hall A, Exhibition Level, Moscone South
Find the full TAVR track at TCT here.
Keep reading:


