Navigating Impaired Central Venous Access in the Long-Haul COVID-19 Patient
Abstract
We present a 39-year-old man with long-term respiratory sequelae from COVID-19 pneumonia who underwent right heart catheterization for lung transplant evaluation. The unusual sclerotic and aneurysmal lesions in the peripheral and central venous vasculature from this case highlight changes that proceduralists may anticipate in this patient population.
There have been numerous reports linking the SARS-CoV-2 virus to vascular pathologic phenomena such as stenosis, aneurysms, thrombosis, and hyperplasia. While the mechanisms behind the disease process are being actively investigated, it has been postulated that a pro-inflammatory cytokine cascade contributes to hypercoagulability that may appear late beyond the resolution of viral symptoms. Many recovered patients suffer from post acute COVID-19 pulmonary fibrosis, requiring right heart catheterization to assess cardiopulmonary pressures in planning for potential lung transplantation. We present a recovering post COVID-19 patient with dramatic venous changes that complicated central venous access for a right heart catheterization, highlighting key vascular anomalies that might be present in this patient population.
Case Presentation
A 39-year-old Caucasian man with a history of COVID-19 pneumonia complicated by acute respiratory distress syndrome (ARDS) and severe pulmonary fibrosis requiring 2 liters of home supplemental oxygen presented eight months after recovery for a right heart catheterization (RHC) for lung transplant evaluation. His initial hospital course required three intensive care unit (ICU) re-intubations with eventual transition to tracheostomy. Of note, during his hospitalization, his laboratory testing demonstrated severe systemic inflammatory response including lactic dehydrogenase (LDH) peak of 641 U/L (reference range 140 U/L – 280 U/L), D-dimer peaking above detectable levels, and C-reactive protein peak at 300 mg/L (reference range <10 mg/L). Computed tomography pulmonary angiography (CTPA) on presentation ruled out pulmonary emboli and did not demonstrate central vascular anomalies. A duplex ultrasound of the lower extremities showed no deep vein thrombosis. A peripherally inserted central catheter (PICC) line was attempted, noting left-sided veins that could not be successfully accessed. A PICC nurse was eventually able to access the right brachial vein, and the PICC line remained in place for 3 months.
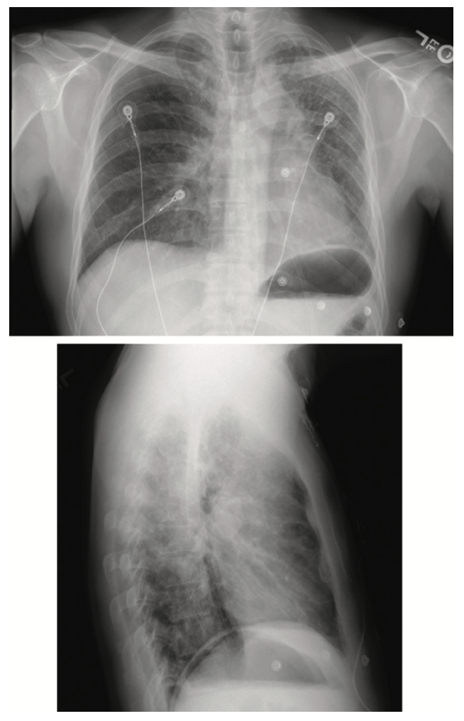
The patient’s initial electrocardiogram (ECG) of 12/2020 showed normal axis and nonspecific ST changes (Figure 1A). An ECG on 8/2021 showed rightward axis and right atrial enlargement, early repolarization changes, and diffuse ST-elevations in leads II, III, aVF, and V3-V6 (inferolateral and septal) with accompanying ST-depressions suspicious for possible pericarditis (Figure 1B). His chest x-ray demonstrated scarring and fibrotic changes most prominent in the left upper lung (Figure 2). A chest CT revealed fibrosis in the left upper lung (Figure 3A-B) greater than the right and persistent though improved peripheral ground-glass opacities. Transthoracic echocardiogram during hospitalization demonstrated a normal left ventricular ejection fraction (52%-55%) with mild tricuspid regurgitation, right ventricular systolic pressure 25-30 mmHg, and a normal inferior vena cava (IVC).
On the day of procedure, the patient had no chest pain. He was on his chronic home requirement of 4 liters of oxygen. Physical exam revealed bibasilar dry crackles, no pericardial rub, no peripheral edema, and no elevation of jugular venous pressure. A RHC was performed with ultrasound-guided right brachial venous access. Despite successful entry into an ultrasound-documented brachial vein, the guidewire could not be advanced >10 cm without meeting resistance. Several similar attempts with adjacent veins also failed. Proximal vein images show diffuse and severe narrowing of the right brachial medial veins (Figure 4A) and were assumed to be a consequence of prior PICC placement. Left brachial vein access was then attempted and was also noted to be difficult due to severe venous narrowing (Figure 4B), but access was eventually achieved via the cephalic vein using the assistance of an angioplasty guidewire. The 5 French (F) balloon-tipped catheter was advanced to the subclavian vein also with some difficulty, requiring a guidewire to facilitate passage, and angiography showed a large axillary vein on injection of contrast into the brachial vein. Both the internal jugular vein and superior vena cava (SVC) were extremely large in caliber with turbulent angiographic flow. Further advancement of the balloon catheter required an .014-inch guidewire (Figure 5A-B). The guidewire preferentially moved into sites one would expect of the azygous and internal thoracic veins. Finally, after traversing the complex subclavian vein, hemodynamic measurements were obtained with the 5F balloon-tipped catheter. Blood oxygen saturations with hemodynamic recordings showed right heart hemodynamics and cardiac output that were normal (Table 1). There was an inability to advance the balloon catheter safely to the pulmonary capillary wedge pressure position, despite using a guidewire, due to strong proximal resistance, so this measurement was deferred. After collecting sufficient hemodynamic data to determine transplant candidacy, the 5F catheter and sheath were removed. Hemostasis was obtained using manual compression. There were no postprocedural complications.
