Navigating Complexity: TAVR in an Elderly Patient With Critical Aortic Stenosis and Severe Annular Calcification
© 2025 HMP Global. All Rights Reserved.
Any views and opinions expressed are those of the author(s) and/or participants and do not necessarily reflect the views, policy, or position of Cath Lab Digest or HMP Global, their employees, and affiliates.
Nouraldeen Manasrah, MD; Musa Sharkawi, MD
Cardiology Department, WellStar Medical College of Georgia, Augusta University
Disclosures: The authors have no conflicts of interest regarding the content herein.
The authors can be contacted via Nouraldeen Manasrah, MD, at nmanasrah@augusta.edu
Transcatheter aortic valve replacement (TAVR) has emerged as a pivotal intervention for patients with severe calcific aortic stenosis, particularly for patients at high or prohibitive risk for surgical aortic valve replacement. TAVR has demonstrated significant benefits in improving symptoms, functional status, and survival rates among high-risk patients with severe aortic stenosis.1 Severe aortic annular and left ventricular outflow tract (LVOT) calcification poses a challenge when considering TAVR, and is more pronounced in patients in advanced disease stages and with bicuspid aortic valve. Among patients undergoing TAVR, aortic valve and annular calcification has been identified as a predictor of paravalvular regurgitation and annular rupture.2 The following case details TAVR in a 93-year-old female with critical calcific aortic stenosis with severe annular calcification, highlighting the complex decision-making process required to achieve optimal clinical outcomes.
Case Presentation
A 93-year-old female with a history of hypertension and Stage 3A chronic kidney disease was transferred to our facility for management of new-onset acute heart failure with reduced ejection fraction and critical aortic stenosis. She had reported shortness of breath for at least five months but maintained independence in her daily activities.
Transthoracic echocardiography (TTE) revealed an ejection fraction of 20%-25% and critically severe aortic stenosis (aortic valve area of 0.26 cm², mean pressure gradient of 58 mmHg, dimensionless index of 0.16, and peak aortic velocity of 4.7 m/s). Right and left heart catheterization indicated preserved cardiac output and mild coronary artery disease. Computed tomography (CT) angiography showed peripheral vasculature suitable for a femoral approach for TAVR, as well as severe calcification of the aortic valve with a calcium score of 5478. Furthermore, there was a prominent calcific nodule extending into the annulus and LVOT, and aortic annular area measured at 418 mm2 (Figure 1).
After a brief period of medical optimization, the patient underwent TAVR with a 23 mm Edwards Sapien 3 Ultra Resilia valve and cautious post dilation with nominal balloon preparation (Figure 2A). Post TAVR, her ejection fraction improved to 35%-40%, with a mean gradient of 11 mmHg and mild to moderate paravalvular leak (PVL). The patient was discharged the following day with a plan for close follow-up.
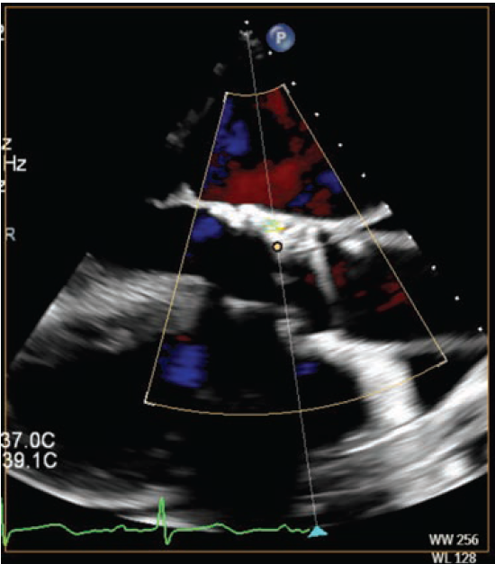
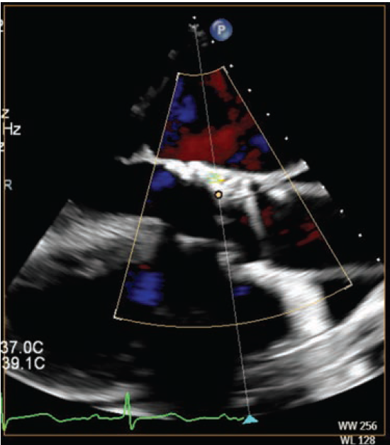
At the one-month follow-up appointment, she reported recurrence of shortness of breath with activity. A repeat echocardiogram showed moderate to severe PVL, and her ejection fraction had improved to 40%-45%, with an aortic valve gradient of 9 mmHg. We elected to perform PVL closure. Intraoperative transesophageal echocardiography (TEE) revealed moderate to severe PVL, with two jets on either side of a the large LVOT nodule (Figure 2B). Cardiac catheterization revealed an left ventricular end-diastolic pressure (LVEDP) of 24 mmHg and an aortic regurgitation (AR) index of 16.
