Skip to main content

Volume 32 - Issue 1 - January 2024

Transradial Hemostasis
01/23/2024
Jeanne Hlebichuk, PhD, RN, NE-BC; Jane Meitler, MSN, RN, ACNS-BC; Theresa Briggs, MSN, RN, RCIS; Amanda Sedacki, MSN, RN
The authors describe an in-house study of their new practice standard, as prescribed by the RAVE trial, which combines a hemostasis pad (SoftSeal-STF [Chitogen]) with short-term use of a radial compression device to achieve hemostasis in a...
The authors describe an in-house study of their new practice standard, as prescribed by the RAVE trial, which combines a hemostasis pad (SoftSeal-STF [Chitogen]) with short-term use of a radial compression device to achieve hemostasis in a...
The authors describe an in-house...
01/23/2024
Cath Lab Digest
Calcium Corner
01/04/2024
Brian K. Jefferson, MD, FACC, FSCAI
"Having 40 extra pulses allows us to treat lesions that in the past might have been too diffuse or too long for single-catheter IVL use, and we also can use the extra pulses in the C2+ to treat lesions in more than one vessel," says Dr....
"Having 40 extra pulses allows us to treat lesions that in the past might have been too diffuse or too long for single-catheter IVL use, and we also can use the extra pulses in the C2+ to treat lesions in more than one vessel," says Dr....
"Having 40 extra pulses allows...
01/04/2024
Cath Lab Digest
Clinical Editor's Corner
01/04/2024
Morton J. Kern, MD, MSCAI, FACC, FAHA; William F. Fearon, MD; Matheen A. Khuddus; Arnold H. Seto, MD, MPA, CCDS, FACC, FSCAI; James C. Blankenship, MD; Bonnie H. Weiner, MD, MBA, FSCAI, FACC
Dr. Kern and his expert colleagues discuss a specific angiographic question: “Should final angiography always be done with the guide wire in or out of the artery?”
Dr. Kern and his expert colleagues discuss a specific angiographic question: “Should final angiography always be done with the guide wire in or out of the artery?”
Dr. Kern and his expert...
01/04/2024
Cath Lab Digest
New Technology
01/03/2024
Elena Amin, MBChB; Seth Bogner
This year’s TCT Shark Tank Innovation Competition featured six companies presenting their technologies, chosen from over 50 submissions. TCT partnered with the Jon DeHaan Foundation to provide a $200,000 award to the 2023 competition winner,...
This year’s TCT Shark Tank Innovation Competition featured six companies presenting their technologies, chosen from over 50 submissions. TCT partnered with the Jon DeHaan Foundation to provide a $200,000 award to the 2023 competition winner,...
This year’s TCT Shark Tank...
01/03/2024
Cath Lab Digest
Technical Review
01/01/2024
Richard Casazza, MAS, RT(R)(CI)
Even though crossing aortic valves isn’t a lost art, crossing may be more difficult for novice operators because of a lack of everyday practice in the cath lab.
Even though crossing aortic valves isn’t a lost art, crossing may be more difficult for novice operators because of a lack of everyday practice in the cath lab.
Even though crossing aortic...
01/01/2024
Cath Lab Digest
Case Report
01/01/2024
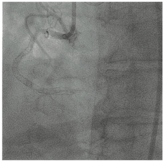
Adam T. Stys, MD, FACC; Tomasz P. Stys, MD, FACC, FSCAI; Filip Oleszak; Andrii Maryniak, MD
The authors present a case of guidewire fracture during angioplasty of a right coronary artery chronic total occlusion due to instent restenosis.
The authors present a case of guidewire fracture during angioplasty of a right coronary artery chronic total occlusion due to instent restenosis.
The authors present a case of...
01/01/2024
Cath Lab Digest