Discussion
In our long-haul COVID-19 patient, we found severe narrowing of veins in both arms and turbulent flow in large central veins with preference for guidewire movement into the azygous and internal thoracic veins. These vascular aberrations in our patient likely resulted from COVID-19 vasculopathy, a prolonged ICU course complicated by treatments requiring navigation of difficult central and peripheral vascular access, potential congenital anomalies, or any combination of these factors.
Respiratory failure due to COVID-19 has been associated with pro-thrombotic changes in the alveoli that begins when the virus binds to angiotensin-converting enzyme 2 receptors expressed abundantly in alveolar epithelial cells.1 The resulting pro-inflammatory cytokine storm favors expression of procoagulant factors such as tissue factor while downregulating expression of antithrombotic factors such as thrombomodulin.1-3 Severe hypoxemia requiring prolonged positive-pressure ventilation promotes microthrombi formation by forcing viral RNA into the systemic arterial and venous beds.4 Although no pulmonary emboli were seen on CTPA in our patient, microthrombi in the pulmonary vasculature could have developed in the COVID-19-induced pro-thrombotic milieu.
Critically ill COVID-19 patients often require maintenance of central venous catheters. The PICC line in our patient likely provoked focal areas of endothelial injury in the vein wall adjacent to the catheter. In a study that examined the histologic changes that occur in the venous system adjacent to central venous catheters, including the access vein (internal jugular or subclavian vein), ipsilateral brachiocephalic vein, and SVC, focal areas of endothelial denudation in the mid to distal SVC were seen in short-term central venous catheters, whereas in long-term catheters, smooth muscle cell hyperplasia was present along the entire intravascular course of the catheter, with focal areas of catheter attachment to the vein wall.5 The venous anomalies found in our patient may have resulted from hyperplastic changes that occurred in the venous intima from catheter-induced endothelial injury and formation of pedicle-like attachments between the catheter and the vein wall.6 These pedicles may have persisted beyond removal of the catheter, causing occlusion of the SVC and angiogenesis resulting in aneurysmal central venodilation observed during the RHC. Access devices may thus cause reactive changes in the venous system that hinder future attempts at peripheral or central access.
Curiously, the vascular changes related to prolonged central or peripheral access during a long ICU course involved both arms in our patient. We speculate that the increased diameter of the central veins was secondary to increased peripheral venous pressure, fibrotic pulmonary changes, development of a large basilic vein due to stenotic cephalic veins, or from thrombosis. The development of collateral flow in the azygous and internal thoracic veins to the IVC and brachiocephalic vein, respectively, could also have contributed to the abnormal central venous flow observed during the RHC.
Conclusion
Given the overlap between degree of lung disease and severity of vascular pathology, patients with the most severe lung pathology may be the same population that have the most difficult central venous access. This case suggests that stenotic changes and disruptions in normal venous flow may result from vascular disease of the peripheral and central veins due to COVID-19 infection. Operators tasked with obtaining central venous access in these patients may need to examine their anatomical options in consideration of difficulties with routine venous access in the COVID-19 patient population.
Disclosures: Dr. Wu and Dr. Yabumoto report no conflicts of interest regarding the content herein. Dr. Kern reports he is a speaker for Abbott Vascular, Boston Scientific, Philips, Opsens, and ACIST Medical.
The authors can be contacted via Perry Wu, MD, at wu.y.perry@gmail.com
References
1. Nalbandian A, Sehgal K, Gupta A, et al. Post-acute COVID-19 syndrome. Nat Med. 2021; 27(4): 601-615. doi: 10.1038/s41591-021-01283-z
2. Ackermann M, Verleden SE, Kuehnel M, et al. Pulmonary vascular endothelialitis, thrombosis, and angiogenesis in Covid-19. N Engl J Med. 2020; 383(2): 120-128. doi: 10.1056/NEJMoa2015432
3. Siddiqi HK, Libby P, Ridker PM. COVID-19 - a vascular disease. Trends Cardiovasc Med. 2021; 31(1): 1-5. doi: 10.1016/j.tcm.2020.10.005
4. Piazza G, Morrow DA. Diagnosis, management, and pathophysiology of arterial and venous thrombosis in COVID-19. JAMA. 2020; 324(24): 2548-2549. doi: 10.1001/jama.2020.23422
5. Forauer AR, Theoharis C. Histologic changes in the human vein wall adjacent to indwelling central venous catheters. J Vasc Interv Radiol. 2003; 14(9 Pt 1): 1163-1168. doi: 10.1097/01.rvi.0000086531.86489.4c
6. Xiang DZ, Verbeken EK, Van Lommel AT, et al. Intimal hyperplasia after long-term venous catheterization. Eur Surg Res. 2000; 32(4): 236-245. doi: 10.1159/000008770