Procedure Details
A 7 French (Fr), 45 cm sheath was inserted via the right femoral artery. The PVL was crossed with a 7 Fr multipurpose guide catheter, a Berenstein catheter in a mother-daughter technique, and a Minamo coronary wire (Asahi Intecc). The Berenstein catheter was then advanced into the left ventricle and confirmed with fluoroscopy to be completely outside the valve frame (Figure 3). A Confida wire (Medtronic) was placed in the left ventricular apex, after which the Berenstein catheter was removed. A 7 Fr Railway sheathless access system (Cordis) was utilized to assist the multipurpose guide in crossing into the left ventricle, followed by deployment of an 8 mm Amplatzer Vascular Plug II (Abbott). This was selected to ensure coverage of the two jets on either side of the calcific annular nodule with the proximal and distal disks. The plug was successfully deployed reducing the PVL to trace. Intraoperative TEE showed trace PVL (Figure 4).
The patient was discharged on postoperative day 1 and remains fully independent with minimal dyspnea at 8-month follow-up.
Discussion
Calcification, especially in the form of eruptive nodules in the aortic annulus and LVOT, significantly increases the risk of complications of TAVR.
Recent studies confirm a link between annular calcification and post-procedural aortic regurgitation, with findings from 177 patients indicating that the location and severity of calcification — especially in the LVOT — is a critical predictor of aortic regurgitation.2 Notably, moderate to severe calcification in the LVOT is associated with a 2.5- to 5.4-fold increased risk of significant aortic regurgitation.2 Assessing the spatial distribution of calcification using CT angiography helps in planning the procedure and improving procedural outcomes.2
Different TAVR platforms have varying capabilities for handling severe calcification. Extrapolating from data regarding bicuspid aortic valves, use of balloon-expandable valve (BEV) is associated with a lower risk of PVL, though a higher risk of annular rupture. Conversely, risk of annular rupture is lower with self-expandable valve (SEV), with a higher risk of PVL.3,4 Several studies and meta-analyses have highlighted a link between moderate or severe PVL and increased morbidity and mortality following TAVR.5,6
Our choice of BEV in this case was due to the high likelihood of PVL following TAVR, regardless of valve platform choice. Furthermore, in our experience, PVL closure is somewhat more straightforward in the setting of a BEV versus a SEV.
In cases of significant PVL due to severe aortic annular calcification, percutaneous PVL closure can be utilized as an alternative to aggressive post dilation to mitigate the risk of annular rupture. The Amplatzer Vascular Plug II device has proven effective in accommodating the complex, crescentic, and serpentine anatomy often associated with aortic PVL, providing efficient sealing around calcific nodules.7 Other devices such as the Amplatzer Vascular Plug I, III, and IV, and the Ductal Occluder II (Abbott) can be considered, depending on anatomical considerations. Clinical reports indicate that aortic PVL closure effectively addresses significant regurgitation around balloon-expandable TAVR valves, leading to symptom relief and improved patient outcomes.7
Conclusion
Severe aortic annular calcification impacts TAVR outcomes, including increasing the risk of PVL and annular rupture. Careful pre-procedural assessment and TAVR device selection are crucial to minimizing complications. PVL closure is a safe alternative to aggressive post dilation to treat PVL in such cases.
References
1. Leon MB, Smith CR, Mack MJ, et al; PARTNER 2 Investigators. Transcatheter or surgical aortic-valve replacement in intermediate-risk patients. N Engl J Med. 2016 Apr 28; 374(17): 1609-1620. doi:10.1056/NEJMoa1514616
2. Buellesfeld L, Stortecky S, Heg D, et al. Extent and distribution of calcification of both the aortic annulus and the left ventricular outflow tract predict aortic regurgitation after transcatheter aortic valve replacement. EuroIntervention. 2014 Oct; 10(6): 732-738. doi:10.4244/EIJV10I6A126
3. Van Belle E, Vincent F, Labreuche J, et al. Balloon-expandable versus self-expanding transcatheter aortic valve replacement: a propensity-matched comparison from the FRANCE-TAVI registry. Circulation. 2020 Jan 28; 141(4): 243-259. doi:10.1161/CIRCULATIONAHA.119.043785
4. Athappan G, Patvardhan E, Tuzcu EM, et al. Incidence, predictors, and outcomes of aortic regurgitation after transcatheter aortic valve replacement: meta-analysis and systematic review of literature. J Am Coll Cardiol. 2013 Apr 16; 61(15): 1585-1595. doi:10.1016/j.jacc.2013.01.047
5. Tamburino C, Capodanno D, Ramondo A, et al. Incidence and predictors of early and late mortality after transcatheter aortic valve implantation in 663 patients with severe aortic stenosis. Circulation. 2011 Jan 25; 123(3): 299-308. doi:10.1161/CIRCULATIONAHA.110.946533
6. Gilard M, Eltchaninoff H, Iung B, et al; FRANCE 2 Investigators. Registry of transcatheter aortic-valve implantation in high-risk patients. N Engl J Med. 2012 May 3; 366(18): 1705-1715. doi:10.1056/NEJMoa1114705
7. Kliger C, Eiros R, Isasti G, et al. Review of surgical prosthetic paravalvular leaks: diagnosis and catheter-based closure. Eur Heart J. 2013 Mar; 34(9): 638-649. doi:10.1093/eurheartj/ehs347
Find More:
Cardiovascular Ambulatory Surgery Centers (ASCs) Topic Center
The Latest Clinical & Industry News
Grand Rounds With Morton Kern, MD
Peripheral Artery Disease Topic Center


