Skip to main content

Volume 31 - Issue 8 - August 2023

Professional Life
08/04/2023
Viet Le, PA-C, FACC, FAHA
Viet Le, PA-C, FACC, FAHA, discusses networking for advanced practice healthcare providers.
Viet Le, PA-C, FACC, FAHA, discusses networking for advanced practice healthcare providers.
Viet Le, PA-C, FACC, FAHA,...
08/04/2023
Cath Lab Digest
PVD Awareness
07/31/2023
Joyce Froetschel
The mortality rate for patients with critical limb ischemia (CLI) is 20% within 6 months and 50% at 5 years.2 Other risks include amputation and cardiac events.
The mortality rate for patients with critical limb ischemia (CLI) is 20% within 6 months and 50% at 5 years.2 Other risks include amputation and cardiac events.
The mortality rate for patients...
07/31/2023
Cath Lab Digest
clinical trial update
07/30/2023
Gregg W. Stone, MD, FACC, FSCAI
The COAPT trial found that the success rate of the MitraClip TEER procedure was high, on the order of around 97%, and it was successful at reducing mitral regurgitation.
The COAPT trial found that the success rate of the MitraClip TEER procedure was high, on the order of around 97%, and it was successful at reducing mitral regurgitation.
The COAPT trial found that the...
07/30/2023
Cath Lab Digest
Lower-extremity intervention
07/30/2023
Michael Lichtenberg, MD, FESC
The intention of the Arnsberg Registry is to analyze the efficacy and safety of a mechanical thrombectomy device, the Aspirex Mechanical Aspiration Thrombectomy System (BD), in daily routine practice in patients with acute and subacute...
The intention of the Arnsberg Registry is to analyze the efficacy and safety of a mechanical thrombectomy device, the Aspirex Mechanical Aspiration Thrombectomy System (BD), in daily routine practice in patients with acute and subacute...
The intention of the Arnsberg...
07/30/2023
Cath Lab Digest
Case Report
07/26/2023
Muhammad Anjum, MBBS, FCPS; Muhammad Jalaludin, MBBS; Ahmad Noeman, MBBS, FCPS; Khurram Shehzad, MBBS, FCPS; Amir Hussain, MBBS, FCPS; Imran Zainal Abidin, MBBS, FCPS
A pseudoaneurysm (PSA) is a false aneurysm that occurs after localized arterial wall injury related to an incomplete hemostatic plug at the injury site.
A pseudoaneurysm (PSA) is a false aneurysm that occurs after localized arterial wall injury related to an incomplete hemostatic plug at the injury site.
A pseudoaneurysm (PSA) is a...
07/26/2023
Cath Lab Digest
Case Report
07/24/2023
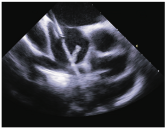
Carlos Javier Gonzalez Alvarez, MD; Daniel Ivan Perez Vasquez, MD; Jorge Guillermo Arenas-Fonseca, MD; Raul Cruz-Palomera, MD; Hector Hugo Escutia Cuevas, MD; Juan Guzman Olea, MD; Gonzalo Tolosa Dzul, MD; Gabriel Guzman Olea, MD; Juan Francisco Rodriguez Alvarado, MD
Herein, we report the case of a female patient who underwent transcatheter closure of an atrial septal defect with the use of an Amplatzer Septal Occluder (Abbott Vascular) under intracardiac echocardiography guidance where acute thrombus...
Herein, we report the case of a female patient who underwent transcatheter closure of an atrial septal defect with the use of an Amplatzer Septal Occluder (Abbott Vascular) under intracardiac echocardiography guidance where acute thrombus...
Herein, we report the case of a...
07/24/2023
Cath Lab Digest
Clinical Editor's Corner
07/21/2023
Morton J. Kern, MD, MSCAI, FACC, FAHA
Since many fellows may be overwhelmed in the first weeks of their training, I thought I would share some of my boot camp tips, which are a small part of the annual cath lab orientation lectures for our fellows.
Since many fellows may be overwhelmed in the first weeks of their training, I thought I would share some of my boot camp tips, which are a small part of the annual cath lab orientation lectures for our fellows.
Since many fellows may be...
07/21/2023
Cath Lab Digest